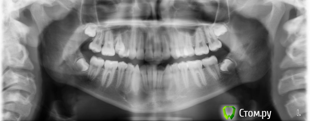
k.t.m. Опубликовано 27 сентября, 2014 Поделиться Опубликовано 27 сентября, 2014 (изменено) На кт снимке случайно обнаружили вот это образование?Ретенционная киста?Подскажите с тактикой действия, вовлечен ли корень клыка в процес,при вылущивании обязательно его депульпировать??Ребенку 14лет Изменено 27 сентября, 2014 пользователем k.t.m. Ссылка на комментарий
syrovovec Опубликовано 27 сентября, 2014 Поделиться Опубликовано 27 сентября, 2014 Может радикулярная а не ретенционная,корень кмк вовлечен Ссылка на комментарий
k.t.m. Опубликовано 27 сентября, 2014 Автор Поделиться Опубликовано 27 сентября, 2014 Да радикулярная)зуб по эод и температкрным раздражителям в норме Ссылка на комментарий
syrovovec Опубликовано 27 сентября, 2014 Поделиться Опубликовано 27 сентября, 2014 Можно и не депульпировать, чего спешить то?)яб попробовал оставить Ссылка на комментарий
kriokov Опубликовано 27 сентября, 2014 Поделиться Опубликовано 27 сентября, 2014 Да радикулярная)зуб по эод и температкрным раздражителям в норме значит не радикулярнаякак вариант - сделать пункцию, визуально пунктат посмотреть и цитологию сделать. 2 Ссылка на комментарий
k.t.m. Опубликовано 27 сентября, 2014 Автор Поделиться Опубликовано 27 сентября, 2014 Кератокиста возможно,кто как бы поступил вылущивание или наблюдение? Ссылка на комментарий
kriokov Опубликовано 27 сентября, 2014 Поделиться Опубликовано 27 сентября, 2014 Кератокиста возможно,кто как бы поступил вылущивание или наблюдение?только в боковом отделе встречал, оперировал. Ссылка на комментарий
faity Опубликовано 27 сентября, 2014 Поделиться Опубликовано 27 сентября, 2014 врядли кератокиста, лет мало пол не указан у вас, кератокиста в основном у мужчин и перегородок нет Ссылка на комментарий
Рекомендуемые сообщения
Для публикации сообщений создайте учётную запись или авторизуйтесь
Вы должны быть пользователем, чтобы оставить комментарий
Создать аккаунт
Зарегистрируйте новый аккаунт в нашем сообществе. Это очень просто!
Регистрация нового пользователяВойти
Уже есть аккаунт? Войти в систему.
Войти