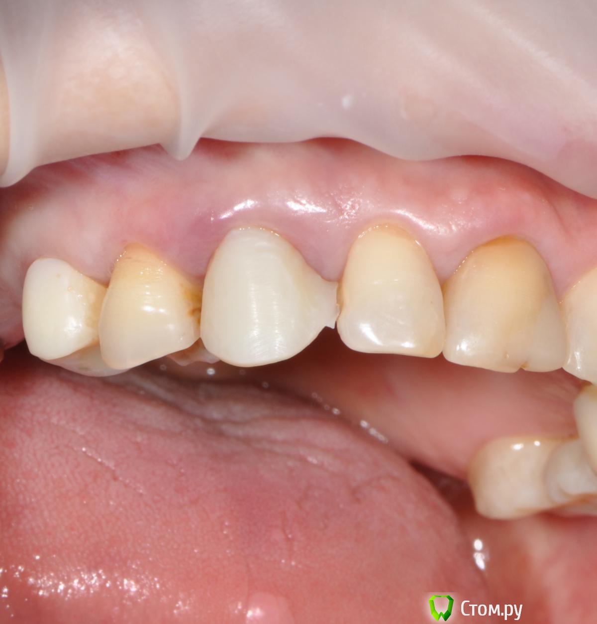
косачев игоь Опубликовано 26 сентября, 2014 Поделиться Опубликовано 26 сентября, 2014 (изменено) Здравствуйте, Уважаемая аудитория !!! Начал фотографировать достаточно неданвно, решил поделиться клиническим случаем! 13 зуб, отсутствие коронковой части зуба, принято решение о прведении одномоментной имплантации и немедленной нагрузке. Изменено 26 сентября, 2014 пользователем косачев игоь 12 Ссылка на комментарий
red_butler Опубликовано 26 сентября, 2014 Поделиться Опубликовано 26 сентября, 2014 ??? а продолжение 1 Ссылка на комментарий
Aquarius Опубликовано 26 сентября, 2014 Поделиться Опубликовано 26 сентября, 2014 Здравствуйте, Уважаемая аудитория !!! Начал фотографировать достаточно неданвно, решил поделиться клиническим случаем! 13 зуб, отсутствие коронковой части зуба, принято решение о прведении одномоментной имплантации и немедленной нагрузке.Поздравляю)))) А где фото? Игорь,как Олег Николаевич? Так же в СВМИ?) Ссылка на комментарий
Большой Зеленый Опубликовано 26 сентября, 2014 Поделиться Опубликовано 26 сентября, 2014 Хорошо .Только распиливать корень лучше в вестибуло-оральном направлении.Меньше шансов вывихнуть вестибулярную стенку. 3 Ссылка на комментарий
косачев игоь Опубликовано 26 сентября, 2014 Автор Поделиться Опубликовано 26 сентября, 2014 Извините Бога ради, не могу закачать фото по хронологии событий , почему то все вперемешку получается, надеюсь , сейчас справлюсь с этой задачей)))) Ссылка на комментарий
косачев игоь Опубликовано 26 сентября, 2014 Автор Поделиться Опубликовано 26 сентября, 2014 Поздравляю)))) А где фото? Игорь,как Олег Николаевич? Так же в СВМИ?) СВМИ перестал существовать много лет назад)) А так все хорошо вроде бы. Ссылка на комментарий
косачев игоь Опубликовано 26 сентября, 2014 Автор Поделиться Опубликовано 26 сентября, 2014 Хорошо .Только распиливать корень лучше в вестибуло-оральном направлении.Меньше шансов вывихнуть вестибулярную стенку.Спасибо за ответ!!! В вестибуло -оральном направлении на мой взгляд есть больше шансов тонкую вестибулярочку подпилить, мне кажется их больше ,чем вывихнуть ее)) 1 Ссылка на комментарий
Владмир Опубликовано 26 сентября, 2014 Поделиться Опубликовано 26 сентября, 2014 Времянку сам делал?) Ссылка на комментарий
rivezico Опубликовано 26 сентября, 2014 Поделиться Опубликовано 26 сентября, 2014 сст аккуратно взял, да и аппетитный, супер Ссылка на комментарий
АнтонТЛТ Опубликовано 26 сентября, 2014 Поделиться Опубликовано 26 сентября, 2014 (изменено) Хорошо .Только распиливать корень лучше в вестибуло-оральном направлении.Меньше шансов вывихнуть вестибулярную стенку.Если пальцем упираться, то не ломается А если пилить в вестибуло-оральном направлении, то можно и вестибулярку пильнуть )))Короче надо аккуратно работать Изменено 26 сентября, 2014 пользователем АнтонТЛТ 4 Ссылка на комментарий
faity Опубликовано 26 сентября, 2014 Поделиться Опубликовано 26 сентября, 2014 периотомы вместе с люксаторами не ломают стенки. вестибуло-орально не пилю. Ссылка на комментарий
косачев игоь Опубликовано 27 сентября, 2014 Автор Поделиться Опубликовано 27 сентября, 2014 Времянку сам делал?)Времяшку делает ассистент, показал лекцию ей Гамборены, где показано как формировать профиль коронки поддесневой ( в виде тюльпана вогнутого), сначало прямым методом сам делаю, а потом на доработку жидкотекучим и полировку Ссылка на комментарий
andr99 Опубликовано 27 сентября, 2014 Поделиться Опубликовано 27 сентября, 2014 Хорошо .Только распиливать корень лучше в вестибуло-оральном направлении.Меньше шансов вывихнуть вестибулярную стенку.А я пилю сначала мезио-дистально, убираю небную часть корня и сверяюсь пилотным - оно не уходит вестибулярно. Потом, если вестибулярная часть корня сразу не уходит - пилю уже ее вестибуло-орально. Игорь Олегович, спасибо за кейс! Аккуратно и наглядно! Ссылка на комментарий
SDC Опубликовано 27 сентября, 2014 Поделиться Опубликовано 27 сентября, 2014 Времяшку делает ассистент, показал лекцию ей Гамборены, где показано как формировать профиль коронки поддесневой ( в виде тюльпана вогнутого), сначало прямым методом сам делаю, а потом на доработку жидкотекучим и полировкуВогнутый тюльпан - это такой бокал для вина ? http://digidoo.ru/bokal-dlia-vina-lirika-steklo-225-ml-d68-mm-h195-mm.htmlЧто в этой моделировке профиля коронки является правилом? (Про то, что на вкус художника, опустим) Ссылка на комментарий
ILGAMSA Опубликовано 8 октября, 2014 Поделиться Опубликовано 8 октября, 2014 У пациента было желание сделать красивые зубы и улыбку!Проблема заключалась в массивной верхней челюсти , глубоком перекрытии и пациент не мог уйти без зубов! Отлив модели и выставив в центральную окклюзию было понятно, что без удаления всех зубов и поднятия прикуса с данной проблемой вопрос не решится. Обговорив все нюансы с пациентом,и получив согласие, было запланировано. заранее изготовлены акриловые протезы, предложено удаление всех зубов с одномоментной установкой имплантатов, внутриротавая сварка для первичной стабильности имплантатов и немедленная нагрузка Полный изврат! Почему бы не создать отдельную тему? Ссылка на комментарий
StomDoc Опубликовано 11 октября, 2014 Поделиться Опубликовано 11 октября, 2014 Игорь Олегович, спасибо за наглядный кейс, очень аккуратно и все по протаколу!!! Чем изолировали операционное поле перед слепком и пластмассой???? Ссылка на комментарий
Рекомендуемые сообщения
Для публикации сообщений создайте учётную запись или авторизуйтесь
Вы должны быть пользователем, чтобы оставить комментарий
Создать аккаунт
Зарегистрируйте новый аккаунт в нашем сообществе. Это очень просто!
Регистрация нового пользователяВойти
Уже есть аккаунт? Войти в систему.
Войти