Фазлиев Азат Ильдусович Опубликовано 25 сентября, 2014 Поделиться Опубликовано 25 сентября, 2014 не могу не поделиться)) 4 Ссылка на комментарий
samsonov Опубликовано 25 сентября, 2014 Поделиться Опубликовано 25 сентября, 2014 Точно " бабушка согрешила с водолаз"ами) 4 Ссылка на комментарий
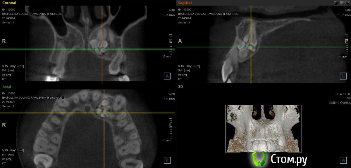
red_butler Опубликовано 29 сентября, 2014 Поделиться Опубликовано 29 сентября, 2014 руки зачесались Ссылка на комментарий
Monkey Опубликовано 1 октября, 2014 Поделиться Опубликовано 1 октября, 2014 Природа щедра на подарки Ссылка на комментарий
Сева северный Опубликовано 12 декабря, 2014 Поделиться Опубликовано 12 декабря, 2014 И чего с этим делать??????? Ссылка на комментарий
orthophil Опубликовано 15 декабря, 2014 Поделиться Опубликовано 15 декабря, 2014 Надо что- то ненужное удалять, а что-то нужное оставить. Как то так. Ссылка на комментарий
Ibulat_1986 Опубликовано 3 февраля, 2016 Поделиться Опубликовано 3 февраля, 2016 не могу не поделиться))чем закончился случай? Ссылка на комментарий
Фазлиев Азат Ильдусович Опубликовано 16 мая, 2016 Автор Поделиться Опубликовано 16 мая, 2016 чем закончился случай?пока только удалением одонтомы Ссылка на комментарий
Рекомендуемые сообщения
Для публикации сообщений создайте учётную запись или авторизуйтесь
Вы должны быть пользователем, чтобы оставить комментарий
Создать аккаунт
Зарегистрируйте новый аккаунт в нашем сообществе. Это очень просто!
Регистрация нового пользователяВойти
Уже есть аккаунт? Войти в систему.
Войти