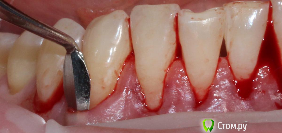
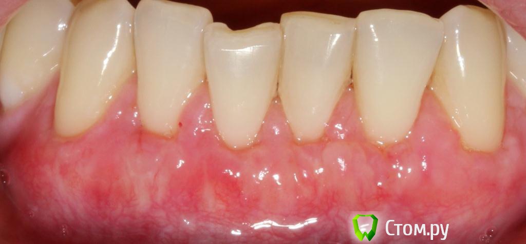
Популярный пост zzkz Опубликовано 18 сентября, 2014 Популярный пост Поделиться Опубликовано 18 сентября, 2014 (изменено) Жалобы эстетические и сильная чувствительность Рецессия от 34 до 44 Подготовка поверхности корней только скэйлинг СДТ с 2-х сторонНа небе каппа Ушивание пролен 6-0 2 недели после Чувствительности нет на сегондя. Ждать ли еще убыли или прироста? Сосочек закрыл "черный треугольник". Не уйдет ли? Изменено 18 сентября, 2014 пользователем zzkz 33 Ссылка на комментарий
Aquarius Опубликовано 18 сентября, 2014 Поделиться Опубликовано 18 сентября, 2014 Классно! Только не понял - вы СДТ деэпителизировали и в тоннель? Ссылка на комментарий
zzkz Опубликовано 18 сентября, 2014 Автор Поделиться Опубликовано 18 сентября, 2014 Классно! Только не понял - вы СДТ деэпителизировали и в тоннель? и в тонель 1 Ссылка на комментарий
Acidrocker Опубликовано 18 сентября, 2014 Поделиться Опубликовано 18 сентября, 2014 отлично) швы обвивные?) Ссылка на комментарий
Большой Зеленый Опубликовано 18 сентября, 2014 Поделиться Опубликовано 18 сентября, 2014 Корни обрабатывали чем нибудь? Ссылка на комментарий
zzkz Опубликовано 18 сентября, 2014 Автор Поделиться Опубликовано 18 сентября, 2014 отлично) швы обвивные?)да вроде обвивные) если честно как они правильно называются не знаю 1 Ссылка на комментарий
zzkz Опубликовано 18 сентября, 2014 Автор Поделиться Опубликовано 18 сентября, 2014 (изменено) Корни обрабатывали чем нибудь?Только механически кюретами, доксициклин не использовал. Решил так попробовать, увидел тут на форуме у кого-то. Сильно критично? Изменено 18 сентября, 2014 пользователем zzkz Ссылка на комментарий
kriokov Опубликовано 18 сентября, 2014 Поделиться Опубликовано 18 сентября, 2014 Ждать ли еще убыли или прироста? Сосочек закрыл "черный треугольник". Не уйдет ли? по шейкам мне кажется чуть выравняется. Про сосочки не знаю. Мне очень понравилась Ваша работа. 1 Ссылка на комментарий
rivezico Опубликовано 18 сентября, 2014 Поделиться Опубликовано 18 сентября, 2014 очень вкусно Ссылка на комментарий
Alexey Doc Опубликовано 18 сентября, 2014 Поделиться Опубликовано 18 сентября, 2014 по шейкам мне кажется чуть выравняется. +1 шейки выровняются.Сделайте реколл через 3 и 6 месяцев посмотрим как дозреет.Работа классная!! Ссылка на комментарий
NickN Опубликовано 18 сентября, 2014 Поделиться Опубликовано 18 сентября, 2014 Классный результат! Небо с двух сторон ободрали? Ссылка на комментарий
k.t.m. Опубликовано 18 сентября, 2014 Поделиться Опубликовано 18 сентября, 2014 Чем тонель формировали?с оптикой работа? Ссылка на комментарий
zzkz Опубликовано 19 сентября, 2014 Автор Поделиться Опубликовано 19 сентября, 2014 по шейкам мне кажется чуть выравняется. Про сосочки не знаю. Мне очень понравилась Ваша работа. очень вкусно +1 шейки выровняются.Сделайте реколл через 3 и 6 месяцев посмотрим как дозреет.Работа классная!! Классный результат!Небо с двух сторон ободрали?Спасибо. Да конечно, реколл зафиксирую. Небо начал шить, потом подумал - ааа нафиг, все равно под каппу Ссылка на комментарий
zzkz Опубликовано 19 сентября, 2014 Автор Поделиться Опубликовано 19 сентября, 2014 Чем тонель формировали?с оптикой работа? купил такой инструмент. Дерь...мо если честно)) И что то мне подсказывает он для чего то другого предназначен) Жду выставки в Москве, надеюсь что нибудь найду. У какой торгующей фирмы можно посмотреть инструменты кто подскажет? Работа в бино *3,0. Делал около 2,5 часов Скоростуха не та. Это моя первая работа такого рода 2 Ссылка на комментарий
Bier Опубликовано 19 сентября, 2014 Поделиться Опубликовано 19 сентября, 2014 у ху-фриди есть 2 тоннельных элеватора 2 Ссылка на комментарий
an_ver Опубликовано 19 сентября, 2014 Поделиться Опубликовано 19 сентября, 2014 (изменено) У представителей Комет (ДМГ),есть наборы для тоннелей.Спросите у Анастасии ,она вроде такими работает Изменено 19 сентября, 2014 пользователем an_ver 1 Ссылка на комментарий
Чертков Александр Опубликовано 19 сентября, 2014 Поделиться Опубликовано 19 сентября, 2014 Настя сейчас Deppeler работает...вроде даже авторский набор... 1 Ссылка на комментарий
zzkz Опубликовано 19 сентября, 2014 Автор Поделиться Опубликовано 19 сентября, 2014 у ху-фриди есть 2 тоннельных элеватора У представителей Комет (ДМГ),есть наборы для тоннелей.Спросите у Анастасии ,она вроде такими работает Настя сейчас Deppeler работает...вроде даже авторский набор... спасибо, буду искать Ссылка на комментарий
IvanK Опубликовано 19 сентября, 2014 Поделиться Опубликовано 19 сентября, 2014 У какой торгующей фирмы можно посмотреть инструменты кто подскажет? у меня от stoma 2 Ссылка на комментарий
syrovovec Опубликовано 19 сентября, 2014 Поделиться Опубликовано 19 сентября, 2014 Нож орбана попробуйте 1 Ссылка на комментарий
St_Klaus Опубликовано 19 сентября, 2014 Поделиться Опубликовано 19 сентября, 2014 Это моя первая работа такого рода Красотища. Для первой такой объёмной работы - суперрезультат. Ждём реколла. 1 Ссылка на комментарий
CSS Опубликовано 21 сентября, 2014 Поделиться Опубликовано 21 сентября, 2014 РаБота класс. А для первой тем более. Инструментов куча. Но лучше по Скулеану. У него есть пара тоннельных инструментов. В каталоге Стомы посмотрите. Хью фриди, лично мне, понравились меньше, лежат пылятся :-)))Если еще такими темпами в микрохирургию ударитесь, вообще отпад будет... :-))) 2 Ссылка на комментарий
faity Опубликовано 21 сентября, 2014 Поделиться Опубликовано 21 сентября, 2014 разрезы микрохирургическим алмазным скальпелем,в тонель ножом Орбана.отличная работа для первого раза, с почином 1 Ссылка на комментарий
vesvova Опубликовано 21 сентября, 2014 Поделиться Опубликовано 21 сентября, 2014 Нож орбана попробуйтеА вы сами пробовали ножом Орбана в области нижних резцов тоннель формировать? Ссылка на комментарий
syrovovec Опубликовано 21 сентября, 2014 Поделиться Опубликовано 21 сентября, 2014 (изменено) на нижних не приходилось) Изменено 21 сентября, 2014 пользователем syrovovec Ссылка на комментарий
Рекомендуемые сообщения
Для публикации сообщений создайте учётную запись или авторизуйтесь
Вы должны быть пользователем, чтобы оставить комментарий
Создать аккаунт
Зарегистрируйте новый аккаунт в нашем сообществе. Это очень просто!
Регистрация нового пользователяВойти
Уже есть аккаунт? Войти в систему.
Войти