Евгения23 Опубликовано 17 сентября, 2014 Поделиться Опубликовано 17 сентября, 2014 Добрый день, нужна помощь специалистов. 3 дня назад начал ныть правая верхняя 7ка, на горячее-холодное реакциии нет, сильная боль возникает при накусывание. В стоматологии начали говорить о воспалении в надкостнице и об удалении зуба. Прошу прокомментировать. Заранее спасибо. Ссылка на комментарий
IvanK Опубликовано 17 сентября, 2014 Поделиться Опубликовано 17 сентября, 2014 Здравствуйте Снимок после лечения? Ссылка на комментарий
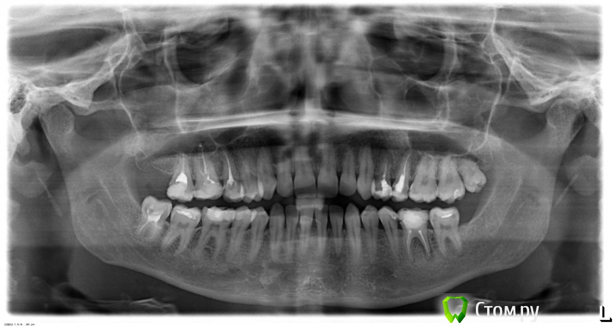
Евгения23 Опубликовано 17 сентября, 2014 Автор Поделиться Опубликовано 17 сентября, 2014 снимок до лечения, сделан вчера вечером. Ссылка на комментарий
Евгения23 Опубликовано 17 сентября, 2014 Автор Поделиться Опубликовано 17 сентября, 2014 поясню, зуб депульпирован много лет назад, сейчас появилась боль при накусывании, сделала вчера только снимок и получила консультацию стоматолога, пока взяла время подумать и проконсультироваться с другими специалистами. Ссылка на комментарий
anvladd Опубликовано 17 сентября, 2014 Поделиться Опубликовано 17 сентября, 2014 Посмотреть бы прицельный снимок,по этому снимку мне показалась перфорация в области медиального щечного корня(со стороны 5го зуба). Ссылка на комментарий
Рекомендуемые сообщения
Для публикации сообщений создайте учётную запись или авторизуйтесь
Вы должны быть пользователем, чтобы оставить комментарий
Создать аккаунт
Зарегистрируйте новый аккаунт в нашем сообществе. Это очень просто!
Регистрация нового пользователяВойти
Уже есть аккаунт? Войти в систему.
Войти