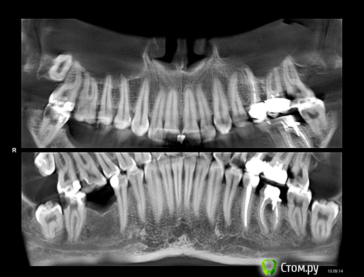
Jonatan Опубликовано 16 сентября, 2014 Поделиться Опубликовано 16 сентября, 2014 Здравствуйте!Всегда боялась лечить зубы, а после того, как рекомендованный терапевт пробил корень арматурой, зуб под удаление(а полугодом раньше другой врач поставил большую пломбу даже без штифтов - так что зуб довольно быстро начал откалываться)-совсем забуксовала в поисках хорошего врача.Досняла ОПТГ и теперь консультируюсь и уже начала лечить (в стом. №4 в Москве - по отзывам и уже от безысходности, в-общем-то)правую нижнюю 7-ку из-за развившегося пульпита и боли.Проблемы:1). После закладки девитализирующей (с мышьяком?) пасты 13.09 через 3 дня, т.е. 16.09, зуб начал болеть при настукивании.17.09 рано утром 2-й этап (депульпирование и лечение каналов), но я прочитала, что это плохо, когда зуб болит таким образом .1а). Кроме того, при рассверливании зуба под заморозкой (ожидание 10 минут) было больно, зато спустя полчасавсе замерзло так (от скулы до ключиц), что отошло только через 5 часов. Странно, раньше я ничего не чувствовалапри первичном, перед мышьяком, депульпировании под заморозкой, но отходило быстрее, у меня обычная чувствительность.1б). Есть какие-то стандарты стом. гигиены, на которые надо обращать внимание? Муж меня пугает какими-то одноразовыми сверлами,спидом-гепатитом, а я привыкла лечиться в обычной поликлинике и никогда не обращала внимание на то, что врач делает вне поля зрения.Хотя в последний раз в районной поликлинике врач, сделавший перфорацию, смутил меня протиркой окровавленных инструментов ваткой со спиртом.2). На общей консультации мне прописали лечение ПУЛЬПИТА 5-ти зубов (все 7-ки и 6-ка вверху).Нет ли способа сохранить зубы частично живыми, если боли еще нет? Или депульпировать и чистить каналы нужно на всех указанных зубах?3). На общей консультации врач сказал примерно так: "импланты - глупости, вам абсолютно показаны мосты" (потому что зубы по бокам от уже удаленной и той, что нужно удалять из-за перфорации корня районным стоматологом, шестерок лечены). Соотв. его стратегия лечения - подготовка зубов под мосты.Я же при прочих равных и отсутствии тотальных противопоказаний хочу поставить вкладки-коронки на все депульпированные зубы и импланты нижних 6-к -мосты мне кажутся сомнительным решением в моем случае и по долговременности, и по распределению нагрузок.Однако большая потеря кости справа, воспаление зоны перфорации слева - тоже проблемы.Если врач прав, предлагая мосты, как улучшить прогноз продолжительности жизни мостов?Культевые вкладки врач не предложил, под мостом будут штифты в пломбе...Уважаемые специалисты, прокомментируйте, пожалуйста! Ссылка на комментарий
anvladd Опубликовано 16 сентября, 2014 Поделиться Опубликовано 16 сентября, 2014 Совет один, бегите не оглядываясь оттуда где эту ахинею вам рекомендуют. В москве много хороших спецов,вы как я понял просто не хотите их искать. 1 Ссылка на комментарий
Jonatan Опубликовано 17 сентября, 2014 Автор Поделиться Опубликовано 17 сентября, 2014 По факту уже сбежала - там, где дали советы, не было записи, и я пошла в стом. #4. Спецов, наверное, много, буду признательна за контакты. Искала долго, пока нашла только #4 по отзывам, где тяну цены (были места, где за одну семерку-пульпит называли без коронки 30-50 т.р., не тяну) Ссылка на комментарий
Jonatan Опубликовано 17 сентября, 2014 Автор Поделиться Опубликовано 17 сентября, 2014 Нормально ли, что после пломбировки каналов гуттаперчей зуб ломит? Ссылка на комментарий
anvladd Опубликовано 17 сентября, 2014 Поделиться Опубликовано 17 сентября, 2014 всяко бывает. Ссылка на комментарий
Jonatan Опубликовано 22 сентября, 2014 Автор Поделиться Опубликовано 22 сентября, 2014 Новая проблема: правая нижняя семерка пролечена, каналы гуттаперчей, снимок нормальный (не отдали), временная пломба до успокоения (потом вкладка-коронка запланирована).Почти сразу на зубе можно было жевать, успокоился быстро. Вчера возникла новая ерунда: если жевать на нем что-то упругое (жвачка, мясо),то в какой-то момент попадает между этим зубом (в зоне, где коронка разрушена под десну) и режущимся мудрости (он там рядом, еще в десне)и возникает ни на что не похожая боль - острый прострел в ухо и челюстной сустав (ломит и пробивает).Болит не зуб, вообще непонятно, что - ни на что не похоже.После выполаскивания быстро успокаивается, само по себе не болит.Что это?! Ссылка на комментарий
shishok Опубликовано 22 сентября, 2014 Поделиться Опубликовано 22 сентября, 2014 Вероятнее всего Вы травмируете десну. Ссылка на комментарий
Рекомендуемые сообщения
Для публикации сообщений создайте учётную запись или авторизуйтесь
Вы должны быть пользователем, чтобы оставить комментарий
Создать аккаунт
Зарегистрируйте новый аккаунт в нашем сообществе. Это очень просто!
Регистрация нового пользователяВойти
Уже есть аккаунт? Войти в систему.
Войти