netwalker Опубликовано 10 сентября, 2014 Поделиться Опубликовано 10 сентября, 2014 Здравствуйте, уважаемые Господа!Не так давно стал ощущать неприятные ощущения при чистке зубов, а также при употреблении кислой/сладкой/соленой пищи. Купил одну из зубных паст для чувствительных зубов, БАД с кальцием. Через несколько дней неприятные ощущения почти прошли, но я все же решил сходить к стоматологу в районную стоматологическую поликлинику по полису ОМС. До этого у стоматолога не был 4 года.После осмотра в дежурном кабинете стоматолог сделала заключение, что кариозных зубов нет, а неприятные ощущения связаны с пришеечными дефектами (шейки зубов несколько оголены, из-за в прошлом неправильной чистки, это мне известно).При самостоятельном осмотре обнаружил, что на жевательной поверхности 7 зуба сверху, имеется небольшое потемнение (в виде точки (точек)). Если ковырнуть между в промежутке между 6 и 7 зубом, то отчетливо ощущается неприятный запах.Задал этот вопрос стоматологу, она сказала, что это - пигментация эмали.У меня к Вам вопрос - стОит ли мне сходить на дополнительную консультацию к другому специалисту (в другую, возможно - платную клинику), или пока оставить все как есть?Спасибо. Ссылка на комментарий
red_butler Опубликовано 10 сентября, 2014 Поделиться Опубликовано 10 сентября, 2014 http://forum.stom.ru/topic/2813-obiazatelno-k-prochteniiu/ 2 Ссылка на комментарий
netwalker Опубликовано 10 сентября, 2014 Автор Поделиться Опубликовано 10 сентября, 2014 http://forum.stom.ru/topic/2813-obiazatelno-k-prochteniiu/Вы простите меня, но какие я должен предоставить снимки, если зубы по заключению врача проблем не имеют? Я бы с радостью.Интересует только одно - идти ли в другую клинику по данному вопросу?С уважением. Ссылка на комментарий
red_butler Опубликовано 10 сентября, 2014 Поделиться Опубликовано 10 сентября, 2014 фотоснимки и ОПГ 1 Ссылка на комментарий
IvanK Опубликовано 10 сентября, 2014 Поделиться Опубликовано 10 сентября, 2014 фотоснимки и ОПГ+1 Скорее всего лечение необходимо 1 Ссылка на комментарий
netwalker Опубликовано 10 сентября, 2014 Автор Поделиться Опубликовано 10 сентября, 2014 Фотоснимок 7ки, да еще и сверху, сделать сложновато (это ж как нужно раззявить рот, чтобы туда поместился хотя бы телефон ), а вот снимки завтра сделаю в платной клинике (от безысходности записался на прием), выложу.Спасибо за ответы, уважаемые доктора.Всем здоровья. Ссылка на комментарий
IvanK Опубликовано 10 сентября, 2014 Поделиться Опубликовано 10 сентября, 2014 Сделайте панорамный снимок (оптг) фотографировать можно в зеркало, попросить помощи у друзей)) Ссылка на комментарий
netwalker Опубликовано 10 сентября, 2014 Автор Поделиться Опубликовано 10 сентября, 2014 (изменено) Сделайте панорамный снимок (оптг) фотографировать можно в зеркало, попросить помощи у друзей)) Снимок сделаю конечно. Завтра выложу. Фотографироваться в зеркало пробовал - фигня получается. Проблемного (с потемнением на жевательной поверхности этой несчастной "семерки") места не видно вообще Просьба будет одна - тему не прикрывайте, если можно, пожалуйста до завтра. Спасибо!Update:Удалось таки более-менее внятно сделать фото. "Четверка" (если я не ошибаюсь) справа - запломбирована лет 5 назад.Хочется добавить, что я не курю (бросил лет 10 назад), но есть грешок - люблю крепкий кофе (кладу 2 ч.л. на стакан).Очень хочется услышать Ваши комментарии. Спасибо огромное.Снимки, как и обещал, будут завтра. Изменено 10 сентября, 2014 пользователем netwalker Ссылка на комментарий
netwalker Опубликовано 11 сентября, 2014 Автор Поделиться Опубликовано 11 сентября, 2014 Итак, отписываюсь. Сегодня был на консультации в платной клинике.Врач долго и внимательно смотрела мои зубы, после чего подтвердила то, что сказали в районной стоматологической поликлинике - кариеса нет, боль связана с оголением шеек зубов. На мой вопрос о необходимости проведения рентгеновского обследования (панорамный снимок), сказала, что нет такой необходимости.Дала следующие рекомендации:1) R.O.C.S. гель для укрепления эмали + з/паста "Жемчуг" (для насыщения эмали кальцием), затем переход на:2) Зубная паста "Элмекс" для чувствительных зубов (с аминофторидом), затем:3) Bifluoride - 12. В связи с этим возникает вопрос - можно ли мне с моими чувствительными зубами сейчас производить чистку з/пастой "Жемчуг", или остаться на Сенсодине (Колгейт сенситив про релиф)? Откровенно говоря, я боюсь менять пасту. Хотел сходить на профессиональную чистку зубов, вот не знаю, не навредит ли мне это сейчас. Ссылка на комментарий
DokDent Опубликовано 11 сентября, 2014 Поделиться Опубликовано 11 сентября, 2014 Шейки зубов на этих снимках не видны. Профессиональная гигиена не повредит. Кальций входит в состав геля R.O.C.S ,этот гель и сам по себе хорошо снимает чувствительность,поэтому нет необходимости в использовании Жемчуга и др. (картинка с официального сайта) 1 Ссылка на комментарий
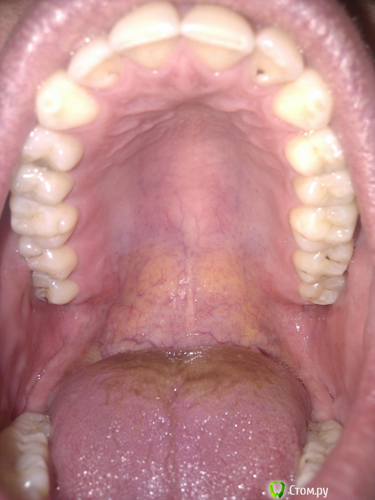
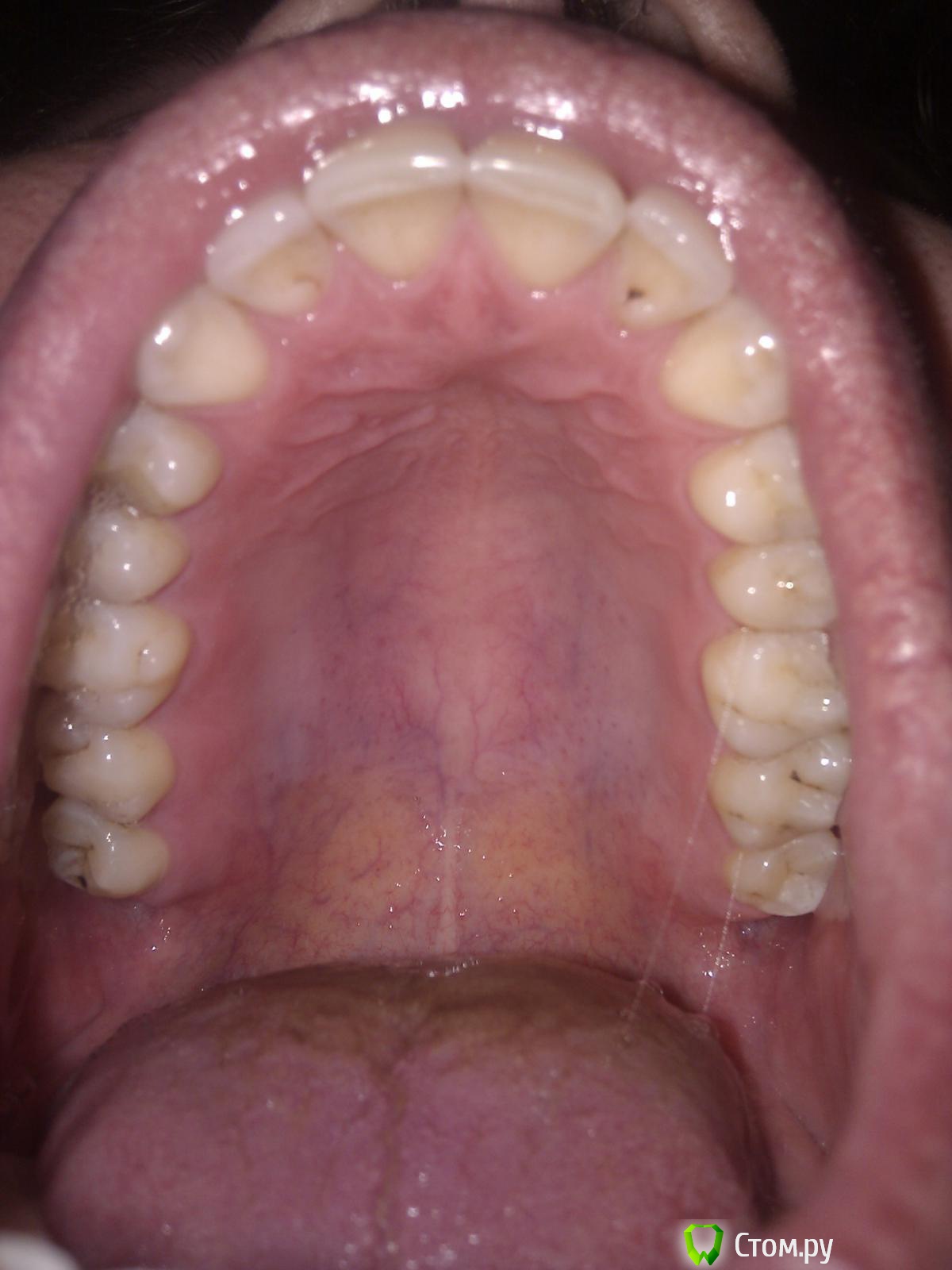
netwalker Опубликовано 14 сентября, 2014 Автор Поделиться Опубликовано 14 сентября, 2014 (изменено) DokDent, Спасибо за ответ.Целью этих фото было - показать пигментацию 7ки слева (она меня смущала).Что касается шеек - у меня оголены шейки 4-6 зубов слева, с внешней стороны. Сейчас чищу зубы з/пастой SPLAT (биокальций), после наношу R.O.C.S гель минут на 30.Буду записываться к пародонтологу на проф.чистку.Подозреваю, что причиной оголения шеек зубов стала неправильная чистка (в горизонтальной плоскости). Хотелось бы спросить - при изменении техники чистки зубов опущенные десны "встанут" на место, или так и придется дальше мучиться? Вот собственно, о чем идет речь (несчастные 4-6 зубы слева):Спасибо. Изменено 14 сентября, 2014 пользователем netwalker Ссылка на комментарий
netwalker Опубликовано 14 сентября, 2014 Автор Поделиться Опубликовано 14 сентября, 2014 На завтра записался к пародонтологу на консультацию и проф.гигиену полости рта.Хотелось бы узнать, в моем случае, при наличии оголенных шеек зубов и их чувствительности, нужно делать обезболивание?Спасибо. Ссылка на комментарий
DokDent Опубликовано 14 сентября, 2014 Поделиться Опубликовано 14 сентября, 2014 Хотелось бы спросить - при изменении техники чистки зубов опущенные десны "встанут" на место? Нет, рецессия десны устраняется оперативно. Конечно,обезболивание возможно. Ссылка на комментарий
Рекомендуемые сообщения
Для публикации сообщений создайте учётную запись или авторизуйтесь
Вы должны быть пользователем, чтобы оставить комментарий
Создать аккаунт
Зарегистрируйте новый аккаунт в нашем сообществе. Это очень просто!
Регистрация нового пользователяВойти
Уже есть аккаунт? Войти в систему.
Войти