Julia_86 Опубликовано 9 сентября, 2014 Поделиться Опубликовано 9 сентября, 2014 Здравствуйте, прошу совета по дальнейшему лечению. Не знаю верно ли разместила тему, поправьте если что не так.Месяца полтора назад случайно обнаружилась радикулярная киста нижних передних зубов. Хотела поставить брекеты по причине адентии верхних двоек, врач отравил на понорамный снимок - увидели кисту. Зубы, которые охвачены кистой, никогда не болели, но один из зубов изменен в цвете и видимо был травмирован,т.к. видно скол. Терапевт сначала хотела лечить через каналы, закладывая лекарство на полгода, но я засомневалась и пошла к хирургу. Хирург отправила на КТ. В итоге хирург после КТ решила, что центральный резец в кисте нужно удалять(он короче всех) и делать операцию одновременно. Во время операции заложить костнозамещающий материал (bio-oss) и ждать пока все восстановиться.Но есть один момент - чтобы остальные 2 зуба, которые в кисте, не выпали, врач предлагает или поставить брекеты перед операцией, чтобы они не давали зубам шевелиться после операции. Позже, когда все зарастет и костная ткань восстановиться - брекетами восстановить зубной ряд из 3х резцов. Сейчас на нижней челюсти скученность, после удаления как раз хватит места для 3х зубов. Либо до операции клеить какую-то штуку на внутреннюю сторону зубов и после операции через 4 месяца протезировать. Зубы, которые в кисте будут депульпированы и запломбированы. Подскажите, какой вариант более целесообразен. Ссылка на комментарий
dr-krasnov Опубликовано 9 сентября, 2014 Поделиться Опубликовано 9 сентября, 2014 Это не радикулярная киста. Стоит подумать о дисплазии. Что скажут коллеги? 1 1 Ссылка на комментарий
kriokov Опубликовано 9 сентября, 2014 Поделиться Опубликовано 9 сентября, 2014 Что скажут коллеги? думаю, что надо проверить нижние резцы на витальность (живы или нет), если травма в истории и зуб потемневший умер , то скорее киста. По лечению-- фото бы зубов во рту, и данные теста на витальность зубов. 3 Ссылка на комментарий
dr-krasnov Опубликовано 9 сентября, 2014 Поделиться Опубликовано 9 сентября, 2014 Вангую, что живы и цвет ок. Ссылка на комментарий
anvladd Опубликовано 9 сентября, 2014 Поделиться Опубликовано 9 сентября, 2014 Вангую, что живы и цвет ок. с чего так уверенны? Ссылка на комментарий
dr-krasnov Опубликовано 9 сентября, 2014 Поделиться Опубликовано 9 сентября, 2014 Я не уверен, и смайлик соответствующий. Много раз наблюдал аналогичную картину на витальных зубах. Обратите внимание на анамнез. Находка случайна, пациент о ней не подозревал, стало быть травма и клиника отсутствовали. Признаков ранее проведенного лечения - тоже нет. Стало быть - это не радикулярная киста. Вот вкратце ход моих суждений ). Ссылка на комментарий
kriokov Опубликовано 9 сентября, 2014 Поделиться Опубликовано 9 сентября, 2014 стало быть травма и клиника отсутствовали скол на зубе и изменение цвета одного из зубов. Но, согласен мало этого, для диагноза 3 Ссылка на комментарий
Bier Опубликовано 10 сентября, 2014 Поделиться Опубликовано 10 сентября, 2014 Автор, сфотографируйте нижние зубы пожалуйста.Не надо торопиться с хирургией.План действий такой: определить витальные (живые) ли зубы, находящиеся в полости кисты. Скорее всего потемневший зуб мертв. Тогда надо провести терапевтическое лечение, через канал, желательно только терапевта поискать с микроскопом.Если все зубы живые, как предположил коллега, тогда к хирургу с обязательной гистологией образования. 1 Ссылка на комментарий
Julia_86 Опубликовано 10 сентября, 2014 Автор Поделиться Опубликовано 10 сентября, 2014 Сфотографировать и выложить смогу только вечером. Подскажите как делаются тесты на витальность? Ссылка на комментарий
kriokov Опубликовано 10 сентября, 2014 Поделиться Опубликовано 10 сентября, 2014 (изменено) Подскажите как делаются тесты на витальность?делает врач. Варианты1. специальный прибор2. специальный спрей3. лед разницы нет, главное определить жив или нет Изменено 10 сентября, 2014 пользователем kriokov 2 Ссылка на комментарий
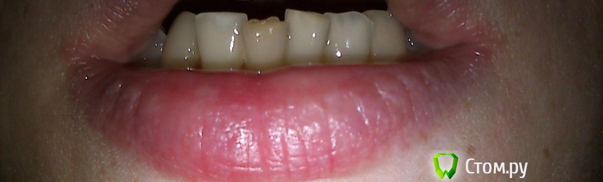
Julia_86 Опубликовано 10 сентября, 2014 Автор Поделиться Опубликовано 10 сентября, 2014 Фото. Ссылка на комментарий
kriokov Опубликовано 10 сентября, 2014 Поделиться Опубликовано 10 сентября, 2014 Надо, чтобы ортодонты посмотрели. Так как может быть вариант и с удалением измененного в цвете зуба. 2 Ссылка на комментарий
Bier Опубликовано 10 сентября, 2014 Поделиться Опубликовано 10 сентября, 2014 скорее всего это мертвый зуб. Терапевтическое лечение возможно. Ну если только ортодонты не скажут удалять, но ассиметричное удаление редкий случай, да и не супер это получится эстетически. 2 Ссылка на комментарий
samsonov Опубликовано 10 сентября, 2014 Поделиться Опубликовано 10 сентября, 2014 (изменено) Надо, чтобы ортодонты посмотрели. Так как может быть вариант и с удалением измененного в цвете зуба. Что однако, не исключает вариант сохранения причинного зуба.ПС. Чуть опоздал ) Изменено 10 сентября, 2014 пользователем samsonov 1 Ссылка на комментарий
Julia_86 Опубликовано 10 сентября, 2014 Автор Поделиться Опубликовано 10 сентября, 2014 Завтра иду на прием к ортодонту, а после к эндодонту. Посмотрю что скажут. Удалять и операцию, конечно, вообще не хочется. Но хирург так меня убеждала что без операции никак... Ссылка на комментарий
Bier Опубликовано 10 сентября, 2014 Поделиться Опубликовано 10 сентября, 2014 Завтра иду на прием к ортодонту, а после к эндодонту. Посмотрю что скажут. Удалять и операцию, конечно, вообще не хочется. Но хирург так меня убеждала что без операции никак...старая школа ) верьте нам ))) 2 Ссылка на комментарий
Рекомендуемые сообщения
Для публикации сообщений создайте учётную запись или авторизуйтесь
Вы должны быть пользователем, чтобы оставить комментарий
Создать аккаунт
Зарегистрируйте новый аккаунт в нашем сообществе. Это очень просто!
Регистрация нового пользователяВойти
Уже есть аккаунт? Войти в систему.
Войти