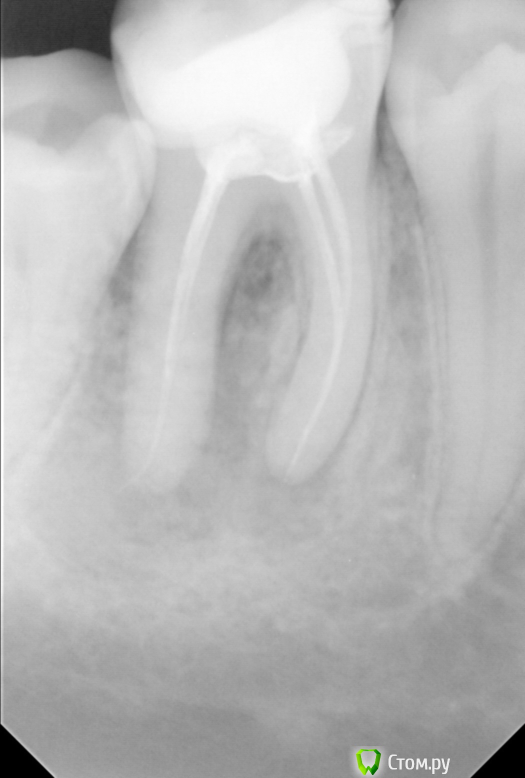
pour toi Опубликовано 2 сентября, 2014 Поделиться Опубликовано 2 сентября, 2014 (изменено) Здравствуйте!Примерно месяц назад начал болеть зуб при жевании, болела десна. Появился свищ, десна и зуб не болят. Стоматолог не смог предложить никакого лечения после рентгеновского снимка. Сказал надо удалять зуб, чего делать, конечно, не хочется. Посмотрите, пожалуйста, снимок и подскажите киста ли это или что-то еще и нужно ли удалять зуб.Заранее спасибо! Изменено 2 сентября, 2014 пользователем pour toi Ссылка на комментарий
IvanK Опубликовано 2 сентября, 2014 Поделиться Опубликовано 2 сентября, 2014 Можно начать с лечения, не получится - удалите Ссылка на комментарий
pour toi Опубликовано 3 сентября, 2014 Автор Поделиться Опубликовано 3 сентября, 2014 Чтобы начать лечение нужно поставить диагноз. А мне его никто не может поставить. Ссылка на комментарий
shishok Опубликовано 3 сентября, 2014 Поделиться Опубликовано 3 сентября, 2014 Чтобы начать лечение нужно поставить диагноз. А мне его никто не может поставить.В данном случае уточненный диагноз не принципиален.Воспаление на верхушках есть.Методы лечения в принципе одинаковые(открыть каналы,расширить,вымыть,запломбировать). 2 Ссылка на комментарий
Cleric Опубликовано 3 сентября, 2014 Поделиться Опубликовано 3 сентября, 2014 Здравствуйте!Примерно месяц назад начал болеть зуб при жевании, болела десна. Появился свищ, десна и зуб не болят. Стоматолог не смог предложить никакого лечения после рентгеновского снимка. Сказал надо удалять зуб, чего делать, конечно, не хочется. Посмотрите, пожалуйста, снимок и подскажите киста ли это или что-то еще и нужно ли удалять зуб.Заранее спасибо!Здравствуйте!Поищите в своем городе врача-стоматолога эндодонтиста, специалиста по лечению корневых каналов. Если в зубе нет трещины, то вероятность излечения при соблюдении современного протокола лечения - 75%.Рекомендовано проводить лечение с использованием операционного микроскопа. Ссылка на комментарий
Рекомендуемые сообщения
Для публикации сообщений создайте учётную запись или авторизуйтесь
Вы должны быть пользователем, чтобы оставить комментарий
Создать аккаунт
Зарегистрируйте новый аккаунт в нашем сообществе. Это очень просто!
Регистрация нового пользователяВойти
Уже есть аккаунт? Войти в систему.
Войти