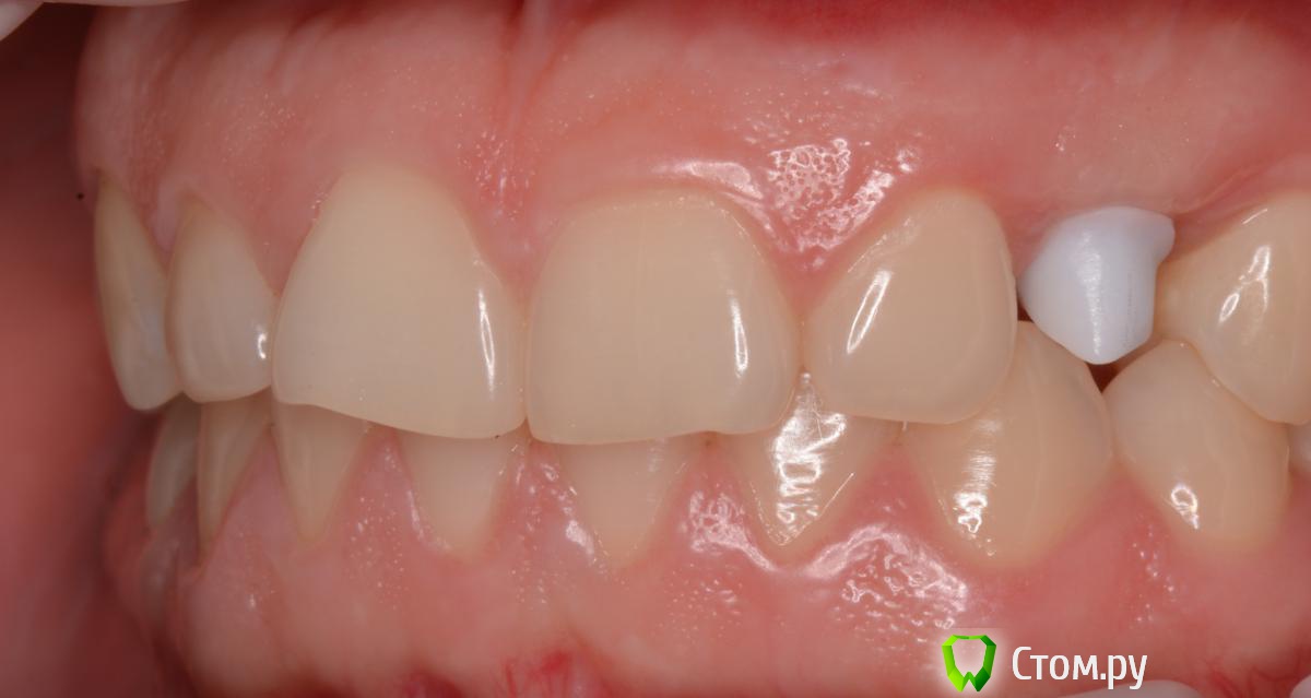
togrul Опубликовано 1 сентября, 2014 Поделиться Опубликовано 1 сентября, 2014 Добрый день, сегодня сдал коронку Emax на инд абатманте 2.3. Прощу вас сказать, на что обращать внимание в следующий раз при таких работах. Хирург StomDoc. 3 1 Ссылка на комментарий
Dr.Sham Опубликовано 1 сентября, 2014 Поделиться Опубликовано 1 сентября, 2014 Судя по последнему фото, в первую очередь обращать внимание на прилегание. Ссылка на комментарий
SDC Опубликовано 1 сентября, 2014 Поделиться Опубликовано 1 сентября, 2014 Добрый день, сегодня сдал коронку Emax на инд абатманте 2.3. Прощу вас сказать, на что обращать внимание в следующий раз при таких работах. Хирург StomDoc.Скажите, последнее фото после фиксации? Ссылка на комментарий
togrul Опубликовано 1 сентября, 2014 Автор Поделиться Опубликовано 1 сентября, 2014 Судя по последнему фото, в первую очередь обращать внимание на прилегание.С прилеганием все ок. Где заметили недосад? Ссылка на комментарий
togrul Опубликовано 1 сентября, 2014 Автор Поделиться Опубликовано 1 сентября, 2014 Скажите, последнее фото после фиксации?Да сразу после фиксации. Ссылка на комментарий
Kalipso Опубликовано 1 сентября, 2014 Поделиться Опубликовано 1 сентября, 2014 Снимали слепок с индивидуализацией трансфера !?)))) Ссылка на комментарий
Kalipso Опубликовано 1 сентября, 2014 Поделиться Опубликовано 1 сентября, 2014 А есть у Вас фото вида спереди ? Красивая коронка !))))) Ссылка на комментарий
togrul Опубликовано 1 сентября, 2014 Автор Поделиться Опубликовано 1 сентября, 2014 Снимали слепок с индивидуализацией трансфера !?)))нет не индивидуализацировал) На след неделе сделаю фото. Спасибо Ссылка на комментарий
Dr.Sham Опубликовано 1 сентября, 2014 Поделиться Опубликовано 1 сентября, 2014 впечатление, что вестибулярно ближе к медиальному сосочку уступ абатмента шире коронки. 2 Ссылка на комментарий
togrul Опубликовано 1 сентября, 2014 Автор Поделиться Опубликовано 1 сентября, 2014 Согласен с вами фото получилось так. Через неделю проведу осмотр и сделаю фото Ссылка на комментарий
StomDoc Опубликовано 3 сентября, 2014 Поделиться Опубликовано 3 сентября, 2014 А мне все нравится!!!!!))))))) 2 Ссылка на комментарий
togrul Опубликовано 3 сентября, 2014 Автор Поделиться Опубликовано 3 сентября, 2014 А мне все нравится!!!!!)))))))ну хорошо) Ссылка на комментарий
Dent8 Опубликовано 6 сентября, 2014 Поделиться Опубликовано 6 сентября, 2014 Хорошая аккуратная работа. Ссылка на комментарий
togrul Опубликовано 7 сентября, 2014 Автор Поделиться Опубликовано 7 сентября, 2014 Хорошая аккуратная работа Спасибо. Ссылка на комментарий
Dent8 Опубликовано 7 сентября, 2014 Поделиться Опубликовано 7 сентября, 2014 Фотографии были сделана в день фиксации ? Ссылка на комментарий
togrul Опубликовано 7 сентября, 2014 Автор Поделиться Опубликовано 7 сентября, 2014 Фотографии были сделана в день фиксации ?да в день фиксации. Ссылка на комментарий
Dent8 Опубликовано 7 сентября, 2014 Поделиться Опубликовано 7 сентября, 2014 Возможность будет отдаленный результат выложи,интересно глянуть Ссылка на комментарий
togrul Опубликовано 7 сентября, 2014 Автор Поделиться Опубликовано 7 сентября, 2014 Завтра пациентка придет на осмотр сфотографирую и выложу. Ссылка на комментарий
M@estro Опубликовано 7 сентября, 2014 Поделиться Опубликовано 7 сентября, 2014 Жду фотки Хотя я профиль бы повыше сформировал. Улыбку хочется увидеть ! Ссылка на комментарий
togrul Опубликовано 7 сентября, 2014 Автор Поделиться Опубликовано 7 сентября, 2014 Выложу завтра ) думаю в след раз тоже сформирую повыше . 1 Ссылка на комментарий
Rash163 Опубликовано 7 сентября, 2014 Поделиться Опубликовано 7 сентября, 2014 Жду фотки Хотя я профиль бы повыше сформировал. Улыбку хочется увидеть ! улыбка красивая)лично видел, в коронке немного нехватает прозрачности по экватору. Имхо. Тогрул фото в скоп через неделю выложишь)) 2 Ссылка на комментарий
Ibulat_1986 Опубликовано 8 сентября, 2014 Поделиться Опубликовано 8 сентября, 2014 если нет временной коронки то я бы поставил узкий фдм для большого объема слизистой. Ссылка на комментарий
togrul Опубликовано 8 сентября, 2014 Автор Поделиться Опубликовано 8 сентября, 2014 спасибо за совет) Ссылка на комментарий
Рекомендуемые сообщения
Для публикации сообщений создайте учётную запись или авторизуйтесь
Вы должны быть пользователем, чтобы оставить комментарий
Создать аккаунт
Зарегистрируйте новый аккаунт в нашем сообществе. Это очень просто!
Регистрация нового пользователяВойти
Уже есть аккаунт? Войти в систему.
Войти