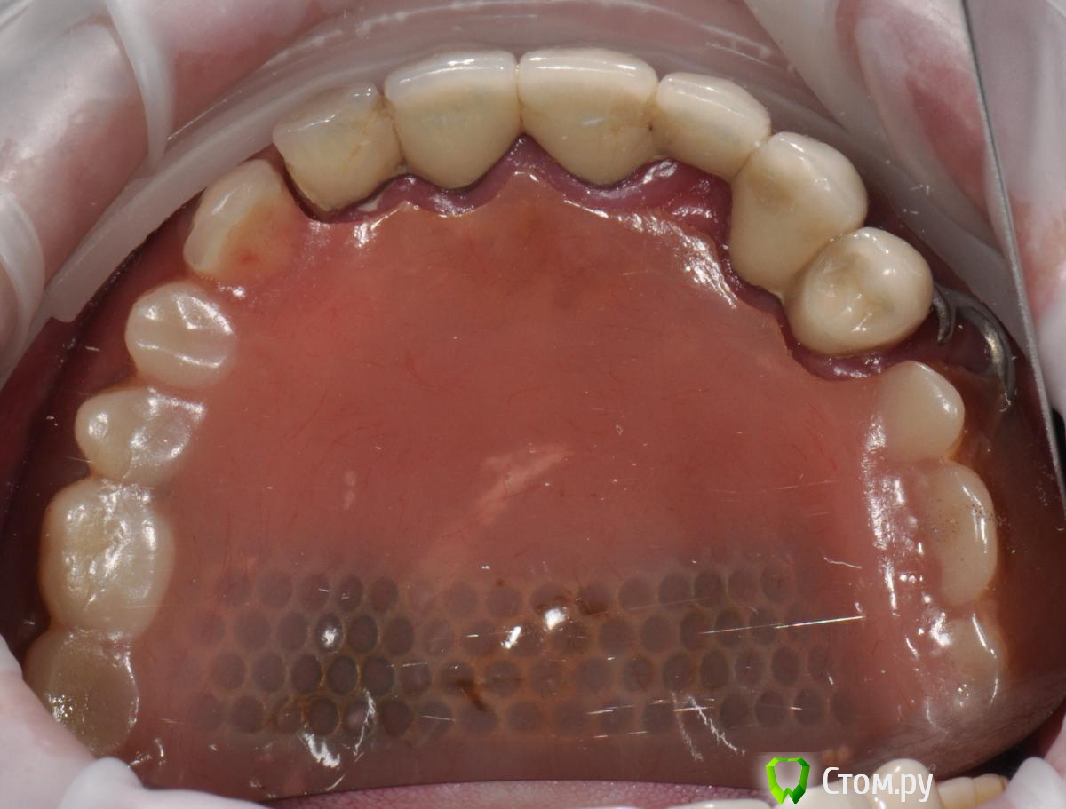
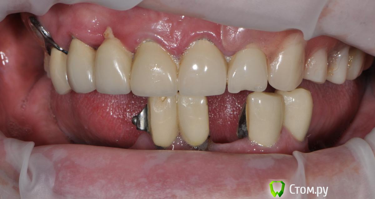
Rtov Опубликовано 31 августа, 2014 Поделиться Опубликовано 31 августа, 2014 Система "Renova", вклейка на 4-х на н/ч + ПСПП на в/ч.Ребят, поделитесь протоколом (синтаксис) лечения на балках, кто как делает?! 1 Ссылка на комментарий
doc-евгений Опубликовано 4 сентября, 2014 Поделиться Опубликовано 4 сентября, 2014 Здравствуйте, у вас вклейка на 4 это не мультиюниты? Ссылка на комментарий
Rtov Опубликовано 4 сентября, 2014 Автор Поделиться Опубликовано 4 сентября, 2014 нет, это вклейка! Ссылка на комментарий
Рекомендуемые сообщения
Для публикации сообщений создайте учётную запись или авторизуйтесь
Вы должны быть пользователем, чтобы оставить комментарий
Создать аккаунт
Зарегистрируйте новый аккаунт в нашем сообществе. Это очень просто!
Регистрация нового пользователяВойти
Уже есть аккаунт? Войти в систему.
Войти