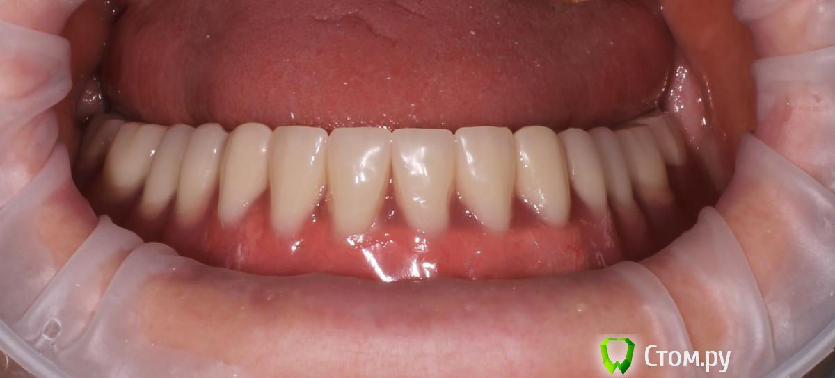
MenshikovDV Опубликовано 30 августа, 2014 Поделиться Опубликовано 30 августа, 2014 Четыре имплантата, столько же мульти-юнитов плюс балка и бюгель. 8 Ссылка на комментарий
carloss Опубликовано 30 августа, 2014 Поделиться Опубликовано 30 августа, 2014 с десной нужно было сделать так http://savepic.ru/5760205.jpg 4 Ссылка на комментарий
M@estro Опубликовано 30 августа, 2014 Поделиться Опубликовано 30 августа, 2014 Мне поравилась работа . Только модель в качестве фона не очень ) Ссылка на комментарий
Mane Опубликовано 31 августа, 2014 Поделиться Опубликовано 31 августа, 2014 Десны там не хватает. И фото не показательные на финале. Нужен портрет. Ссылка на комментарий
MenshikovDV Опубликовано 31 августа, 2014 Автор Поделиться Опубликовано 31 августа, 2014 Модель рабочая, поэтому убитая Про портрет, посмотрю что есть Ссылка на комментарий
Рекомендуемые сообщения
Для публикации сообщений создайте учётную запись или авторизуйтесь
Вы должны быть пользователем, чтобы оставить комментарий
Создать аккаунт
Зарегистрируйте новый аккаунт в нашем сообществе. Это очень просто!
Регистрация нового пользователяВойти
Уже есть аккаунт? Войти в систему.
Войти