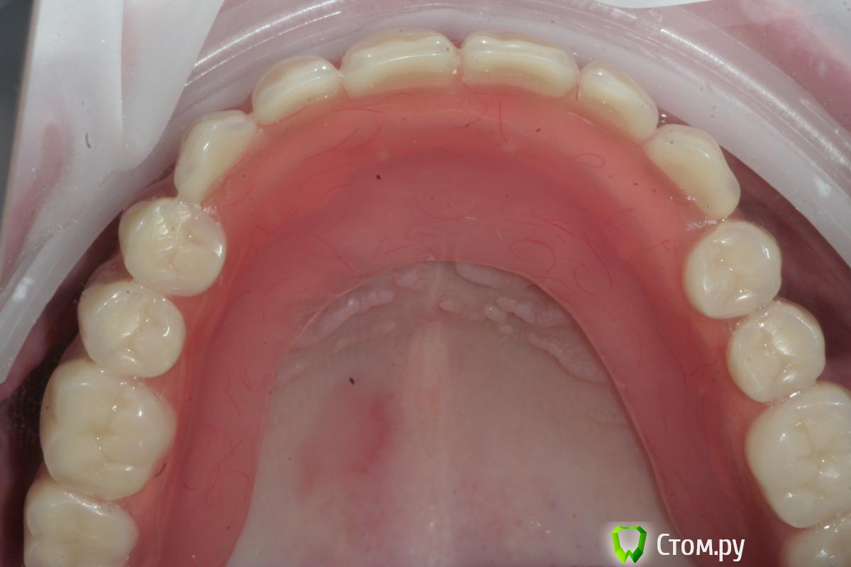
togrul Опубликовано 29 августа, 2014 Поделиться Опубликовано 29 августа, 2014 Имплантаты семадос. У пациента прогения. На балке вывели в прямой прикус. 4 Ссылка на комментарий
Evikrol Опубликовано 29 августа, 2014 Поделиться Опубликовано 29 августа, 2014 Так вот он какой, северный олень. Вопрос должен быть зазор между слизистой и протезом? Ссылка на комментарий
kriokov Опубликовано 29 августа, 2014 Поделиться Опубликовано 29 августа, 2014 что использовали в качестве временного? C семадос не знаком, балка литая на приливаемых абатментах? 1 1 Ссылка на комментарий
togrul Опубликовано 29 августа, 2014 Автор Поделиться Опубликовано 29 августа, 2014 Так вот он какой, северный олень. Вопрос должен быть зазор между слизистой и протезом?нет частично опирается на слизистою, но не как при классическом протезировании. Ссылка на комментарий
togrul Опубликовано 29 августа, 2014 Автор Поделиться Опубликовано 29 августа, 2014 что использовали в качестве временного? C семадос не знаком, балка литая на приливаемых абатментах?В качестве временного ничего не использовали. Балка литая на приклеиваемых абатментах, без шестигранников. 1 Ссылка на комментарий
Evikrol Опубликовано 29 августа, 2014 Поделиться Опубликовано 29 августа, 2014 Хорошо. Понял. Как пациенту? Понятно что лучше чем обычный. Не забивается еда под него? Можно ли перебазировку делать? Ссылка на комментарий
togrul Опубликовано 29 августа, 2014 Автор Поделиться Опубликовано 29 августа, 2014 Хорошо. Понял. Как пациенту? Понятно что лучше чем обычный. Не забивается еда под него? Можно ли перебазировку делать?Еда не забивается. перебазировку не делала пока ни разу. на слизистой нагрузка минимальна все берет на себя балка. Ссылка на комментарий
Nadzivany Опубликовано 29 августа, 2014 Поделиться Опубликовано 29 августа, 2014 В качестве временного ничего не использовали. Балка литая на приклеиваемых абатментах, без шестигранников. Не понятно, что к чему приклеивалось? Ссылка на комментарий
togrul Опубликовано 29 августа, 2014 Автор Поделиться Опубликовано 29 августа, 2014 Не понятно, что к чему приклеивалось?Ti base без шестигранников специально для балочной системы на них техник моделирует балку , отливает потом приклеивает на TI base. методика такая же как при изготовление инд. абатментов приклеиваемых. Ссылка на комментарий
togrul Опубликовано 29 августа, 2014 Автор Поделиться Опубликовано 29 августа, 2014 что использовали в качестве временного? C семадос не знаком, балка литая на приливаемых абатментах?поставил минус случайно) извините Ссылка на комментарий
kriokov Опубликовано 29 августа, 2014 Поделиться Опубликовано 29 августа, 2014 Ti base без шестигранников специально для балочной системы на них техник моделирует балку , отливает потом приклеивает на TI base. методика такая же как при изготовление инд. абатментов приклеиваемых. а в ответной части балки (в протезе) нейлоновые матрицы использовали? Профили стандартные под элементы балки (литье) использовались? Ссылка на комментарий
togrul Опубликовано 29 августа, 2014 Автор Поделиться Опубликовано 29 августа, 2014 а в ответной части балки (в протезе) нейлоновые матрицы использовали? Профили стандартные под элементы балки (литье) использовались?Матрицы не ставлю сразу, обычно даже не нужны бывают. да профили литые стандартные 1 Ссылка на комментарий
Aquarius Опубликовано 4 сентября, 2014 Поделиться Опубликовано 4 сентября, 2014 Здравствуйте всем) Чтобы не плодить лишних тем, спрошу в этой. Кто-нибудь сталкивался с тем,что после сдачи полного съемного на балке ( такая же как у топикстартера) появляется легкий люфт в передне-заднем направлении, то есть пациент ставит фронтальные зубы встык и дистальная часть базиса отходит от слизистой? Не могу решить эту проблему(( Коррегирующий под протез не выявляет зон повышенного трения, балка,вкладываемая в ответную часть, не люфтит, матриц нет, только 7 или 11 ( не помню ) фрикционников, на примерке вроде тоже все норм. И вот не могу сдать, блин. Что делать, ума не приложу. P.S. завтра выложу фото балки. Ссылка на комментарий
togrul Опубликовано 4 сентября, 2014 Автор Поделиться Опубликовано 4 сентября, 2014 Здравствуйте всем) Чтобы не плодить лишних тем, спрошу в этой. Кто-нибудь сталкивался с тем,что после сдачи полного съемного на балке ( такая же как у топикстартера) появляется легкий люфт в передне-заднем направлении, то есть пациент ставит фронтальные зубы встык и дистальная часть базиса отходит от слизистой? Не могу решить эту проблему(( Коррегирующий под протез не выявляет зон повышенного трения, балка,вкладываемая в ответную часть, не люфтит, матриц нет, только 7 или 11 ( не помню ) фрикционников, на примерке вроде тоже все норм. И вот не могу сдать, блин. Что делать, ума не приложу. P.S. завтра выложу фото балки.может техник не досаживает протез? попробуйте поставить матрицы. какая высота балки? Ссылка на комментарий
Aquarius Опубликовано 5 сентября, 2014 Поделиться Опубликовано 5 сентября, 2014 может техник не досаживает протез? попробуйте поставить матрицы. какая высота балки?http://youtu.be/_nuVvQNJAGk вот таким образом протез гуляет((( http://s017.radikal.ru/i440/1409/d4/0e7fb249a32d.jpghttp://s019.radikal.ru/i613/1409/16/903b25d4d217.jpghttp://s017.radikal.ru/i400/1409/1f/6b3897366a7e.jpghttp://s019.radikal.ru/i631/1409/bc/5b13f17fac40.jpghttp://i008.radikal.ru/1409/83/49793e202218.jpg Ссылка на комментарий
togrul Опубликовано 6 сентября, 2014 Автор Поделиться Опубликовано 6 сентября, 2014 http://youtu.be/_nuVvQNJAGk вот таким образом протез гуляеткогда вы одеваете протез на балку он двигается руками или только при движении нижней челюсти вперед? Ссылка на комментарий
Aquarius Опубликовано 7 сентября, 2014 Поделиться Опубликовано 7 сентября, 2014 когда вы одеваете протез на балку он двигается руками или только при движении нижней челюсти вперед?Здравствуйте! У Вас открывается видео? Да протез двигается при накусывании передними зубами Ссылка на комментарий
togrul Опубликовано 7 сентября, 2014 Автор Поделиться Опубликовано 7 сентября, 2014 Добрый день. нет не открывается, скорее всего происходит опрокидывание протеза по следующим причинам по моему: техних не качественно обработал ответную часть на протезе ( не досадил или грубые нарушения при досаживании ) или не качесвенно изготовлена балка ( скорее всего высота ) вот мои предположения. Ссылка на комментарий
Aquarius Опубликовано 7 сентября, 2014 Поделиться Опубликовано 7 сентября, 2014 (изменено) Спасибо Вам за отзывчивость)) Сейчас подумаю как можно еще видео вставить. А что если саму балку попробовать пришлифовать в тех местах где немного остается след от копирки? И вот на снимке где протез на столе есть полированное пятно в ответной части. Только что увидел, может это место завышает? как думаете? На примерке вроде все хорошо было. С воском протез не покачаешь - ответная часть выламывается(( Засада блин Изменено 7 сентября, 2014 пользователем Aquarius Ссылка на комментарий
togrul Опубликовано 7 сентября, 2014 Автор Поделиться Опубликовано 7 сентября, 2014 Как на моделях сидит протез? самому ничего лучше не делать . при протрузии боковые зубы разобщаются? Ссылка на комментарий
Aquarius Опубликовано 7 сентября, 2014 Поделиться Опубликовано 7 сентября, 2014 Вроде плотно сидели. При протрузии разобщаются. Повезу пациента в лабу, директору показывать)) Ссылка на комментарий
togrul Опубликовано 7 сентября, 2014 Автор Поделиться Опубликовано 7 сентября, 2014 При протезировании съемными я стараюсь сформировать сбалансированную окклюзию т.е что при протоками не было разобщения так приез лучше держится Ссылка на комментарий
Ibulat_1986 Опубликовано 8 сентября, 2014 Поделиться Опубликовано 8 сентября, 2014 Имплантаты семадос. У пациента прогения. На балке вывели в прямой прикус.втулки на ответной части в протезе бредентовские? как часто меняете? у моих примерно раз в год Ссылка на комментарий
togrul Опубликовано 8 сентября, 2014 Автор Поделиться Опубликовано 8 сентября, 2014 да Бредент, пока не менял ни одну)) не так много балок Ссылка на комментарий
Рекомендуемые сообщения
Для публикации сообщений создайте учётную запись или авторизуйтесь
Вы должны быть пользователем, чтобы оставить комментарий
Создать аккаунт
Зарегистрируйте новый аккаунт в нашем сообществе. Это очень просто!
Регистрация нового пользователяВойти
Уже есть аккаунт? Войти в систему.
Войти