Romanson Опубликовано 28 августа, 2014 Поделиться Опубликовано 28 августа, 2014 Уважаемые доктора, подскажите пожалуйста протокол временного замещения дефекта зубного ряда после удаления. Ситуация такая: у пациентки сломался анкерный штифт в резце, на этом штифте держалась коронка. Принято решение удалить гнилой корень, дождаться заживления раны, через 3 месяца провести имплантацию. Вопрос - как заместить этот дефект, чтобы дырки не было? Мои мысли такие: перед удалением снять оттиск, отдать технику, попросить чтобы сделал пластмассовую коронку. Эту коронку приклеить на стекловолоконную ленту, а ленту приклеить на соседние зубы. Правильны ли мои мысли? Если правильны, то можно ли эту конструкцию приклеить сразу после удаления или нужно подождать какое-то количество дней? Нужно ли просить техника соблюсти какие-либо нюансы при изготовлении временной коронки? Если мысли не правильны, то прошу поделиться как бы вы делали в подобной ситуации.Извините, если вопросы глупые. Делаю первые шаги в этом направлении. Всем заранее большое спасибо! Ссылка на комментарий
togrul Опубликовано 28 августа, 2014 Поделиться Опубликовано 28 августа, 2014 Добрый день. Выложите снимок и фото. в переднем отдетеле желательно удалить и одномоментную имплантацию провести для предсказуемого результата, после имплантации можно сделать временную коронку. Ссылка на комментарий
Военный Врач Опубликовано 28 августа, 2014 Поделиться Опубликовано 28 августа, 2014 Делаю каппу на вакумформере обычно 1 Ссылка на комментарий
Romanson Опубликовано 28 августа, 2014 Автор Поделиться Опубликовано 28 августа, 2014 (изменено) Добрый день. Выложите снимок и фото. в переднем отдетеле желательно удалить и одномоментную имплантацию провести для предсказуемого результата, после имплантации можно сделать временную коронку.Ни снимка ни фото конкретно по этой ситуации нет.Но вот, примерно похожая ситуация. Пациентку смущает отсутствие коронковой части зуба 1.4План был такой - заняться перелечиванием зуба 1.5, параллельно удалить 1.4, дождавшись образования первичной кости 1.4 и заживления периапикальных тканей 1.5 поставить имплант. Чтобы пациентка улыбалась, хотелось придумать какую-то временную конструкцию. Вот по этой части вопрос в первом сообщении.Вопрос не по текущей теме: если ситуация как на приложенном снимке, то имплантация 1.4 противопоказана же, т.к. рядом есть очаг инфекции 1.5? Изменено 28 августа, 2014 пользователем Romanson Ссылка на комментарий
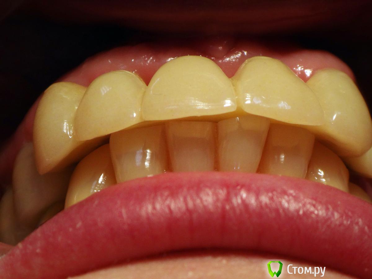
Kalipso Опубликовано 28 августа, 2014 Поделиться Опубликовано 28 августа, 2014 Я ставлю сразу после удаления .1 . Снимаю слепок до удаления , и прошу техника либо сделать коронку или wax up после чего по ключу сама изготавливаю .2. Удаляю .3.Жидкотекучим креплю коронку . Как- то так . Это наверно самая моя первая такая работа .http://s017.radikal.ru/i432/1408/7c/d61e22c1c7ae.jpg http://s018.radikal.ru/i519/1408/d2/23c0aebcd1b4.jpg http://s016.radikal.ru/i336/1408/51/3ede7c77a5d0.jpg http://s41.radikal.ru/i091/1408/cc/604419754cb7.jpg 3 Ссылка на комментарий
Romanson Опубликовано 28 августа, 2014 Автор Поделиться Опубликовано 28 августа, 2014 Я ставлю сразу после удаления .1 . Снимаю слепок до удаления , и прошу техника либо сделать коронку или wax up после чего по ключу сама изготавливаю .2. Удаляю .3.Жидкотекучим креплю коронку . Как- то так . Это наверно самая моя первая такая работа .Спасибо за кейс. Сразу после удаления крепите или ждете какое-то время? Жидким крепите с протравливанием/бондом соседних зубов? Не возникает ли потом сложностей как снять это? Есть ли промывное пространство между десной и временной коронкой или клеете впритык? Ссылка на комментарий
togrul Опубликовано 28 августа, 2014 Поделиться Опубликовано 28 августа, 2014 Ни снимка ни фото конкретно по этой ситуации нет.Но вот, примерно похожая ситуация. Пациентку смущает отсутствие коронковой части зуба 1.4План был такой - заняться перелечиванием зуба 1.5, параллельно удалить 1.4, дождавшись образования первичной кости 1.4 и заживления периапикальных тканей 1.5 поставить имплант. Чтобы пациентка улыбалась, хотелось придумать какую-то временную конструкцию. Вот по этой части вопрос в первом сообщении.Вопрос не по текущей теме: если ситуация как на приложенном снимке, то имплантация 1.4 противопоказана же, т.к. рядом есть очаг инфекции 1.5?да все правильно. Ссылка на комментарий
togrul Опубликовано 28 августа, 2014 Поделиться Опубликовано 28 августа, 2014 Я ставлю сразу после удаления .1 . Снимаю слепок до удаления , и прошу техника либо сделать коронку или wax up после чего по ключу сама изготавливаю .2. Удаляю .3.Жидкотекучим креплю коронку . Как- то так . Это наверно самая моя первая такая работа .http://s017.radikal.ru/i432/1408/7c/d61e22c1c7ae.jpg http://s018.radikal.ru/i519/1408/d2/23c0aebcd1b4.jpg http://s016.radikal.ru/i336/1408/51/3ede7c77a5d0.jpg http://s41.radikal.ru/i091/1408/cc/604419754cb7.jpgОчень хороший выход. с прикуса снимаете? Ссылка на комментарий
Kalipso Опубликовано 28 августа, 2014 Поделиться Опубликовано 28 августа, 2014 Спасибо за кейс. Сразу после удаления крепите или ждете какое-то время? Жидким крепите с протравливанием/бондом соседних зубов? Не возникает ли потом сложностей как снять это? Есть ли промывное пространство между десной и временной коронкой или клеете впритык?1.Удаление, гемостаз.2.бонд , коронка.3.все ок, иногда раньше времени слетает .4.не знаю правильно или нет но клею впритык . Проблем не было . 1 Ссылка на комментарий
Kalipso Опубликовано 28 августа, 2014 Поделиться Опубликовано 28 августа, 2014 Очень хороший выход. с прикуса снимаете?Обычно да . Ссылка на комментарий
Afffinity Опубликовано 28 августа, 2014 Поделиться Опубликовано 28 августа, 2014 Еще вариант, Мурад на курсах рассказывал. Оттиск, вакс-ап, прозрачная каппа. На место удаленного заливаете материал для временных коронок и вперед. Ссылка на комментарий
Kalipso Опубликовано 28 августа, 2014 Поделиться Опубликовано 28 августа, 2014 Еще вариант, Мурад на курсах рассказывал. Оттиск, вакс-ап, прозрачная каппа. На место удаленного заливаете материал для временных коронок и вперед. Мне кажется это крайне не удобно пациенту !)))хотя как вариант . Ссылка на комментарий
max9108 Опубликовано 5 сентября, 2014 Поделиться Опубликовано 5 сентября, 2014 (изменено) Очень хороший выход. с прикуса снимаете?Мне кажется или зениты у двоек будут разной высоты? Что делать если после удаления десна выше зенитов соседних? Получается если поставить времянку сразу же и ограничить десну , то овоид получится выше чем надо. Если подождать после удаления несколько дней, опустится ли десна? Изменено 5 сентября, 2014 пользователем max9108 Ссылка на комментарий
Kalipso Опубликовано 5 сентября, 2014 Поделиться Опубликовано 5 сентября, 2014 Мне кажется или зениты у двоек будут разной высоты? Что делать если после удаления десна выше зенитов соседних? Получается если поставить времянку сразу же и ограничить десну , то овоид получится выше чем надо. Если подождать после удаления несколько дней, опустится ли десна?Именно в этом случае в дальнейшем планировалось хир. удлинение .Если вы хотите сохранить овойд делайте временную конструкцию одномоментно с удаление , если найду покажу фото где пациент пришел на третий день после вид совершенно другой . Ссылка на комментарий
max9108 Опубликовано 5 сентября, 2014 Поделиться Опубликовано 5 сентября, 2014 Именно в этом случае в дальнейшем планировалось хир. удлинение .Если вы хотите сохранить овойд делайте временную конструкцию одномоментно с удаление , если найду покажу фото где пациент пришел на третий день после вид совершенно другой .Покажите. Буду благодарен. Я после удаления решил отложить овоид на 3 дня, так как после удаления край десны был выше зенитов соседних. Прикинул, что с натяжения хоть опустится немного ))) фантастика, да? или я все норм прикинул?)) За 3 дня ничего критического не произойдет, если попытаюсь сформировать овоид( сделать его чуть шире) ?пс. опыта пока маловато, так что заранее прошу простить Ссылка на комментарий
Bobby Опубликовано 9 сентября, 2014 Поделиться Опубликовано 9 сентября, 2014 Если планируется удаление переднего зуба, то стараемся одномоментно установить имплантат. Если это невозможно или нельзя нагружать винт, то делаем адгезивный "мериленд". Если пролёт в несколько зубов, то только съёмное. 7 Ссылка на комментарий
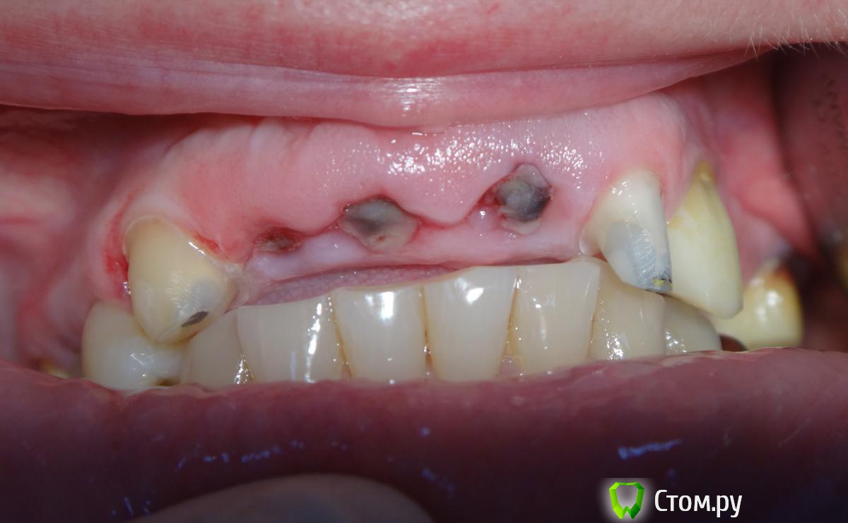
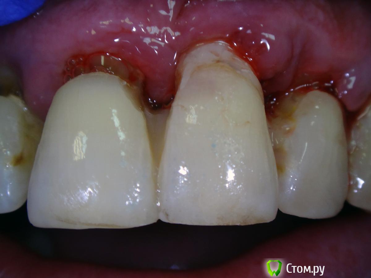
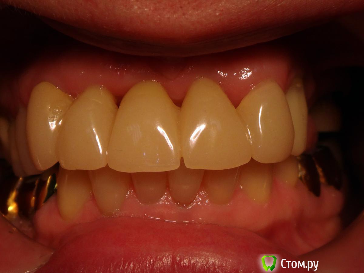
Slaggy Опубликовано 11 сентября, 2014 Поделиться Опубликовано 11 сентября, 2014 (изменено) Если планируется удаление переднего зуба, то стараемся одномоментно установить имплантат. Если это невозможно или нельзя нагружать винт, то делаем адгезивный "мериленд". Если пролёт в несколько зубов, то только съёмное. Можно дополню?Если пролет в несколько зубов, но ограничивающие деффект зубы будут обтачиваться, то можно армировать времянки металлом.вторую фотку перезагружаю:Это как раз на 3-4 день овоиды сделаны. первая фотка на 3-4 день после 3-4 дня после удаления.Что скажите мне изменится в поверхностных слоях сгустка и окружающих их тканей за 3-7 дней? Прорастет чем? или что?Нифига не вижу разницы одномоментно или на 3 день. Ааа. Есть разница. Не кровит и можно работать.А еще пациент осознав потерю значимей оценит обретение. Если удаляемый зуб имеет коронку, то можно его использовать для времянки.Извините за качество, не успел отфоткать - фотик сдох, успел пару раз нажать на затвор без подготовки.Вся центральная группа с клиновидными деффектами и подвижна, 21 - выдвинут на 3,5 мм. пациент не хочет с ним расстоваться, держит губами, оберегает.Нужен был быстрый "ход конем", чтоб он на шею не сел. Я пообещал за час сделать лучше чем есть. Пальцами удалил 21, обрезал под овоид, ретроградно запломбировал жидкотекучим, им же залил клиновидный и приклеил, армировав стекловолоконной лентой.Говенная работа, но она позволит мне дальше человека вывести на нормальное лечение.Вообще данный товрисч очень тяжелый, там все под бульдозер, а потом...Еще рас сорри за жесть, но это жизнь, работа, будни ))))) Изменено 11 сентября, 2014 пользователем Slaggy Ссылка на комментарий
chervoncevdaniil Опубликовано 11 сентября, 2014 Поделиться Опубликовано 11 сентября, 2014 Можно дополню?Если пролет в несколько зубов, но ограничивающие деффект зубы будут обтачиваться, то можно армировать времянки металлом.DSC00368.JPGDSC00336.JPGDSC00338.JPGвторую фотку перезагружаю:DSC00345.JPGЕсли удаляемый зуб имеет коронку, то можно его использовать для времянки.DSC00501.JPGDSC00502.JPGИзвините за качество, не успел отфоткать - фотик сдох, успел пару раз нажать на затвор без подготовки.Вся центральная группа с клиновидными деффектами и подвижна, 21 - выдвинут на 3,5 мм. пациент не хочет с ним расстоваться, держит губами, оберегает.Нужен был быстрый "ход конем", чтоб он на шею не сел. Я пообещал за час сделать лучше чем есть. Пальцами удалил 21, обрезал под овоид, ретроградно запломбировал жидкотекучим, им же залил клиновидный и приклеил, армировав стекловолоконной лентой.Говенная работа, но она позволит мне дальше человека вывести на нормальное лечение.Вообще данный товрисч очень тяжелый, там все под бульдозер, а потом...Еще рас сорри за жесть, но это жизнь, работа, будни )))))тут прикус будете поднимать?просто по фото 13 в контакте с антагонистом или мне кажется? Ссылка на комментарий
Slaggy Опубликовано 11 сентября, 2014 Поделиться Опубликовано 11 сентября, 2014 (изменено) тут прикус будете поднимать?просто по фото 13 в контакте с антагонистом или мне кажется?На фото внизу еще отсвечивают штампованные мостывсе разобираем - жевательные низ и верх снимаемда прикус повышаем Это. кстати, одна из любимых частей профессии - приходит дама с зубами, а уходит с улыбкой. ))))) А вот и не вспомнил я ответа про контакт на 13. ))))Там сейчас кроме этого понтика зубов почти и нет в контакте. Изменено 11 сентября, 2014 пользователем Slaggy Ссылка на комментарий
max9108 Опубликовано 14 сентября, 2014 Поделиться Опубликовано 14 сентября, 2014 Sluggy спасибо за фото. Тоже думаю, что через 2-3 дня лучше,чем сразу после удаления. Ссылка на комментарий
Slaggy Опубликовано 15 сентября, 2014 Поделиться Опубликовано 15 сентября, 2014 тут прикус будете поднимать?просто по фото 13 в контакте с антагонистом или мне кажется? Есть ответ про 13 Прошел месяц: Ссылка на комментарий
Danger Опубликовано 26 октября, 2015 Поделиться Опубликовано 26 октября, 2015 что бы овоид сформировался надо искусственным зубом сильно отдавить десну?и скажите,если зубы были удалены лет 5 назад,возможно ли сформировать овоиды временными коронками? Ссылка на комментарий
Slaggy Опубликовано 27 октября, 2015 Поделиться Опубликовано 27 октября, 2015 Можно даже бором снять немного десны под овоид. Ссылка на комментарий
bugel Опубликовано 27 октября, 2015 Поделиться Опубликовано 27 октября, 2015 Скорее нужно) Ссылка на комментарий
Jasmine* Опубликовано 30 января, 2016 Поделиться Опубликовано 30 января, 2016 Есть ответ про 13 Прошел месяц: Как обстоят дела с гигиеной в промежуточной части с овоидами,есть особенности ухода? Могут же быть осложнения в виде пролежней,как избежать? И где можно более подробно прочитать про формирование овоидной промежуточной части? Сорри за много вопросов. Заранее спасибо. Ссылка на комментарий
Рекомендуемые сообщения
Для публикации сообщений создайте учётную запись или авторизуйтесь
Вы должны быть пользователем, чтобы оставить комментарий
Создать аккаунт
Зарегистрируйте новый аккаунт в нашем сообществе. Это очень просто!
Регистрация нового пользователяВойти
Уже есть аккаунт? Войти в систему.
Войти