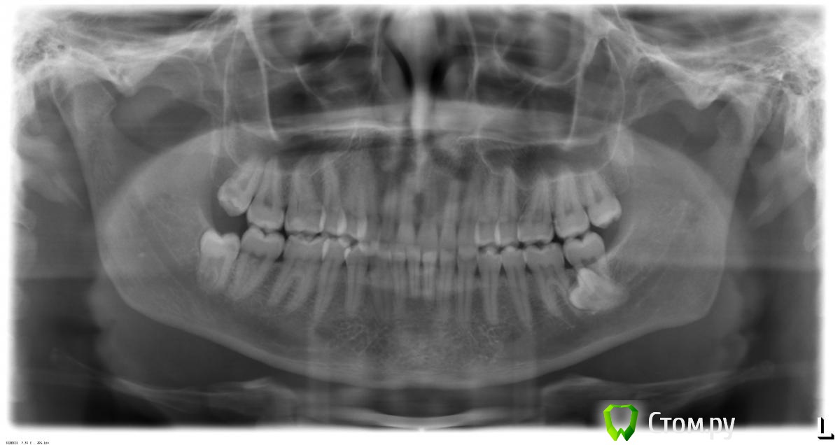
DenisF Опубликовано 15 августа, 2014 Поделиться Опубликовано 15 августа, 2014 (изменено) Уважаемые доктора! Очень прошу вас поделиться мнением. Изначально обратился ввиду проблем с суставом, но после ортопантомограммы, понял, что проблема суставов далеко не единственная. Пожалуйста, посмотрите ортопантомограмму в прикрепленном файле. Очень смущает восьмерка, которая размещена чуть ли не в горизонтальном положении. Сказали, что при удалении даже возможно потребуется костная пластика. Также, смутило, что не просматриваются корни нижних средних резцов. Заранее благодарю за помощь и уделенное время и внимание! Приятного всем дня! Изменено 15 августа, 2014 пользователем DenisF Ссылка на комментарий
faity Опубликовано 15 августа, 2014 Поделиться Опубликовано 15 августа, 2014 (изменено) я прям моральное удовлетворение получил от вида восьмерки! удалять только с КТ.с корнями все нормально, резорбции не отмечается Изменено 15 августа, 2014 пользователем faity 2 Ссылка на комментарий
red_butler Опубликовано 15 августа, 2014 Поделиться Опубликовано 15 августа, 2014 для начала сделайте Кт, остальное дело техники. я прям моральное удовлетворение получил от вида восьмерки! у меня тоже руки зачесались Также, смутило, что не просматриваются корни нижних средних резцов. \все с ними нормально Ссылка на комментарий
IvanK Опубликовано 15 августа, 2014 Поделиться Опубликовано 15 августа, 2014 + 1кт Ссылка на комментарий
DenisF Опубликовано 15 августа, 2014 Автор Поделиться Опубликовано 15 августа, 2014 Доктора, большое спасибо за советы! Здорово, что вас смогла порадовать моя ситуация КТ сделаю обязательно! Пожалуйста, поправьте меня, если ошибаюсь: зуб растет параллельно в кости. если его удалить, то будет дыра в кости. нужно будет ли ее восстанавливать (сразу или потом)? Ссылка на комментарий
faity Опубликовано 15 августа, 2014 Поделиться Опубликовано 15 августа, 2014 (изменено) КТ надо смотретьдыра в кости может сама зарости, а может аугментацию надо будет делать или хватит PRP сразу после удаления положить. Изменено 15 августа, 2014 пользователем faity Ссылка на комментарий
Рекомендуемые сообщения
Для публикации сообщений создайте учётную запись или авторизуйтесь
Вы должны быть пользователем, чтобы оставить комментарий
Создать аккаунт
Зарегистрируйте новый аккаунт в нашем сообществе. Это очень просто!
Регистрация нового пользователяВойти
Уже есть аккаунт? Войти в систему.
Войти