pustoe Опубликовано 14 августа, 2014 Поделиться Опубликовано 14 августа, 2014 (изменено) Добрый день, уважаемые! Есть у меня 25 зуб, лечила как-то соседний, врач сказала, что с 25 тоже проблемы, глубокий кариес, надо делать. Сделали. Через месяц заболел, ещё через месяц попала на приём (гос.поликлиника за деньги в карман врачу), пролечили пульпит всё на том же зубе, выписала она мне антибиотиков, обезболивающих и отпустила с миром. Антибиотики пропила наполовину потому что тошнить от них начало. Через две недели после лечения зуб (который уже отошёл от пульпитных болей) вдруг заболел и в носоглотке появился привкус гноя. В своё время у меня был гайморит, заподозрила, что опять началось, но нет, по ощущениям на гайморит совершенно не похоже. Температура в норме, общее состояние хорошее. Привкус постепенно пропадал, зуб постепенно переставал болеть. Когда резкая боль прошла, осталась только боль при жевании (такая же как и до лечения пульпита). Отругав мысленно врача и узнав, что она ещё и в отпуске, решила сходить к частникам за скромные деньги. Диагноз - хронический периодонтит, начали лечение. Рассверлили каналы, почистили, залили перекиси, положили лекарство, пригласили через 3 дня на приём, чтобы канал один дочистить (не успели за один приём сделать всё). Пришла, сделали анестезию, почистили, залили перекиси и тут я почувствовала нарастающую жгучую боль по всей левой стороне лица, до висков, из глаз слёзы, в носу щиплет. Доделали зуб, поставили лекарство, отправили 2 недели жить с временной пломбой. После посещения заболела левая сторона горла, состояние апатии, температуры нет. Зуб болит при накусывании. Голос простывший. Уважаемые, ответьте, пожалуйста, на 2 вопроса:1) Это является нормальной реакцией на лечение или же стоит паниковать? 2) Временную пломбу подтачивают до комфортного состояния? Мне вот ничего не сделали и челюсть сейчас как надо не закрывается. Когда была у врача, состояние было такое, что даже думать о таких вещах не могла.Снимок есть только во время лечения пульпита, то есть за два месяца до последнего лечения, если нужен - приложу. Изменено 14 августа, 2014 пользователем pustoe Ссылка на комментарий
IvanK Опубликовано 14 августа, 2014 Поделиться Опубликовано 14 августа, 2014 Здравствуйте Врачам нужны объективные данные, выложите фото и снимки http://forum.stom.ru/topic/20613-sovety-patcientam-obiazatelno-k-prochteniiu/ 1 Ссылка на комментарий
pustoe Опубликовано 14 августа, 2014 Автор Поделиться Опубликовано 14 августа, 2014 Здравствуйте Врачам нужны объективные данные, выложите фото и снимки http://forum.stom.ru/topic/20613-sovety-patcientam-obiazatelno-k-prochteniiu/Я сделаю снимки и прикреплю, однако можно ли по симптоматике (жгучая боль, описанная выше) дать ответ без снимков является ли это нормальной реакцией на лечение? Моё общее состояние сейчас, на второй день, оставляет желать лучшего, именно поэтому, рискуя нарваться на удаление темы, я задаю этот вопрос. Ссылка на комментарий
Korel Опубликовано 14 августа, 2014 Поделиться Опубликовано 14 августа, 2014 если нужен - приложу. Нужен и до и особенно после. Ссылка на комментарий
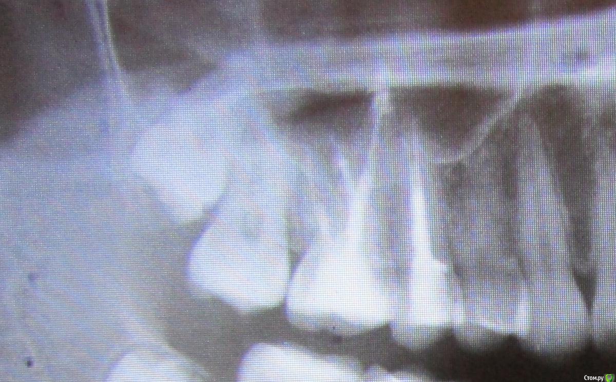
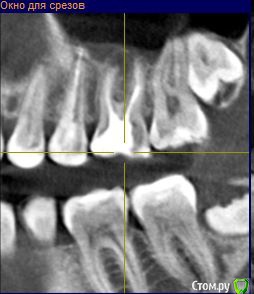
pustoe Опубликовано 13 марта, 2016 Автор Поделиться Опубликовано 13 марта, 2016 Уважаемые врачи, помогите советом! После тройного перелечивания 25 зуба я пол года не обращала внимания на то что чувствую боль при надкусывании. Но надоедает, знаете ли. Ещё раз попыталась понять точно ли 25 болит и выяснила, что боль в 26 зубе. Только при давлении на 1 определённый участок. И боль возникает только при жевании или когда я самостоятельно зубами пытаюсь найти этот участок. На осмотре зуб никак не реагирует ни на давление, ни на воздух, ни на холодную воду. Ну и главное - он мёртвый. Год назад обратилась в клинику, где проводили депульпирование зуба. На снимках врач не нашёл патологий, при ощупывании десны заметил боль в области 28 зуба. Хороший снимок 28 сделать не получилось, направили к хирургу.Посетила хирурга, сделали 3д-томографию. Хирург сказал, что удалять 28 зуб не нужно и проблема в 26, на снимке видна гранулёма. Ниже приложила 2 снимка от хирурга (декабрь 2014 г.). Обратилась в ту же клинику, где лечила 26 зуб , попросила 1) сменить врача, 2) лечить по гарантии. Зуб пролечили (февраль 2015 г.), результаты лечения на снимке №299 (сделан в ноябре 2015 г). Боли при надкусывании появились спустя недели 2-3. Далее в связи с переездом в другой город, не было возможности вновь обратиться к лечащему врачу, поэтому обратилась в новую клинику с целью удалить зуб или наткнуться на профессионалов, которые вылечат меня. В ней посчастливилось услышать аж два мнения разных врачей: терапевт сказал, что все дураки и плохо меня пролечили, надо заново перепломбировать каналы и закладывать лекарства, плюс на 25 зубе обнаружил гранулёму (осмотра физически не произвёл в связи с тем, что на час задержал мой приём и за мной был другой пациент, поэтому времени на меня у врача не было). Второй врач-пародонтолог предложил сделать резекцию. Я согласилась на второй вариант, при посещении пародонтолога описала историю зуба, врач засомневалась в наличии гранулёмы, хотя сказала, что на снимке гранулёма видна. Но раз пришла, решили резать. Разрезали десну, ткани здоровые, куча камня. Провели кютераж, гранулёму не нашли. Насколько я поняла, глубоко рыться в корнях врач не стала в связи с тем, что вариант с гранулёмой отмела. Прошёл месяц, две недели назад начала жевать на этой стороне, боли вернулись. Я в растерянности, вы, врачи с форумов, всегда советуете обратиться очно к специалистам, но я в той ситуации, когда это не помогает. Можно сходить и удалить зуб, но не хочется терять его, да и когда я шла к врачам с этой целью, меня убедили сохранить зуб.Скажите, что мне делать? Что вы видите на снимках ноября (самый актуальный снимок). Как может врач видеть на снимке гранулёму, а при разрезе десны не обнаружить её (в квалификации этого врача сомнений нет)? Как мне избавиться от боли? Может кто-то из вас работает в Санкт-Петербурге и готов взяться за меня?Хочу от вас конкретные советы и комментарий к снимку. Ссылка на комментарий
pustoe Опубликовано 13 марта, 2016 Автор Поделиться Опубликовано 13 марта, 2016 Ниже актуальный снимок в лучшем качестве Ссылка на комментарий
Рекомендуемые сообщения
Для публикации сообщений создайте учётную запись или авторизуйтесь
Вы должны быть пользователем, чтобы оставить комментарий
Создать аккаунт
Зарегистрируйте новый аккаунт в нашем сообществе. Это очень просто!
Регистрация нового пользователяВойти
Уже есть аккаунт? Войти в систему.
Войти