xSlon Опубликовано 13 августа, 2014 Поделиться Опубликовано 13 августа, 2014 Доброго времени суток!Прошу вашей помощи по сложному зубу, который не могут вылечить уже очень длительное время. Около 3х лет назад обнаружил, что при постукивании по 16му зубу(он был запломбирован совсем давно, не помню даже где и в каком году) появляется небольшая боль. Зуб не мешал, не доставлял беспокойств, но решив, что в таких случаях нужно действовать превентивно, пошел к стоматологу и рассказал о проблеме. Он посмотрел зуб(без вскрытия), сказал что никаких признаков боли не видит и считает что нужно удалять нерв. Поскольку зуб проблем не доставлял, я отказался.В течение этих трех лет состояние не ухудшалось, но я еще два раза ходил к разным стоматологам, описывал симптомы, они смотрели зуб, никаких признаков болезни не видели и советовали заниматься зубом когда он будет доставлять настоящие неудобства.В середине октября 2013 года ситуация ухудшилась, зуб начал периодически не сильно болеть, реагировать на холодное и горячее. В середине декабря ситуация сильно ухудшилась, зуб начал сильно болеть, сильно реагировать на холодное и горячее, сильно болеть даже при простом касании. Я обратился в стоматологию1 к врачу1, где мне вскрыли зуб, сказали что обнаружили под пломбой кариес, из-за кариеса произошло воспаление нервов и нужно удалять нервы в зубе. Боль была очень значительной, я не раздумывая согласился. Мне вскрыли зуб, поставили обезболивающее(или лекарство - точно не знаю), и сказали прийти через 7 дней, боль прошла. Через 7 дней мне обработали каналы и запломбировали Metapex'ом, сказали прийти в феврале(возможно еще удалили лекарство, точно не помню). В феврале мне за 1 посещение запломбировали постоянно каналы и за 2е посещение запломбировали зуб. К середине февраля лечение закончилось, жалоб не было. Единственное - удивляло что зуб, несмотря на удаление нервов, по старому реагирует на постукивание небольшой болью, но я не придал этому большого значения.Спустя 2 месяца, в середине апреля, остро заболел тот же самый зуб, с теми же симптомами - сильная боль, сильная реакция на холодное и горячее, сильная боль при касании. Врач1 был в отпуске, поэтому я пошел к Врачу2 в ту же самую Стоматологию1. Описал ситуацию, Врач2 посмотрела мою карточку, вскрыла зуб, осмотрела его, сказала что где-то должен быть 4й канал, но она не может его найти, сказала что вставила куда-то в зуб лекарство, сказала прийти через неделю.Боль утихла, пришел через неделю к тому же Врачу2, повторно вскрыли зуб, повторно поставили лекарство, но Врач2 сказала что 4го канала, который там должен быть, она не видит. Посоветовала обратиться к другому врачу, возможно, в другую стоматологию Через неделю, уже в начале мая, пришел повторно, запломбировали каналы Metapex'ом, поставили временную пломбу. По совету знакомых, в начале июня обратился к частному Врачу3, который специализируется на работе под микроскопом. Описал ей ситуацию, она вскрыла зуб, нашла четвертый канал, вставила туда лекарство, сказала прийти через неделю. Через неделю реакция зуба на слабые постукивания сохранилась, на приеме у Врача3 поставили более сильное лекарство(насколько я помню, с антибиотиком), прописала дополнительно в течении 5 дней пропить сильные антибиотики, сказала прийти через 10 дней. Через 10 дней, в конце июня, та же реакция зуба сохранилась. На приеме у Врача3 решили окончить лечение, потому как Врач3 на следующий день уходила в отпуск, а я, через несколько дней, уезжал в командировку. Перед отъездом пошел в Стоматологию1 к Врачу2, чтобы снять лекарство и временно запломбировать каналы и поставить временную пломбу. Врач2 сказала, что при вскрытии зуба она увидела 4й канал, попыталась определить длину канала с помощью прибора, используя самый тонкий инструмент(как я понял - это некая игла, подсоединенная к прибору, ее всовывают в канал, чем ближе кончик иглы к концу канала, тем сильнее он пищит), определить длину канала ей не удалось. Она предположила, что либо канал очень узкий, либо он изгибается, поэтому не удается дойти до конца канала.В командировке, в середине июля обновлял временную пломбу(от нее отвалился небольшой кусочек) в Стоматологии2, вкратце описал проблему Врачу4, он посоветовал использовать(дословно с листочка, который он мне дал) пломбировку материалом для к/к Forfenan Forident(резорцин-формалиновая паста). Сказал, что при таком методе, воспаленный нерв полностью обволакивается пастой, которая гермитизирует нерв, не давая разиваться воспалительному процессу. Сам воспаленный нерв остается, но организм, со временем, справляется с ним сам.Вернувшись из командировки, я пошел, по советам родственников, в Стоматологию3, к Врачу5. Описал ситуацию, сделал панорамный и прицельный снимки. Врач5, не вскрывая зуб, сказала что считает, что необходимо применить метод депофореза. Прошу вас, пожалуйста, посоветовать, каким образом вылечить этот зуб? Стоит ли попробовать резорцин-формалиновую пасту? Стоит ли делать метод депофореза? Возможно есть какие-то другие методы лечения? Прикладываю все снимки зуба из Стоматологии1Панорамный снимок из Стоматологии3, сделан 12 августа. https://yadi.sk/i/_hIqGP1IZaT4Y Ссылка на комментарий
faity Опубликовано 13 августа, 2014 Поделиться Опубликовано 13 августа, 2014 я бы вернулся к доктору у которого был микроскоп Ссылка на комментарий
xSlon Опубликовано 13 августа, 2014 Автор Поделиться Опубликовано 13 августа, 2014 я бы вернулся к доктору у которого был микроскопК сожалению, она в отпуске, до середины сентября. В середине сентября я уезжаю в длительную командировку, очень хотелось бы до этого момента решить вопрос с зубом. Ссылка на комментарий
xSlon Опубликовано 14 августа, 2014 Автор Поделиться Опубликовано 14 августа, 2014 Добавлен прицельный снимок 16го зуба от 12го августа. К сожалению, не нашел, как отредактировать первый пост. Ссылка на комментарий
xSlon Опубликовано 15 августа, 2014 Автор Поделиться Опубликовано 15 августа, 2014 Уважаемые врачи, прошу вас, дайте пожалуйста совет. Сам я не знаю, каким образом мне решать вопрос с зубом Ссылка на комментарий
faity Опубликовано 15 августа, 2014 Поделиться Опубликовано 15 августа, 2014 попробуйте пополоскать в течении суток мирамистином, если пройдет или попустит- пародонт, вектор сделайте. если нет- ищите доктора который сделает вам 4 канала качественно 1 Ссылка на комментарий
xSlon Опубликовано 16 августа, 2014 Автор Поделиться Опубликовано 16 августа, 2014 Можно ли использовать депофорез?* Ссылка на комментарий
red_butler Опубликовано 16 августа, 2014 Поделиться Опубликовано 16 августа, 2014 Можно ли использовать депофорез?*не нужно 1 Ссылка на комментарий
xSlon Опубликовано 17 августа, 2014 Автор Поделиться Опубликовано 17 августа, 2014 не нужноОбъясните, пожалуйста, почему? 1 Ссылка на комментарий
shishok Опубликовано 17 августа, 2014 Поделиться Опубликовано 17 августа, 2014 Объясните, пожалуйста, почему?Это ничего не даст. 1 Ссылка на комментарий
faity Опубликовано 18 августа, 2014 Поделиться Опубликовано 18 августа, 2014 ванночки антисептиком делали? Ссылка на комментарий
M@estro Опубликовано 19 августа, 2014 Поделиться Опубликовано 19 августа, 2014 (изменено) Ищите специалиста с микроскопом и именем. К такому "с наскока" вряд ли попадёте, но шанс есть. Зуб на финишной прямой, врач 6 - это последний его врач. P.s. Хотя нет. Последний будет - врач 7 Изменено 19 августа, 2014 пользователем M@estro 2 Ссылка на комментарий
faity Опубликовано 19 августа, 2014 Поделиться Опубликовано 19 августа, 2014 Ищите специалиста с микроскопом и именем. К такому "с наскока" вряд ли попадёте, но шанс есть. Зуб на финишной прямой, врач 6 - это последний его врач. P.s. Хотя нет. Последний будет - врач 7))) Ссылка на комментарий
xSlon Опубликовано 23 августа, 2014 Автор Поделиться Опубликовано 23 августа, 2014 ванночки антисептиком делали?Не делал, планировал идти к врачу, который работает под микроскопом. Ищите специалиста с микроскопом и именем. К такому "с наскока" вряд ли попадёте, но шанс есть. Зуб на финишной прямой, врач 6 - это последний его врач. P.s. Хотя нет. Последний будет - врач 7Врач3, который сейчас в отпуске, посоветовал своего коллегу, Врача6, который тоже работает под микроскопом.На осмотре Врач6 сказала что считает, что ее вмешательство бессмысленно, так как она будет делать то же самое что и врач3 с теми же лекарствами, теми же самыми инструментами. Сказала, что если мне не помогло лекарство с антибиотиком + 5-дневный курс сильных антибиотиков, то вряд ли то же самое лекарство поможет сейчас. Также, врач6 сказала что нерва у меня в 4м канале нет, т.к. симптомы были бы другие, а осталось только воспаление. Сейчас думаю - если нет нерва, то почему зуб болит?...Предложила 2 варианта:1. Пройти курс физиотерапии. Пришел к физиотерапевту, мне сделали 2 дня по 2 процедуры, результата нет.2. Обратиться к хирургу, который сделает надрез десны и запломбирует канал с верхней стороны, т.е. канал будет как бы закрыт с двух сторон, соответственно, воспаление будет заблокировано.Еще есть свой, 3-й вариант:3.Запломбировать постоянной пломбой, ждать дальнейшего развития событий с этим зубом. Завтра(в воскресенье), куплю мирамистин, прополоскаю. В понедельник утром напишу результат. Главный вопрос у меня сейчас - стоит ли идти к хирургу? Посоветуйте, пожалуйста. Ссылка на комментарий
xSlon Опубликовано 25 августа, 2014 Автор Поделиться Опубликовано 25 августа, 2014 Прополоскал мирамистином, изменений нет Ссылка на комментарий
faity Опубликовано 26 августа, 2014 Поделиться Опубликовано 26 августа, 2014 стало интересно посмотреть вживую Ссылка на комментарий
Бобр Опубликовано 28 августа, 2014 Поделиться Опубликовано 28 августа, 2014 Интересно, возможно сначала идет один МБ, а потом он где нибудь в средней трети раздваивается? Возможно трещина. Возможно парадонтальный карман на медиальной поверхности. Честно говоря интересная история. Ссылка на комментарий
faity Опубликовано 28 августа, 2014 Поделиться Опубликовано 28 августа, 2014 а у вас КТ есть? Ссылка на комментарий
xSlon Опубликовано 31 августа, 2014 Автор Поделиться Опубликовано 31 августа, 2014 Интересно, возможно сначала идет один МБ, а потом он где нибудь в средней трети раздваивается? Возможно трещина. Возможно парадонтальный карман на медиальной поверхности. Честно говоря интересная история.Каким образом можно определить раздвоение/трещину/парадонтальный карман? Я бы сообщил эту информацию врачу, попросил бы посмотреть.а у вас КТ есть?Нет. Поможет ли при выявлении проблемы с зубом? Записался на 3 сентября к Врачу3, попрошу поставить лекарство, потом постоянно запломбировать. Делаю все это, потому что 9го числа скорее всего придется уезжать в очень длительную поездку, заниматься зубом не смогу Ссылка на комментарий
faity Опубликовано 31 августа, 2014 Поделиться Опубликовано 31 августа, 2014 кт поможет диагностирвать Ссылка на комментарий
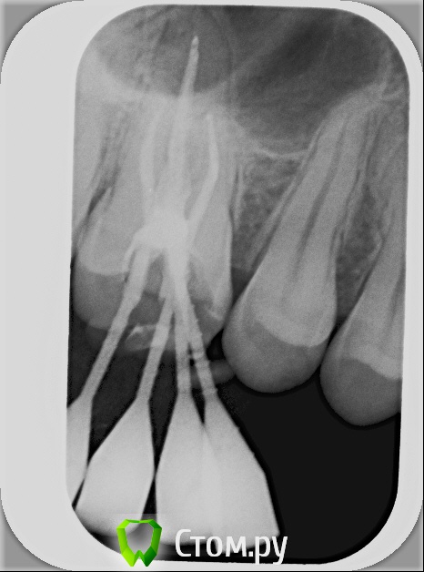
Scrabble Опубликовано 31 августа, 2014 Поделиться Опубликовано 31 августа, 2014 Я вижу, что Вам запломбировали каналы термафилами-причём два носителя введены в дистальный, а не в мезиальный щёчный корень. В качестве силера(пасты) использовался форфенан? Если это так, то нужно всё распломбировать, полностью удалить форфенан-и ждать, пока стихнет симптоматика. Ссылка на комментарий
xSlon Опубликовано 8 сентября, 2014 Автор Поделиться Опубликовано 8 сентября, 2014 Позвонил Врачу3, проконсультировался с ней - она посчитала что ее вмешательство не нужно, имеет смысл сходить к Врачу2, просто поставить временную пломбу.Ходил 03.09.14 к Врачу2 в Стоматологию1 - сменили метапасту в небном, дистально- и медиально-щечном, медианно-небном поставили жидкость форадент, поставили временную пломбу СИЦ.Я вижу, что Вам запломбировали каналы термафилами-причём два носителя введены в дистальный, а не в мезиальный щёчный корень. В качестве силера(пасты) использовался форфенан? Если это так, то нужно всё распломбировать, полностью удалить форфенан-и ждать, пока стихнет симптоматика.Просмотрел всю карточку из Стоматологии1, слова форафен там не нашел. Скажите, пожалуйста, на каком снимке вы это увидели? Ссылка на комментарий
Рекомендуемые сообщения
Для публикации сообщений создайте учётную запись или авторизуйтесь
Вы должны быть пользователем, чтобы оставить комментарий
Создать аккаунт
Зарегистрируйте новый аккаунт в нашем сообществе. Это очень просто!
Регистрация нового пользователяВойти
Уже есть аккаунт? Войти в систему.
Войти