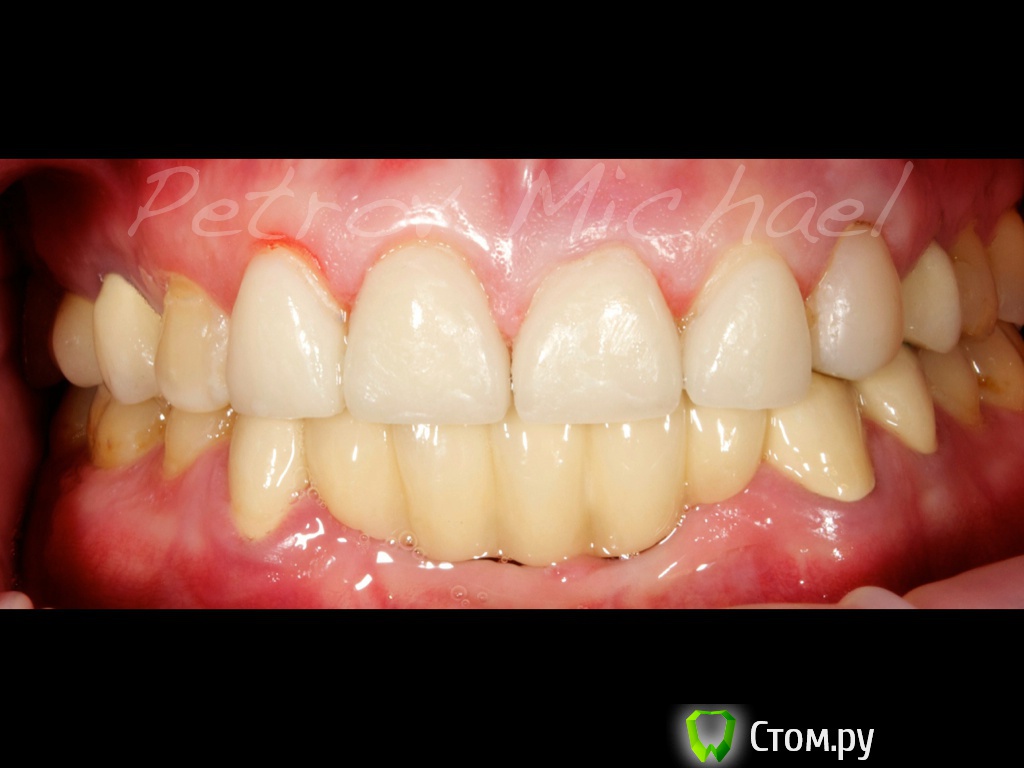
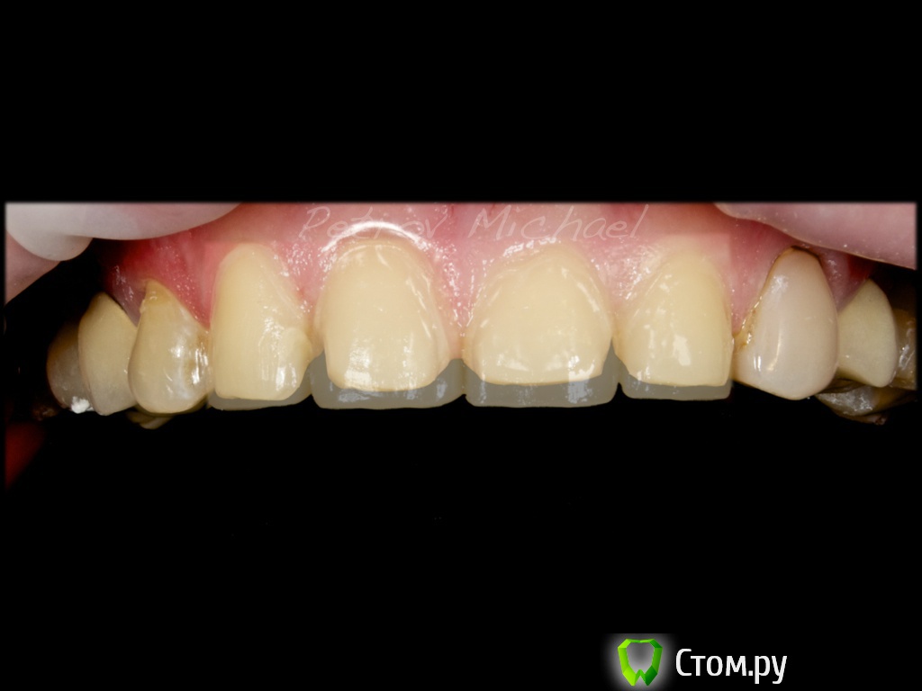
DR.P Опубликовано 12 августа, 2014 Поделиться Опубликовано 12 августа, 2014 (изменено) Дотора, выкладываю свой кейс. Это вторая моя работа по винирам, а можно сказать и первая, потому что первым кейсом был 1 винир (1.2) Приятного просмотра. Изменено 12 августа, 2014 пользователем DR.P 4 Ссылка на комментарий
Bobby Опубликовано 12 августа, 2014 Поделиться Опубликовано 12 августа, 2014 Супер! Ссылка на комментарий
DR.P Опубликовано 12 августа, 2014 Автор Поделиться Опубликовано 12 августа, 2014 Супер! Спасибо! Ссылка на комментарий
Bobby Опубликовано 12 августа, 2014 Поделиться Опубликовано 12 августа, 2014 Спасибо! Теперь найти техника хорошего и будет супер-пупер 4 Ссылка на комментарий
Фарид Расулыч Опубликовано 12 августа, 2014 Поделиться Опубликовано 12 августа, 2014 Михаил, на сколько эстетитически приемлем наддесневой уступ в данной ситуации? пациенты не возмущаются? Ссылка на комментарий
doktor vv Опубликовано 12 августа, 2014 Поделиться Опубликовано 12 августа, 2014 Теперь найти техника хорошего и будет супер-пупер А лучше нескольких хороших)) 1 Ссылка на комментарий
DR.P Опубликовано 12 августа, 2014 Автор Поделиться Опубликовано 12 августа, 2014 (изменено) Михаил, на сколько эстетитически приемлем наддесневой уступ в данной ситуации? пациенты не возмущаются?Да в данном кейсе наддесневой уступ, полировка до зеркального блеска, фиксация на вариолинк. Если смотреть на зубы в живую эстетически никаких проблем нет, границы не видны. На фото соглашусь пробивает (вспышка биполярная). Думаю в последующих работах погружать границу. Изменено 12 августа, 2014 пользователем DR.P Ссылка на комментарий
DR.P Опубликовано 12 августа, 2014 Автор Поделиться Опубликовано 12 августа, 2014 Теперь найти техника хорошего и будет супер-пупер Пока что срабатываемся с имеющимся техником, он старается, все фотоотчеты о проделанной работе он видит, делает свои выводы. Думаю это принесет результаты со временем, ну а если нет тогда вариант альтернативы Ссылка на комментарий
DR.P Опубликовано 12 августа, 2014 Автор Поделиться Опубликовано 12 августа, 2014 А лучше нескольких хороших))3 идеально на данный момент 2 Ссылка на комментарий
doktor vv Опубликовано 12 августа, 2014 Поделиться Опубликовано 12 августа, 2014 Хорошего техника днем с огнем не сыщешь(Я своих пытался воспитывать-сроки,аккуратность-все на уровне,но вот творческого подхода к работе так и не увиделПришлось на стороне искатьРабота техника это искусство-либо талант есть либо нет 1 Ссылка на комментарий
Bobby Опубликовано 12 августа, 2014 Поделиться Опубликовано 12 августа, 2014 Хорошего техника днем с огнем не сыщешь(Я своих пытался воспитывать-сроки,аккуратность-все на уровне,но вот творческого подхода к работе так и не увиделПришлось на стороне искатьРабота техника это искусство-либо талант есть либо нет Техники хорошие есть. Но дорого ((( 2 Ссылка на комментарий
DR.P Опубликовано 12 августа, 2014 Автор Поделиться Опубликовано 12 августа, 2014 Да(( есть у меня знакомый, все хочу с ним работу сделать, но так дорого, что пока придерживаю его до нового места работы Ссылка на комментарий
doktor vv Опубликовано 12 августа, 2014 Поделиться Опубликовано 12 августа, 2014 Техники хорошие есть. Но дорого (((Это полбеды,-иногда врач готов на неприлично дорого-а техник загружен или в отпускеБольшие работы лучше заранее обговаривать с ними Ссылка на комментарий
MenshikovDV Опубликовано 13 августа, 2014 Поделиться Опубликовано 13 августа, 2014 как то не айс в общем врем кор смотрибельней по фото по крайней мере. Ссылка на комментарий
dr.moskvichev Опубликовано 13 августа, 2014 Поделиться Опубликовано 13 августа, 2014 Я бы изменил пропорции, еше на этапе воскового планирования. И в проксимальных зонах чуть апикальнее уступ сформировал- технику было бы больше свободы... По моему техническая часть выполнена нормально.. А вот восковым проектом можно было бы еще поработать)) Ссылка на комментарий
r3yand Опубликовано 13 августа, 2014 Поделиться Опубликовано 13 августа, 2014 А в чем прикол делать именно имакс КАД ? Ссылка на комментарий
DR.P Опубликовано 13 августа, 2014 Автор Поделиться Опубликовано 13 августа, 2014 (изменено) А в чем прикол делать именно имакс КАД ?У нас с клиникой контракт с лабораторией, они идут очень доступно по цене для пациента, цены называть не буду. Так что ни какого прикола)) один из вариантов изготовления виниров, при достаточном мастерстве техника можно сделать очень красивую работу: техникой редуцирования. Изменено 13 августа, 2014 пользователем DR.P Ссылка на комментарий
komar56 Опубликовано 13 августа, 2014 Поделиться Опубликовано 13 августа, 2014 Мне не очень... Ссылка на комментарий
DR.P Опубликовано 13 августа, 2014 Автор Поделиться Опубликовано 13 августа, 2014 Мне не очень...Спасибо за отзыв. Поясните, что не понравилось. 1 Ссылка на комментарий
komar56 Опубликовано 13 августа, 2014 Поделиться Опубликовано 13 августа, 2014 Что не понравилось? Да тут рот в целом неопрятен поэтому работа теряется. Я понимаю, что "в живую" смотрится лучше, но как виниры во всем их понимании смотрятся не намного выгодней реставрации на 23... И вопрос будет по клыковому ведению слева. Как то так=) Ссылка на комментарий
DR.P Опубликовано 13 августа, 2014 Автор Поделиться Опубликовано 13 августа, 2014 (изменено) Что не понравилось? Да тут рот в целом неопрятен поэтому работа теряется. Я понимаю, что "в живую" смотрится лучше, но как виниры во всем их понимании смотрятся не намного выгодней реставрации на 23... И вопрос будет по клыковому ведению слева. Как то так=)А я с вами соглашусь, точки зрения по этим позициям у нас совпадают. Данные условия работы не позволяют выйти на более высокий технический уровень, как обсуждали выше, сделать можно лучше, но и стоимость технической части будет в разы дороже. Обязательно, думаю через пол года-год, мои работы будут радовать глаз больше. Изменено 13 августа, 2014 пользователем DR.P 2 Ссылка на комментарий
komar56 Опубликовано 13 августа, 2014 Поделиться Опубликовано 13 августа, 2014 Может и раньше чем год=) Ссылка на комментарий
DR.P Опубликовано 13 августа, 2014 Автор Поделиться Опубликовано 13 августа, 2014 Может и раньше Ссылка на комментарий
Рекомендуемые сообщения
Для публикации сообщений создайте учётную запись или авторизуйтесь
Вы должны быть пользователем, чтобы оставить комментарий
Создать аккаунт
Зарегистрируйте новый аккаунт в нашем сообществе. Это очень просто!
Регистрация нового пользователяВойти
Уже есть аккаунт? Войти в систему.
Войти