pause Опубликовано 24 июля, 2014 Поделиться Опубликовано 24 июля, 2014 Здравствуйте! 19.07 обратилась к терапевту по поводу зубной боли (14 зуб), иррадирующей в соседние зубы и нижнюю челюсть. Д-з: пульпит. В одно посещение были прочищены и запломбированы каналы (гуттаперча). 3 дня пила нимесил.На 6-ой день: небольшой отек в области правой носогубки, периодическая болезненность при надавливании. Консультация с заведующей платным отделением: зуб залечен в пределах допустимых отклонений. Материал за верхушкой - норма. Боль и дискомфорт уйдут. На снимке от 23.07 рентгенолог увидела проблемы и в 15 зубе: трещина и киста. Прошу прокомментировать снимки, если возможно. Спасибо. Ссылка на комментарий
red_butler Опубликовано 24 июля, 2014 Поделиться Опубликовано 24 июля, 2014 Снимки плохого качества, возьмите их в клинике в цифровом виде и залейте через радикал 1 Ссылка на комментарий
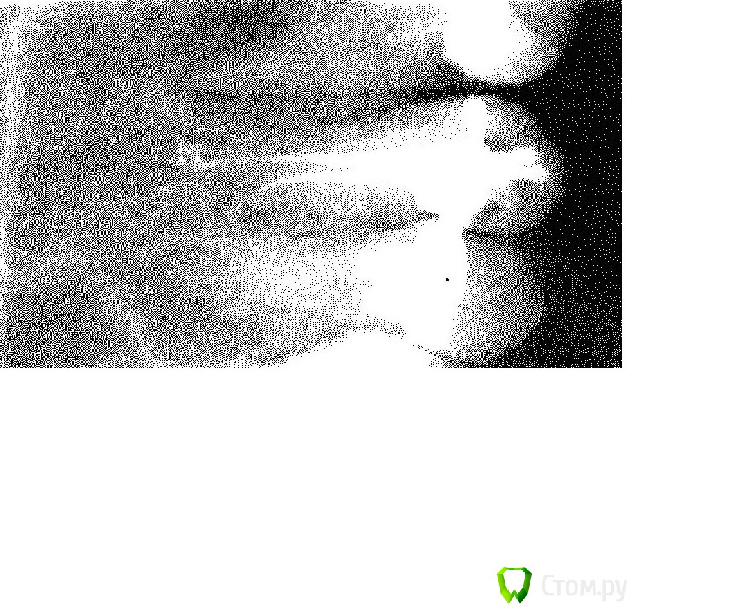
Scrabble Опубликовано 24 июля, 2014 Поделиться Опубликовано 24 июля, 2014 (изменено) В периапексе 15 явно не есть норма. Проверить его на витальность и прозондировать, сделать КТ. Диагнозы "киста" и "трещина" рентгенолог на основании этих снимков вообще не может поставить-киста определяется гистологически, а трещина-клинически(в случае, подобном Вашем) Изменено 24 июля, 2014 пользователем Scrabble 1 Ссылка на комментарий
Бобр Опубликовано 29 июля, 2014 Поделиться Опубликовано 29 июля, 2014 У 15 очаг периапекального воспаления. Силлер за апексом может вызывать болезненные ощущения, что замедляет процесс заживления после эндодонтического лечения, но в целом если все этапы соблюдены правильно в будущем на зубе это не скажется, все заживет. А как у вас болел 14 до лечения? Это ночная боль или какая-то другая? Ссылка на комментарий
Бобр Опубликовано 29 июля, 2014 Поделиться Опубликовано 29 июля, 2014 У 13 тоже не все гладко Ссылка на комментарий
Рекомендуемые сообщения
Для публикации сообщений создайте учётную запись или авторизуйтесь
Вы должны быть пользователем, чтобы оставить комментарий
Создать аккаунт
Зарегистрируйте новый аккаунт в нашем сообществе. Это очень просто!
Регистрация нового пользователяВойти
Уже есть аккаунт? Войти в систему.
Войти