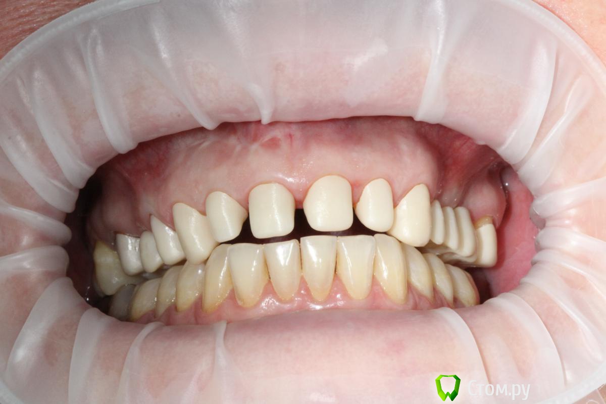
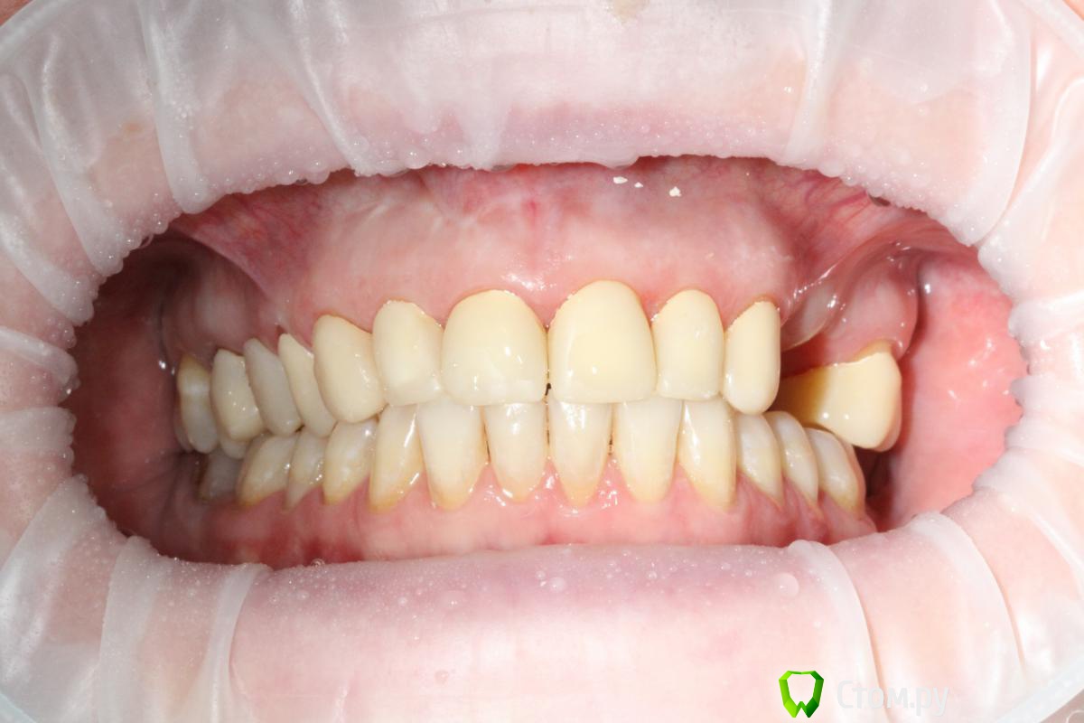
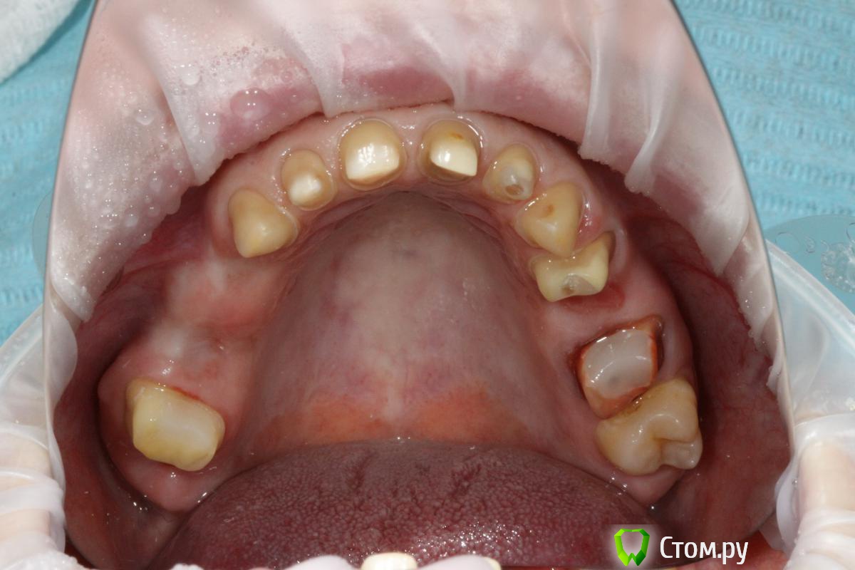
Евгений Ходыкин Опубликовано 7 июля, 2014 Поделиться Опубликовано 7 июля, 2014 Всем привет. Решил и в этом разделе тоже работку замостить. Сразу каюсь, не сделал фото "до". Из предыдыстории: пришла пациентка с отдельными проблемами на в.ч., в итоге решили переделать весь зубной ряд наверху Имплантаты отпали по причине общей соматики. В итоге ввиду наличия мостовидных протезов, выбор пал на ДЦ и во фронте и на жевательных. Прилагаю фото препа, примерки каркасов, времяшки, ну и финиш. ЗЫ: фоткать не умею, сразу говорю, яйцами не бросаться)) 9 Ссылка на комментарий
iБолит Опубликовано 7 июля, 2014 Поделиться Опубликовано 7 июля, 2014 Отлично, продолжайте в том же духе, нам интересны новые люди 2 Ссылка на комментарий
Евгений Ходыкин Опубликовано 7 июля, 2014 Автор Поделиться Опубликовано 7 июля, 2014 Отлично, продолжайте в том же духе, нам интересны новые люди Спасибо) Ссылка на комментарий
Чертков Александр Опубликовано 7 июля, 2014 Поделиться Опубликовано 7 июля, 2014 Хорошо. Мост конечно длинноват... Ссылка на комментарий
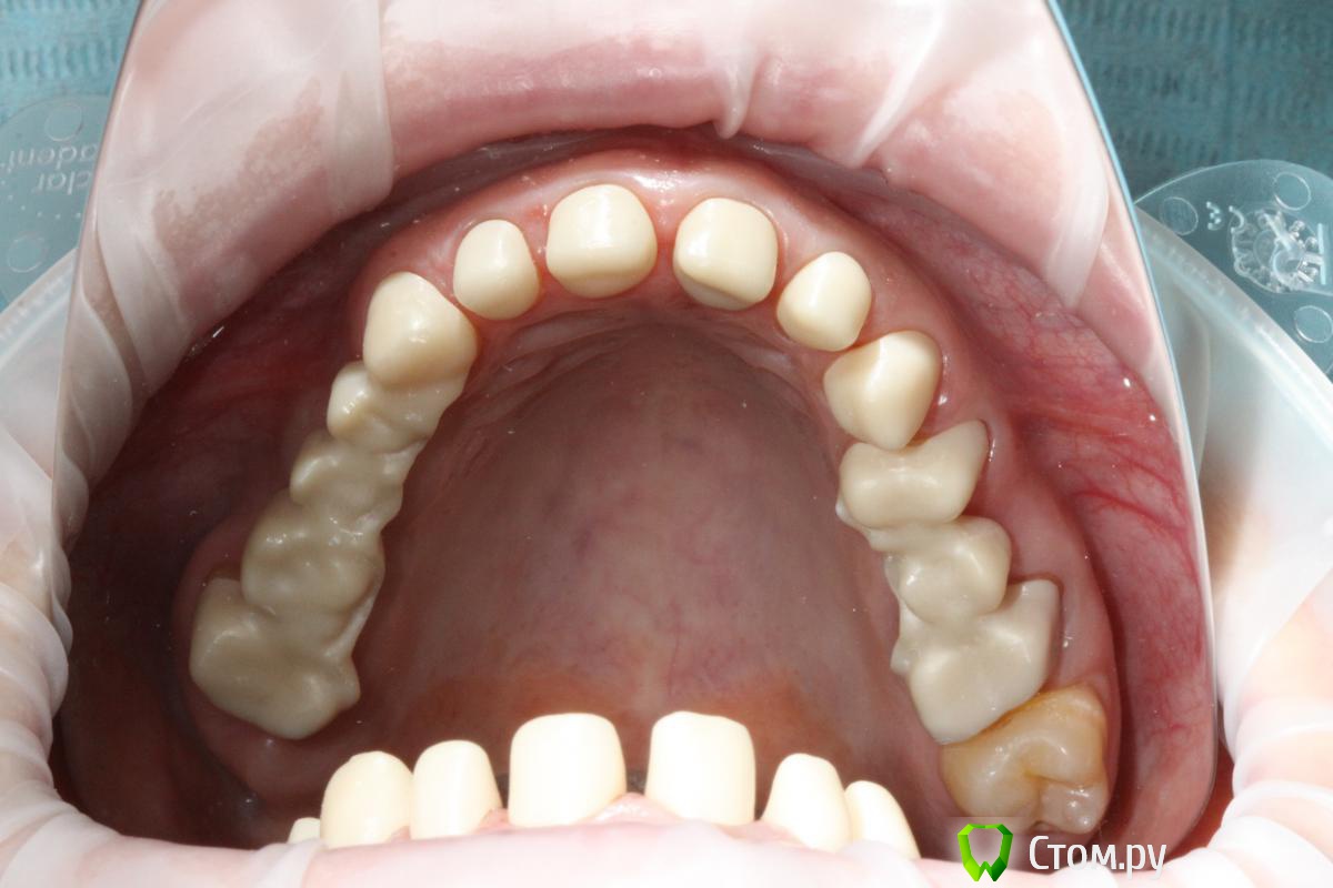
komar56 Опубликовано 7 июля, 2014 Поделиться Опубликовано 7 июля, 2014 Симпотично! На 27 вестибулярно границы изначально такие и были? Через время потом глянуть и желательно без слюны Ссылка на комментарий
Евгений Ходыкин Опубликовано 7 июля, 2014 Автор Поделиться Опубликовано 7 июля, 2014 Симпотично! На 27 вестибулярно границы изначально такие и были? Через время потом глянуть и желательно без слюны На 2.7 да, изначально Ссылка на комментарий
Евгений Ходыкин Опубликовано 7 июля, 2014 Автор Поделиться Опубликовано 7 июля, 2014 Хорошо. Мост конечно длинноват... Дак блин руки чесались аж жуть болты туда. И кости вагон был, и желание пациента, но... Ссылка на комментарий
Ст@ся Опубликовано 7 июля, 2014 Поделиться Опубликовано 7 июля, 2014 Дак блин руки чесались аж жуть болты туда. И кости вагон был, и желание пациента, но... а какие были противопоказания? 1 Ссылка на комментарий
Евгений Ходыкин Опубликовано 7 июля, 2014 Автор Поделиться Опубликовано 7 июля, 2014 а какие были противопоказания?Плохо переносит действие вазоконстрикторов... Ссылка на комментарий
Bobby Опубликовано 7 июля, 2014 Поделиться Опубликовано 7 июля, 2014 Нужно было имплантировать. Результат приятный вышел. Хорошая работа. Ссылка на комментарий
Евгений Ходыкин Опубликовано 7 июля, 2014 Автор Поделиться Опубликовано 7 июля, 2014 Нужно было имплантировать.Результат приятный вышел. Хорошая работа.Спасибо, Александр! Ссылка на комментарий
sydnik Опубликовано 7 июля, 2014 Поделиться Опубликовано 7 июля, 2014 красота,жаль с имплантами не прошло, тогда был бы полный феншуй Ссылка на комментарий
Евгений Ходыкин Опубликовано 7 июля, 2014 Автор Поделиться Опубликовано 7 июля, 2014 красота,жаль с имплантами не прошло, тогда был бы полный феншуйДа, с имплантами бы на два раздела можно бы было тем сделать... Ссылка на комментарий
Evikrol Опубликовано 7 июля, 2014 Поделиться Опубликовано 7 июля, 2014 У меня как то треснул циркониевый мост :-( Но в нужном месте, все переделывать не пришлось. Неужели можно такой протяжённости ДЦ мосты? Ссылка на комментарий
chervoncevdaniil Опубликовано 7 июля, 2014 Поделиться Опубликовано 7 июля, 2014 Скажите,а ретракцию одной нитью делали?или тут без нити оттиск снимался? Ссылка на комментарий
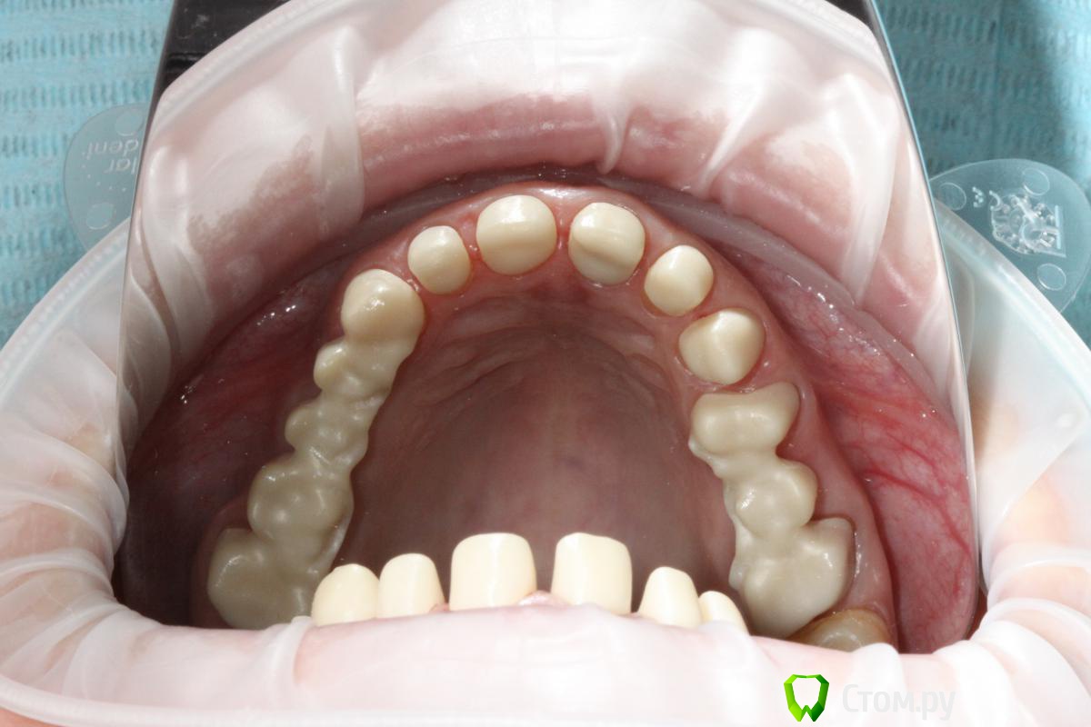
Евгений Ходыкин Опубликовано 7 июля, 2014 Автор Поделиться Опубликовано 7 июля, 2014 У меня как то треснул циркониевый мост :-( Но в нужном месте, все переделывать не пришлось. Неужели можно такой протяжённости ДЦ мосты?Нежелательно) Но если иных вариантов не остается. Гляньте какую "гирлянду" допом техники пустили. Ссылка на комментарий
Евгений Ходыкин Опубликовано 7 июля, 2014 Автор Поделиться Опубликовано 7 июля, 2014 Скажите,а ретракцию одной нитью делали?или тут без нити оттиск снимался?Одна нить была, 000, с ней и снимал. Ссылка на комментарий
M@estro Опубликовано 7 июля, 2014 Поделиться Опубликовано 7 июля, 2014 хорошая работа ! Ссылка на комментарий
zybnaya feya Опубликовано 7 июля, 2014 Поделиться Опубликовано 7 июля, 2014 Симпатично вышло если пациент мужского пола)). Фронт чисто мужской такой получился. Первый раз вижу циркониевый каркас с гирляндой! Прикольно! Пациент мужчина или женщина? Ссылка на комментарий
Mailze Опубликовано 8 июля, 2014 Поделиться Опубликовано 8 июля, 2014 Симпатично вышло если пациент мужского пола)). Фронт чисто мужской такой получился. Первый раз вижу циркониевый каркас с гирляндой! Прикольно! Пациент мужчина или женщина? Ставлю 20 копеек на то, что это леди. Ссылка на комментарий
Евгений Ходыкин Опубликовано 8 июля, 2014 Автор Поделиться Опубликовано 8 июля, 2014 Пациент женщина) Работа достаточно простая была, без изысков. Конечно можно было сделать намного интереснее. Спасибо за критикуЗЫ: гирлянду на цирконии делают при необходимости. По этим фото кстати не видно, небные поверхности у меня без облицовки, онли толщина каркаса... Ссылка на комментарий
Ст@ся Опубликовано 8 июля, 2014 Поделиться Опубликовано 8 июля, 2014 Препаровка с анестезией проводилась? Ссылка на комментарий
Евгений Ходыкин Опубликовано 8 июля, 2014 Автор Поделиться Опубликовано 8 июля, 2014 Препаровка с анестезией проводилась? Да с ней. Разведение 1:200000. Через некоторое время отмечала головокружение, тахикардию. Делали перерыв. И так с каждым живым зубом... Ссылка на комментарий
zybnaya feya Опубликовано 8 июля, 2014 Поделиться Опубликовано 8 июля, 2014 Пациент женщина) Работа достаточно простая была, без изысков. Конечно можно было сделать намного интереснее. Спасибо за критику ЗЫ: гирлянду на цирконии делают при необходимости. По этим фото кстати не видно, небные поверхности у меня без облицовки, онли толщина каркаса.. Да хорошая работа вышла,жалко что не мужЫг)))))) Ссылка на комментарий
RRM Опубликовано 8 июля, 2014 Поделиться Опубликовано 8 июля, 2014 хороший результат, гармонично получилось Ссылка на комментарий
Рекомендуемые сообщения
Для публикации сообщений создайте учётную запись или авторизуйтесь
Вы должны быть пользователем, чтобы оставить комментарий
Создать аккаунт
Зарегистрируйте новый аккаунт в нашем сообществе. Это очень просто!
Регистрация нового пользователяВойти
Уже есть аккаунт? Войти в систему.
Войти