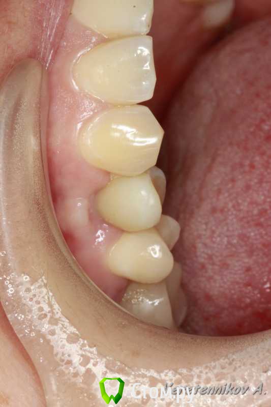
an_ver Опубликовано 1 июля, 2014 Поделиться Опубликовано 1 июля, 2014 Инд.абатмент+е-max 16 Ссылка на комментарий
M@estro Опубликовано 1 июля, 2014 Поделиться Опубликовано 1 июля, 2014 Лайк завтра поставлю ! Хорошая работа,Андрей ! Фотки только хочется ещё спустя какое -то время увидеть. Ну и моделировка чуть пузатее дистально получилась. 1 Ссылка на комментарий
iБолит Опубликовано 1 июля, 2014 Поделиться Опубликовано 1 июля, 2014 Инд.абатмент+е-maxХорошая работа Лайк завтра поставлю ! Кончились?) Ссылка на комментарий
sydnik Опубликовано 1 июля, 2014 Поделиться Опубликовано 1 июля, 2014 красота, с десной что- нибудь проводилось? Ссылка на комментарий
RRM Опубликовано 1 июля, 2014 Поделиться Опубликовано 1 июля, 2014 Хорошая работа. Какая история у десны? Ссылка на комментарий
an_ver Опубликовано 2 июля, 2014 Автор Поделиться Опубликовано 2 июля, 2014 Лайк завтра поставлю ! Хорошая работа,Андрей ! Фотки только хочется ещё спустя какое -то время увидеть. Ну и моделировка чуть пузатее дистально получилась. Да,так и есть...будем работать над этим Ссылка на комментарий
an_ver Опубликовано 2 июля, 2014 Автор Поделиться Опубликовано 2 июля, 2014 красота,с десной что- нибудь проводилось?Да.На этапе ФДМ, ролл в карман,потом времянка 2 Ссылка на комментарий
Рекомендуемые сообщения
Для публикации сообщений создайте учётную запись или авторизуйтесь
Вы должны быть пользователем, чтобы оставить комментарий
Создать аккаунт
Зарегистрируйте новый аккаунт в нашем сообществе. Это очень просто!
Регистрация нового пользователяВойти
Уже есть аккаунт? Войти в систему.
Войти