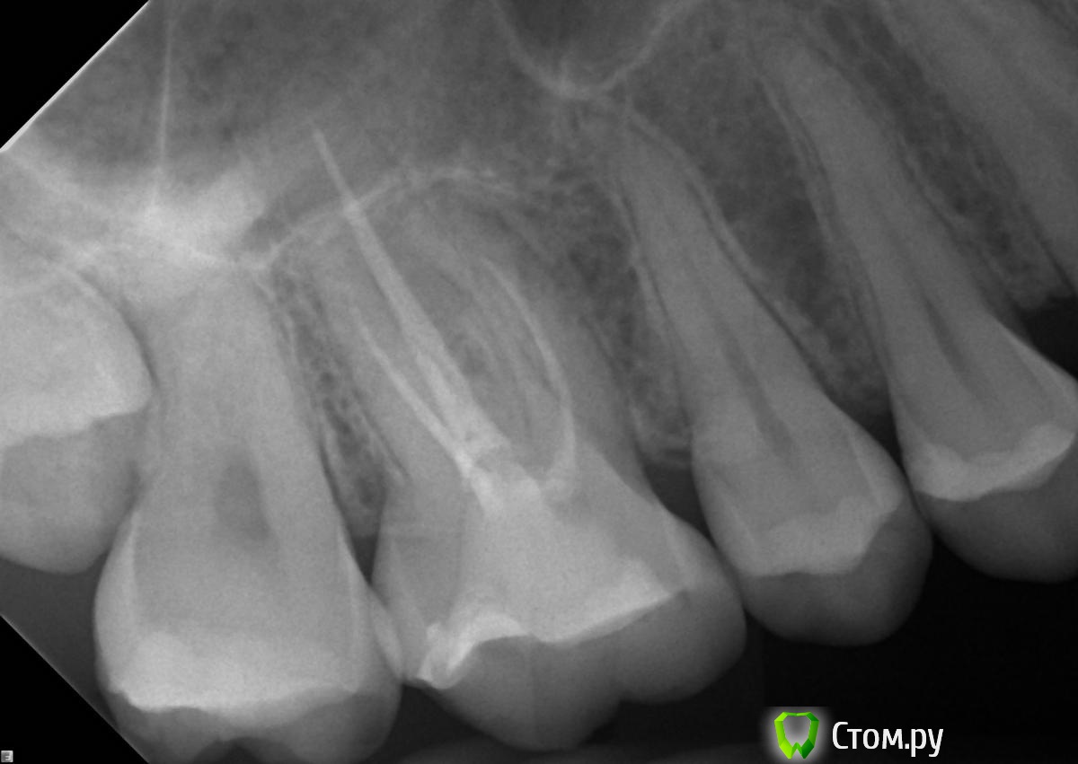
celovek Опубликовано 30 июня, 2014 Поделиться Опубликовано 30 июня, 2014 Буду очень благодарна за мнения специалистов по прилагаемой перелеченной 6-ке, с которой нужно что-то делать. Что бы вы порекомендовали? Огромное спасибо! Ссылка на комментарий
art700 Опубликовано 30 июня, 2014 Поделиться Опубликовано 30 июня, 2014 Это что после лечения? Ссылка на комментарий
sydnik Опубликовано 30 июня, 2014 Поделиться Опубликовано 30 июня, 2014 никогда, а снимок точно после лечения?если после лечения срочно менять команду врачей Ссылка на комментарий
DokDent Опубликовано 30 июня, 2014 Поделиться Опубликовано 30 июня, 2014 Буду очень благодарна за мнения специалистов по прилагаемой перелеченной 6-ке, с которой нужно что-то делать. Что бы вы порекомендовали? Огромное спасибо!прикрепите оба снимка-до и после перелечивания. Возможно Вы их перепутали Ссылка на комментарий
celovek Опубликовано 30 июня, 2014 Автор Поделиться Опубликовано 30 июня, 2014 прикрепите оба снимка-до и после перелечивания. Возможно Вы их перепуталиСпасибо, поищу снимок "до", но вряд ли он у меня есть. Зуб резорциненный, поэтому каналы, видимо, не удалось пройти (с микроскопом). Причем мне было сказано, что лечение проведено успешно и сумму я заплатила огромную за эту работу. Но надо как-то завершить лечение. Ссылка на комментарий
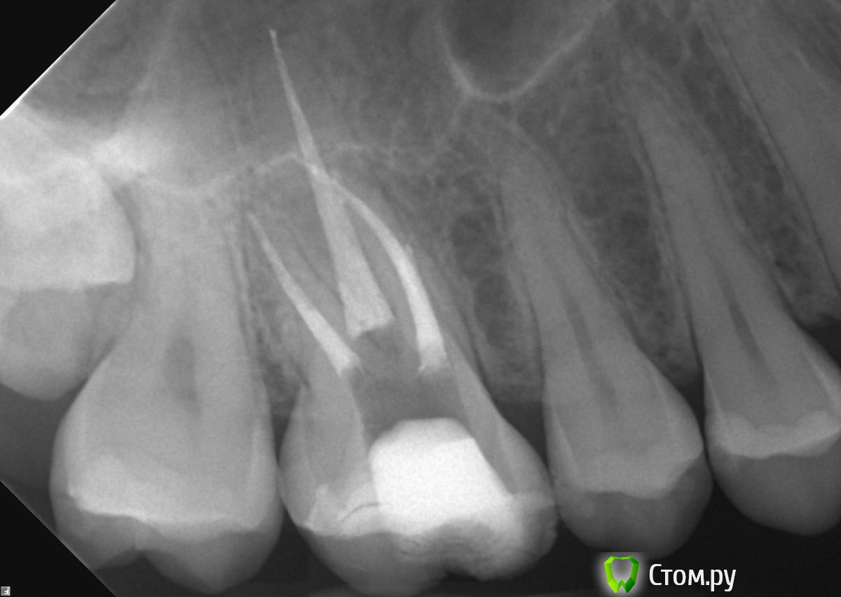
celovek Опубликовано 30 июня, 2014 Автор Поделиться Опубликовано 30 июня, 2014 Спасибо, поищу снимок "до", но вряд ли он у меня есть. Зуб резорциненный, поэтому каналы, видимо, не удалось пройти (с микроскопом). Причем мне было сказано, что лечение проведено успешно и сумму я заплатила огромную за эту работу. Но надо как-то завершить лечение.да, снимок "до" у меня только на рентгентовской пленке (не уверена, что его можно сканировать) Снимки, которые делал перелечивавший врач, мне не предоставлены. Прикрепленный снимок "после" делала в другом месте уже. Сейчас надо решить, ставить ли на это коронку и сколько она может прослужить. Ссылка на комментарий
celovek Опубликовано 30 июня, 2014 Автор Поделиться Опубликовано 30 июня, 2014 никогда,а снимок точно после лечения?если после лечения срочно менять команду врачейСпасибо, менять уже поздно. Теперь приходится расхлебывать последствия. А лечил, как бы, опытный эндодонтист, который работает уже в другой клинике. Мне жаль тех, кто может попасть в его руки. Но вроде он теперь не лечит, а заведует. Ссылка на комментарий
DokDent Опубликовано 30 июня, 2014 Поделиться Опубликовано 30 июня, 2014 Спасибо, менять уже поздно. Теперь приходится расхлебывать последствия. А лечил, как бы, опытный эндодонтист, который работает уже в другой клинике. Мне жаль тех, кто может попасть в его руки. Но вроде он теперь не лечит, а заведует. Как бы на работу под микроскопом непохоже. Ну если только доктор работал с завязанными глазами. Больше похоже что зуб прорезорцинили сейчас. На переднем щёчном корне уже имеются изменения,поэтому надо пытаться перелечить Ссылка на комментарий
celovek Опубликовано 30 июня, 2014 Автор Поделиться Опубликовано 30 июня, 2014 никогда,а снимок точно после лечения?если после лечения срочно менять команду врачейа не могли бы Вы поподробнее расписать, почему так категорично "никогда"? заранее спасибо Ссылка на комментарий
celovek Опубликовано 30 июня, 2014 Автор Поделиться Опубликовано 30 июня, 2014 Как бы на работу под микроскопом непохоже. Ну если только доктор работал с завязанными глазами. Больше похоже что зуб прорезорцинили сейчас. На переднем щёчном корне уже имеются изменения,поэтому надо пытаться перелечить да, это отдельная история, как он там работал. Посоветуйте, пожалуйста, что делать в моей ситуации? Снова искать специалиста с микроскопом? В клинике мне сказали, что еще одно вмешательство ни к чему уже не приведет. Лучше поставить коронку, посколько в таком виде зуб находится уже почти год. Ссылка на комментарий
DokDent Опубликовано 30 июня, 2014 Поделиться Опубликовано 30 июня, 2014 да, это отдельная история, как он там работал. Посоветуйте, пожалуйста, что делать в моей ситуации? Снова искать специалиста с микроскопом? В клинике мне сказали, что еще одно вмешательство ни к чему уже не приведет. Лучше поставить коронку, посколько в таком виде зуб находится уже почти год. Да, искать эндодонтиста-профессионала с микроскопом, если расчитываете сохранить зуб надолго. И консультироваться на месте. Ссылка на комментарий
celovek Опубликовано 30 июня, 2014 Автор Поделиться Опубликовано 30 июня, 2014 Да, искать эндодонтиста-профессионала с микроскопом, если расчитываете сохранить зуб надолго. И консультироваться на месте. Именно это я и сделала год назад. Итог лечения вы видите на снимке. Причем весь год я ходила в полной уверенности, что все там пролечено хорошо. Правда открылась только теперь, когда я накопила наконец-то сил и денег на коронку на него. Искать еще одного? А где гарантия, что он не будет таким же и не сделает хуже? Поймите, лечила не в шарашке какой-то, а в дорогой клинике с микроскопами, у, как думала, опытного специалиста. Если еще одно перелечивание без каких-либо гарантий на успех влетит мне в такую же копейку, как первое, я буду вынуждена работать только на этот зуб. Он получится просто бриллиантовый по суммам. Уже не говоря о возможной перкпективе его потери и установки импланта. Понимаете? Ссылка на комментарий
celovek Опубликовано 30 июня, 2014 Автор Поделиться Опубликовано 30 июня, 2014 Именно это я и сделала год назад. Итог лечения вы видите на снимке. Причем весь год я ходила в полной уверенности, что все там пролечено хорошо. Правда открылась только теперь, когда я накопила наконец-то сил и денег на коронку на него. Искать еще одного? А где гарантия, что он не будет таким же и не сделает хуже? Поймите, лечила не в шарашке какой-то, а в дорогой клинике с микроскопами, у, как думала, опытного специалиста. Если еще одно перелечивание без каких-либо гарантий на успех влетит мне в такую же копейку, как первое, я буду вынуждена работать только на этот зуб. Он получится просто бриллиантовый по суммам. Уже не говоря о возможной перкпективе его потери и установки импланта. Понимаете? поэтому и создала тему, чтобы хорошо взвесить все. Не могу для себя ничего окончательно решить пока но склоняюсь все же к предложенному в клинике сценарию - установке самой дешевой коронки наудачу. Все равно и так и так имплант маячит в перспективе. Но так хоть на время могу забыть о проблеме. А у меня их и без того полный рот еще Ссылка на комментарий
sydnik Опубликовано 30 июня, 2014 Поделиться Опубликовано 30 июня, 2014 (изменено) совет в вашем случаи только: один повторное эндолечение у грамотного спеца, которых в москве много, желательно работающего с микроскопом .Посмотрите на форуме работы врачей, свяжитесь через личку и будет вам счастье: ) Изменено 30 июня, 2014 пользователем sydnik Ссылка на комментарий
celovek Опубликовано 30 июня, 2014 Автор Поделиться Опубликовано 30 июня, 2014 совет в вашем случаи только: один повторное эндолечение у грамотного спеца, которых в москве много, желательно работающего с микроскопом .Посмотрите на форуме работы врачей, свяжитесь через личку и будет вам счастье: )Ок, тогда Ваши прогнозы за успех подобного тертичного перелечивания? Хотя бы примерно. Ссылка на комментарий
celovek Опубликовано 30 июня, 2014 Автор Поделиться Опубликовано 30 июня, 2014 (изменено) т Изменено 30 июня, 2014 пользователем celovek Ссылка на комментарий
sydnik Опубликовано 30 июня, 2014 Поделиться Опубликовано 30 июня, 2014 я не букмекерская контора , чтобы давать прогнозы : )вы просили совета, что делать -вы его получили, дальше все в ваших руках.Скажу только одно: после микроскопа каналы выглядят иначе. . 3 Ссылка на комментарий
celovek Опубликовано 30 июня, 2014 Автор Поделиться Опубликовано 30 июня, 2014 я не букмекерская контора , чтобы давать прогнозы : )вы просили совета, что делать -вы его получили, дальше все в ваших руках.Скажу только одно: после микроскопа каналы выглядят иначе. .это намек на то, что я придумала о том, что перелечивание каналов проведено с микроскопом? Причем тут контора? Вы даете рекомендацию по перелечиванию, значит, допускаете определенной процент его целесообразности и успеха. Я лишь интересуюсь этим процентом, чтобы понимать, на что иду в итоге. Действительно считаете мой вопрос не по адресу? Ссылка на комментарий
celovek Опубликовано 30 июня, 2014 Автор Поделиться Опубликовано 30 июня, 2014 это намек на то, что я придумала о том, что перелечивание каналов проведено с микроскопом? Причем тут контора? Вы даете рекомендацию по перелечиванию, значит, допускаете определенной процент его целесообразности и успеха. Я лишь интересуюсь этим процентом, чтобы понимать, на что иду в итоге. Действительно считаете мой вопрос не по адресу? почему в клинике мне в один голос говорят о том, что там уже ничего нет смысла делать? Тоже врут? Ссылка на комментарий
celovek Опубликовано 30 июня, 2014 Автор Поделиться Опубликовано 30 июня, 2014 почему в клинике мне в один голос говорят о том, что там уже ничего нет смысла делать? Тоже врут?И еще, я ценю Ваш совет, но хотелось бы понимать, на чем он основан. Хоть немного более развернутой оценки ситуации. Иначе сложно что-либо понять и решить, к сожалению Ссылка на комментарий
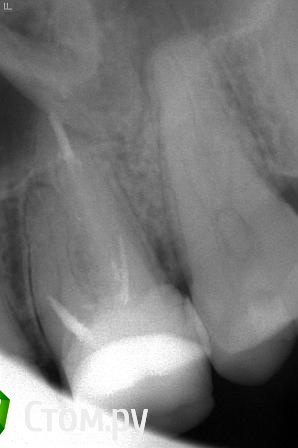
felicidade Опубликовано 30 июня, 2014 Поделиться Опубликовано 30 июня, 2014 Celovek, я не врач, но занимаюсь сейчас тем же, чем и вы: перепломбировкой своих ранее безобразно запломбированных каналов.Покажу вам 2 рентгена: до перепломбировки у эндодонта с микроскопом и, соответственно, после. Мне, как неспециалисту, разница между моим финальным рентгеном и вашим очевидна. Ссылка на комментарий
Scrabble Опубликовано 30 июня, 2014 Поделиться Опубликовано 30 июня, 2014 Я разделяю Ваше недоумение, но вариантов тут три: перелечивание зуба, удаление или динамическое наблюдение без протезирования.. Ссылка на комментарий
M@estro Опубликовано 1 июля, 2014 Поделиться Опубликовано 1 июля, 2014 2 Celovek. Совет номер один - успокойтесь ! И подойдите с холодной головой к поиску специалиста. В Москве их очень много,найти можно без особого труда,многие сидят на форуме. Если искать по вывеске - рискуете,впрочем- Вы на своём опыте уже всё поняли. Нужен доктор,которому Вы доверите. Человек хороший. Зуб в таком виде покрывать коронкой - нельзя. Здесь два варианта- перелечить и покрыть коронкой в итоге,либо- удаление и имплантация. Вариант -"оставить пока заболит" - не выглядит разумным. P.s. Вы спрашиваете процент , прогноз - это вопросы без ответа,тем более -"по фотографии" . Никто Вам гарантию на успех не даст. Но если Вы найдёте порядочного доктора- у него не поднимется рука с Вас повторно "срезать" деньги,не добившись результата. 2 Ссылка на комментарий
Рекомендуемые сообщения
Для публикации сообщений создайте учётную запись или авторизуйтесь
Вы должны быть пользователем, чтобы оставить комментарий
Создать аккаунт
Зарегистрируйте новый аккаунт в нашем сообществе. Это очень просто!
Регистрация нового пользователяВойти
Уже есть аккаунт? Войти в систему.
Войти