sunbeam Опубликовано 28 июня, 2014 Поделиться Опубликовано 28 июня, 2014 Добрый день, мне 26, в нужное время не был удален нижний молочный клык, сейчас ему практически пришел конец. После осмотра и анализа снимков врач пришла к выводу, что, учитывая мой возраст, узкую челюсть и скученность зубов, заставить зародыш подняться маловероятно. Вопрос, который наверняка поразит специалистов наивностью: на Ваш взгляд, возможно ли на базе зародыша создать замену молочному клыку, который в ближайшее время полностью утратит функциональность? Например, нарастить его каким-то образом, или установить на его базе протез.Зубы в целом качества не очень хорошего, эмаль слабая, на многих зубах уже есть видимые трещинки, "каналы узкие и извилистые". Благодарю за внимание, снимок прикрепляю. Ссылка на комментарий
diesel87 Опубликовано 28 июня, 2014 Поделиться Опубликовано 28 июня, 2014 Выложите панорамный снимок целиком 2 Ссылка на комментарий
sunbeam Опубликовано 29 июня, 2014 Автор Поделиться Опубликовано 29 июня, 2014 Прикрепила панорамный снимок Ссылка на комментарий
red_butler Опубликовано 29 июня, 2014 Поделиться Опубликовано 29 июня, 2014 Как давно сделан снимок? Ссылка на комментарий
sunbeam Опубликовано 29 июня, 2014 Автор Поделиться Опубликовано 29 июня, 2014 два дня назад Ссылка на комментарий
red_butler Опубликовано 29 июня, 2014 Поделиться Опубликовано 29 июня, 2014 Снимок плохого качества, но и по нему видно, что нужно удалять зубы мудрости, срочно лечить 3.6 зуб. И искать толкового ортодонта Ссылка на комментарий
samsonov Опубликовано 29 июня, 2014 Поделиться Опубликовано 29 июня, 2014 Ортодонты такие зубы умеют поставить на место). Ссылка на комментарий
sunbeam Опубликовано 29 июня, 2014 Автор Поделиться Опубликовано 29 июня, 2014 Правильно ли я понимаю, что зубы мудрости нужно удалить только на нижней челюсти? 3.6 на данный момент после потребления мармеладки и последующей эвакуации пломбы представляет собой 1,5 стенки зуба и солидных размеров углубление (ниже уровня десны) - выглядит достаточно жутко - надеюсь, что можно будет поставить коронку. Хотелось бы понять, какой метод реставрации может быть предпочтительным, исходя из снимка. Спасибо большое за внимание! Ссылка на комментарий
red_butler Опубликовано 30 июня, 2014 Поделиться Опубликовано 30 июня, 2014 И на нижней и на верхней. Сделайте прицельный rg-снимок и фото 3.6 зуба, если разрушен ниже уровня десны, то удалять Ссылка на комментарий
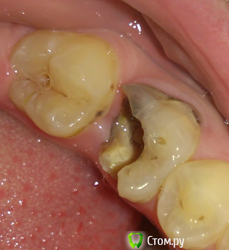
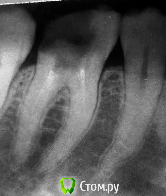
sunbeam Опубликовано 3 июля, 2014 Автор Поделиться Опубликовано 3 июля, 2014 Добрый день, прикрепляю прицельный снимок 3.6 и фото, насколько его удалось сделать. Врач предложила перепломбировать каналы и восстановить зуб пломбой.В моем представлении такой большой зуб пломбой восстановить несколько ненадежно,нужен по крайней мере штифт, чтобы пломба не отвалилась из-за мармеладки, как в прошлый раз. Так как я не специалист, очень хотелось бы мнений. Ссылка на комментарий
red_butler Опубликовано 4 июля, 2014 Поделиться Опубликовано 4 июля, 2014 Перелечить корневые каналы, далее корневая вкладка и коронка. И откладывать уже не куда 1 Ссылка на комментарий
IvanK Опубликовано 4 июля, 2014 Поделиться Опубликовано 4 июля, 2014 + 1 , еще чуть-чуть и на удаление Ссылка на комментарий
sunbeam Опубликовано 10 июля, 2014 Автор Поделиться Опубликовано 10 июля, 2014 Добрый день, зуб все - таки придется удалить так как ранее мне писали о необходимости удаления зубов мудрости, хотелось бы понять, можно ли за 1 раз удалить 3.6 и 3.8? Ссылка на комментарий
red_butler Опубликовано 10 июля, 2014 Поделиться Опубликовано 10 июля, 2014 хотелось бы понять, можно ли за 1 раз удалить 3.6 и 3.8? даже нужно, под одной анестезией все сделают 1 Ссылка на комментарий
sunbeam Опубликовано 10 июля, 2014 Автор Поделиться Опубликовано 10 июля, 2014 спасибо за быстрый ответ, еще вопрос - будет ли иметь влияние на операцию / заживление тот факт, что я сейчас прохожу курс антибиотиков (доксициклин, офлоксацин, хемомицин)? поддержка хилак форте и иммуномодуляторы Ссылка на комментарий
IvanK Опубликовано 10 июля, 2014 Поделиться Опубликовано 10 июля, 2014 Удаляйте, все будет хорошо Ссылка на комментарий
red_butler Опубликовано 10 июля, 2014 Поделиться Опубликовано 10 июля, 2014 спасибо за быстрый ответ, еще вопрос - будет ли иметь влияние на операцию / заживление тот факт, что я сейчас прохожу курс антибиотиковСчитайте это антибиотико профилактикой ))) 1 Ссылка на комментарий
Рекомендуемые сообщения
Для публикации сообщений создайте учётную запись или авторизуйтесь
Вы должны быть пользователем, чтобы оставить комментарий
Создать аккаунт
Зарегистрируйте новый аккаунт в нашем сообществе. Это очень просто!
Регистрация нового пользователяВойти
Уже есть аккаунт? Войти в систему.
Войти