lizza Опубликовано 25 июня, 2014 Поделиться Опубликовано 25 июня, 2014 Добрый вечер! Я девушка мне 26 лет. Сегодня была в стоматологии. Диагноз неутешителен: 2 свища из-за них надо удалить 36-37 зубы и вставлять импланты. Свищи появились постепенно...около 6 месяцев...думала, что они пройдут, а оно вот как оказалось. Уважаемые доктора, прикладываю свой снимок и хочу спросить Ваше авторитетное мнение, неужели ничего нельзя сделать, кроме как удалять? Ссылка на комментарий
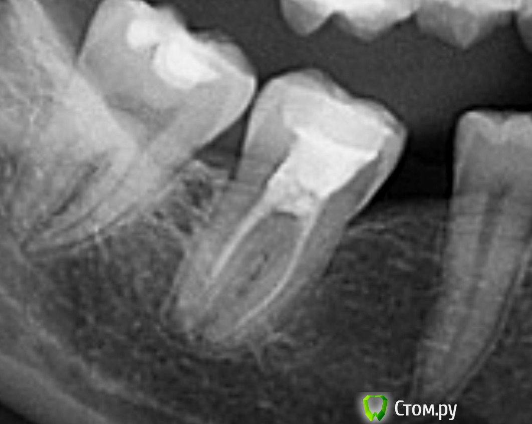
dr-krasnov Опубликовано 25 июня, 2014 Поделиться Опубликовано 25 июня, 2014 (изменено) Сделал покрупнее, в 1 квадранте есть сомнительный участок, выделил красным, по 36 и 37, много раз видел как в подобных ситтуациях зубы перелечивались. Это сложно, требует высокой квалификации эндодонтиста и наличия микроскопа. При любом варианте лечения, Вам показано КЛКТ челюстно-лицевой области. А ну и есть лишние 8 ки. http://s019.radikal.ru/i637/1406/7e/0388738e7075.jpg Изменено 25 июня, 2014 пользователем dr-krasnov Ссылка на комментарий
lizza Опубликовано 25 июня, 2014 Автор Поделиться Опубликовано 25 июня, 2014 (изменено) Сделал покрупнее, в 1 квадранте есть сомнительный участок, выделил красным, по 36 и 37, много раз видел как в подобных ситтуациях зубы перелечивались. Это сложно, требует высокой квалификации эндодонтиста и наличия микроскопа. При любом варианте лечения, Вам показано КЛКТ челюстно-лицевой области. А ну и есть лишние 8 ки. Спасибо, за то что дали надежду. Буду теперь искать стоматолога который возьмется за это дело.При удалении какой должен быть микроскоп?КЛКТ мне не назначили, возможно ли лечение без него?А что сомнительного в участоке в 1 квадранте? Мне об этом ничего не сказали.Почему 8 ки лишние?И еще вопрос:Можно ли подождать с лечением 3 недели? Стоматолог которого советуют сейчас в отпуске. Изменено 25 июня, 2014 пользователем lizza Ссылка на комментарий
dr-krasnov Опубликовано 25 июня, 2014 Поделиться Опубликовано 25 июня, 2014 Спасибо, за то что дали надежду. Буду теперь искать стоматолога который возьмется за это дело.При удалении какой должен быть микроскоп?КЛКТ мне не назначили, возможно ли лечение без него?А что сомнительного в участоке в 1 квадранте? Мне об этом ничего не сказали.Почему 8 ки лишние? Отвечу по своей части, на другие вопросы клиницисты лучше меня ответят. КЛКТ нужно чтобы быть уверенным, что ничего не пропущено. знать анатомию каналов в случае перелечивания и кости в случае имплантологического лечения. То что вам ничего не сказали еще ничего не значит. Я тоже не уверен, что там есть изменения, поэтому рекомендую КЛКТ сделать. Ссылка на комментарий
samsonov Опубликовано 25 июня, 2014 Поделиться Опубликовано 25 июня, 2014 Скажем так, наличие опыта и микроскопа увеличивает вероятность успешного перелечивания корневых каналов, отсутствие микроскопа не исключает возможности излечения. 4 Ссылка на комментарий
Bier Опубликовано 25 июня, 2014 Поделиться Опубликовано 25 июня, 2014 наверху проблемы у 16з 100% есть. Зубы можно перелечить с большой вероятностью успеха. В умелых руках конечно. Ссылка на комментарий
art700 Опубликовано 25 июня, 2014 Поделиться Опубликовано 25 июня, 2014 По-мойму проблема в 16, кт, либо прицельный для начала бы сделать Ссылка на комментарий
Korel Опубликовано 26 июня, 2014 Поделиться Опубликовано 26 июня, 2014 При удалении какой должен быть микроскоп? Никакой. Другой вопрос, мож. ещё рано удалять. КЛКТ мне не назначили, возможно ли лечение без него? Да. но значит. удобнее и информативнее с ним т.к. можно "повертеть" Ваши зубки со всех сторон и рассмотреть каждый мм. А что сомнительного в участоке в 1 квадранте? http://s006.radikal.ru/i214/1406/3b/b9dc1a606cb6.jpg 16 нужд. в перелечке, которой можно заняться после решения проблем с 36-37 Почему 8 ки лишние? Пока с этим можно не заморачиваться , и решать этот вопрос после решения вопросов с 36-37 и 16 Можно ли подождать с лечением 3 недели? Свищи появились постепенно...около 6 месяцев...думала, что они пройдут, Ничего не напоминает? По этому вопросу надо смотреть ОЧНО. Ссылка на комментарий
DokDent Опубликовано 26 июня, 2014 Поделиться Опубликовано 26 июня, 2014 а 4.7 тоже хочет перелечиться 1 Ссылка на комментарий
lizza Опубликовано 7 августа, 2014 Автор Поделиться Опубликовано 7 августа, 2014 Сходила на прием в несколько стоматологий. В одной из них мне пообещали хороший результат. Микроскопа как все советовали, в этой клинике не оказалось, но меня заверили, что врач на этом специализируется, что он практически каждый день лечит такие случаи и у них закуплена спец.технология по лечению таких случаев. С момента начала лечения, прошло около 4-х недель. Мои два свища рассосальсь под воздействием лекарства, сейчас спустя 2 недели после постановки пломб, проводя языком по десне, она твердая и гладкая, как я уже писала поставили постоянные пломбы и сделали снимки. Врач говорит, что надо через полгода контрольные снимки делать и проверить как будет востанавливаться кость. Спасибо всем докторам, кто тут давал консультации и вселил в меня надежду 1 Ссылка на комментарий
red_butler Опубликовано 7 августа, 2014 Поделиться Опубликовано 7 августа, 2014 не сочтите за труд - выложите снимки во время и после лечения Ссылка на комментарий
Рекомендуемые сообщения
Для публикации сообщений создайте учётную запись или авторизуйтесь
Вы должны быть пользователем, чтобы оставить комментарий
Создать аккаунт
Зарегистрируйте новый аккаунт в нашем сообществе. Это очень просто!
Регистрация нового пользователяВойти
Уже есть аккаунт? Войти в систему.
Войти