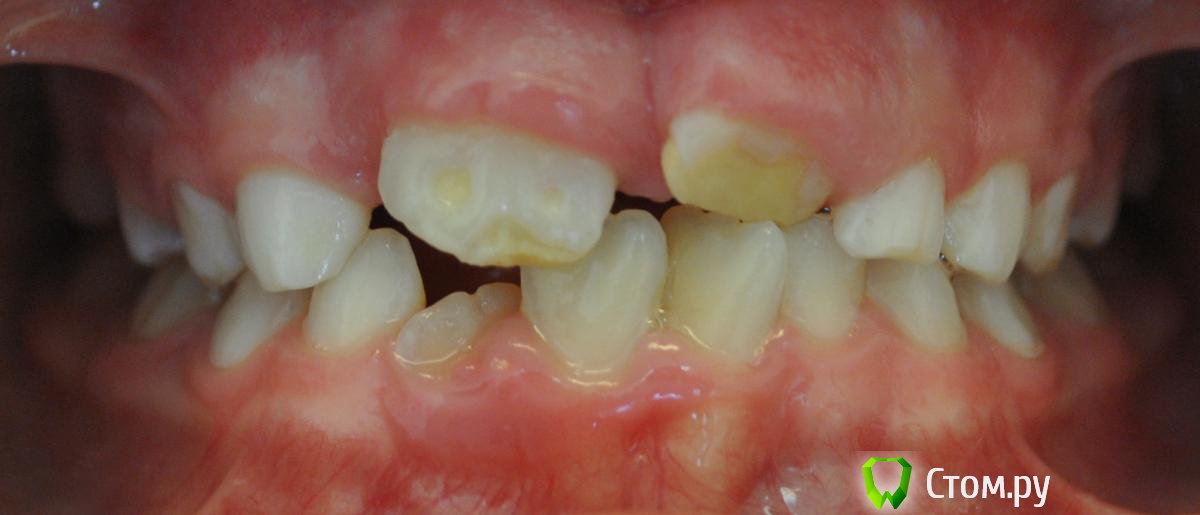
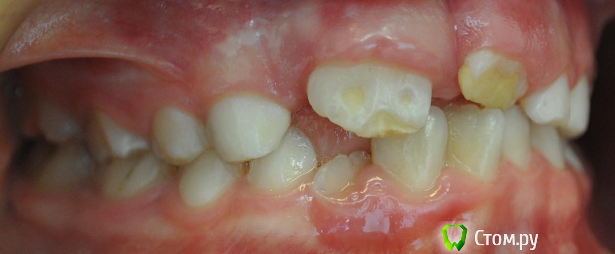
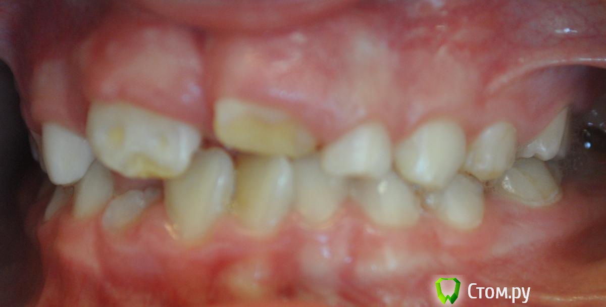
egoism Опубликовано 22 июня, 2014 Поделиться Опубликовано 22 июня, 2014 (изменено) никитин а.1bmp.bmpДорогие колеги, нужна Ваша помощь!Ваше мнение по увиденому... Изменено 22 июня, 2014 пользователем egoism Ссылка на комментарий
Настасья Весенняя Опубликовано 22 июня, 2014 Поделиться Опубликовано 22 июня, 2014 Несовершенный амелогенез? 1 Ссылка на комментарий
Джима Опубликовано 22 июня, 2014 Поделиться Опубликовано 22 июня, 2014 Двойки верхние тоже, смотрю, нехорошие будут.Рем-терапия, гигиена и всё такое. Можно рем-гели вместо каппы в трейнер/активатор какой-то. Вырастет большой - ортодонтия, если нужна будет ещё, и виниры.Важно сейчас объяснить парню, что с зубами у него неприятность, что ему с этим жить, и что он диету соблюдать и за зубами ухаживать должен втрое усерднее, чем друзья-ровесники. Иначе он рискует их лишиться (зубов в смысле).Моляры постоянные хорошие?Вылечить кариес в 54 (55? 63?64? может, кажется).Пацанчик симпатичный. Ссылка на комментарий
egoism Опубликовано 22 июня, 2014 Автор Поделиться Опубликовано 22 июня, 2014 Он носил трейнеры с 5 лет;( Ссылка на комментарий
Skip Опубликовано 22 июня, 2014 Поделиться Опубликовано 22 июня, 2014 Он носил трейнеры с 5 лет;( А почему пренебрегаете активными пластинками, в этом возрасте, отдавая предпочтение ортодонтическим суррогатам (трейнеры)? Ваше мнение по увиденому... Пацанчик симпатичный. Подскажите по диагнозу и плану лечения!! А для этого нужно чуть больше информации, например ТРГ, ОПТГ, модели... Ссылка на комментарий
Skip Опубликовано 22 июня, 2014 Поделиться Опубликовано 22 июня, 2014 Извиняюсь, я перепутал это с разделом ортодонтии))).., старый становлюсь)) Ссылка на комментарий
Джима Опубликовано 22 июня, 2014 Поделиться Опубликовано 22 июня, 2014 А почему пренебрегаете активными пластинками, в этом возрасте, отдавая предпочтение ортодонтическим суррогатам (трейнеры)?Не знаю, что подразумевается под активными пластинками, лишь бы там не было металла и любого другого жёсткого, агрессивного и постоянно контактирующего с эмалью материала - уж больно эмаль ненадёжная. В данном конкретном случае, имхо, исправление положения зубов может и подождать. 2 Ссылка на комментарий
Джима Опубликовано 22 июня, 2014 Поделиться Опубликовано 22 июня, 2014 Извиняюсь, я перепутал это с разделом ортодонтии))).., старый становлюсь))нет уж, нет уж зашли, так оставайтесь. Ссылка на комментарий
Skip Опубликовано 23 июня, 2014 Поделиться Опубликовано 23 июня, 2014 нет уж, нет уж зашли, так оставайтесь. 1 Ссылка на комментарий
Beznika Опубликовано 25 июня, 2014 Поделиться Опубликовано 25 июня, 2014 эрозия эмали или аплазия. Брекетист нужен однакО + пролечить всё это дело. \ капы с рем-гелем...питание, диета Ссылка на комментарий
Рекомендуемые сообщения
Для публикации сообщений создайте учётную запись или авторизуйтесь
Вы должны быть пользователем, чтобы оставить комментарий
Создать аккаунт
Зарегистрируйте новый аккаунт в нашем сообществе. Это очень просто!
Регистрация нового пользователяВойти
Уже есть аккаунт? Войти в систему.
Войти