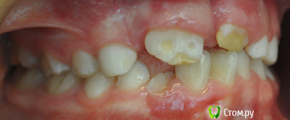
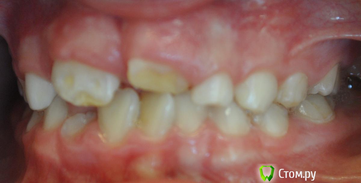
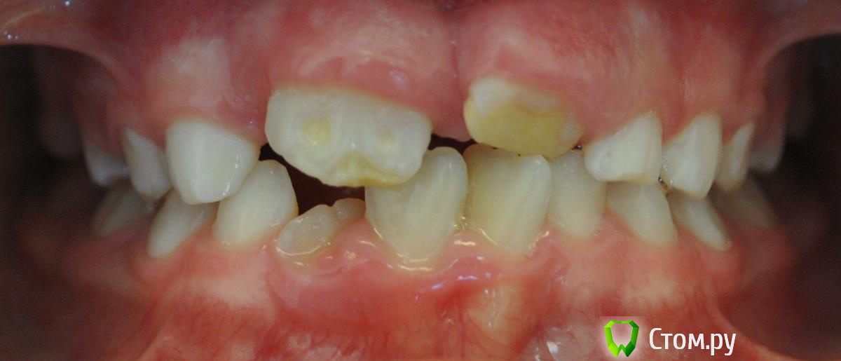
egoism Опубликовано 22 июня, 2014 Поделиться Опубликовано 22 июня, 2014 Дорогие колеги, буду очень признательна за помощь начинающему ортодонту :hi:Ко мне пришел пациент 7.5лет с таой вот ситуйцией!помогите пожалуйста с планом лечения.... Ссылка на комментарий
Премоляр Опубликовано 22 июня, 2014 Поделиться Опубликовано 22 июня, 2014 Сделать ОПТГ,посмотреть расположение 12.22Сейчас показаний к ортолечению нет. Наблюдение. Возможны удаления мол.зубов по результатам диагностики ОПТГ Ссылка на комментарий
egoism Опубликовано 22 июня, 2014 Автор Поделиться Опубликовано 22 июня, 2014 ОПТГ выложила внизу смотрите! А как же скученность? Ссылка на комментарий
Премоляр Опубликовано 22 июня, 2014 Поделиться Опубликовано 22 июня, 2014 А что скученность,коллега? Разве в сменном прикусе это показание к ортолечению? Чего вы сможете добиться, начав лечение пластинками сейчас? Ничего. Ссылка на комментарий
egoism Опубликовано 22 июня, 2014 Автор Поделиться Опубликовано 22 июня, 2014 Ну винтом например расширить... Ссылка на комментарий
Skip Опубликовано 22 июня, 2014 Поделиться Опубликовано 22 июня, 2014 Чего вы сможете добиться, начав лечение пластинками сейчас? Ничего. Не соглашусь. Ссылка на комментарий
Мартовский Опубликовано 23 июня, 2014 Поделиться Опубликовано 23 июня, 2014 А что скученность,коллега? Разве в сменном прикусе это показание к ортолечению? Чего вы сможете добиться, начав лечение пластинками сейчас? Ничего.Был у коллеги в Бостоне, она в основном только этим и занимается - ведет подростков на пластинках для модификации роста. Молочные клыки не удаляет, по Хотцу не ведет, основной заработок именно на этом, а не на брекетах. Так что вы не правы. Ссылка на комментарий
Премоляр Опубликовано 23 июня, 2014 Поделиться Опубликовано 23 июня, 2014 Ок. Можно другим путем- а имеет ли смысл начинать лечение именно сейчас? Если какой-то ортодонт ведет пациентов на пластинках-это должно о чем то говорить? В России в поликлиниках с советских времен на пластинках с 6 лет пационтов лечили,и что? Не потому,что есть показания. Одной пластинкой пытались исправить скученность резцов. Ребенок насил пластинку года 2. Потом,при прорезывании клыков, делали новую. Получалось, ребенок с 6 до 10-11 лет находился на ортолечении. Есть ли в этом смысл? Только лишь тогда, когда изначально имеется недостаточность сагитального или трансверзального роста. Повторюсь-скученность сама по себе НЕ явл.показанием к ортолечению в данном возрасте.Коллега,на основании чего я неправ? Только лишь потому,что ваш коллега лечит пластинками детей? (Основной заработок на этом-это ключевая фраза). Какой рост необходимо "модифицировать" в данном случае? 1 Ссылка на комментарий
Фазлиев Азат Ильдусович Опубликовано 23 июня, 2014 Поделиться Опубликовано 23 июня, 2014 "Только лишь тогда, когда изначально имеется недостаточность сагитального или трансверзального роста " не могу не согласиться Ссылка на комментарий
Monkey Опубликовано 23 июня, 2014 Поделиться Опубликовано 23 июня, 2014 такое ощущение, что 11 и 21 - это слившиеся 11-12 и 21-22.Первое что сделать- ОПТГ. Если мое предположение о слившихся зубах ошибочно, то я бы поставила с у-образным на верхнюю челюсть, а месяцев через 5 подключила и нижнюю. А если зубы слившиеся - тут уже другое дело. Ссылка на комментарий
Monkey Опубликовано 23 июня, 2014 Поделиться Опубликовано 23 июня, 2014 Увидела ОПТГ. Расширяйте, тут уже нечего ждать Ссылка на комментарий
egoism Опубликовано 23 июня, 2014 Автор Поделиться Опубликовано 23 июня, 2014 Ситуация такова что верхний резец находится в блоке и таким образом тормозит рост ну я так понимаю! И пришла к выводу что ставить на верхнюю пластинки с трехмерным винтом чтоб разширить в боковом и удлинить в переднем и разобщить с помощью накладок и наблюдать за нижней... Либо же второй вариант твин блок... Ссылка на комментарий
Yana guapa Опубликовано 24 июня, 2014 Поделиться Опубликовано 24 июня, 2014 Ситуация такова что верхний резец находится в блоке и таким образом тормозит рост ну я так понимаю! И пришла к выводу что ставить на верхнюю пластинки с трехмерным винтом чтоб разширить в боковом и удлинить в переднем и разобщить с помощью накладок и наблюдать за нижней... Либо же второй вариант твин блок... В связи с работой в поликлинике, на пластинках мне работать приходится... и результат, конечно же есть. Но назначать их надо по показаниям. В данном случае - дефицит места есть, но корни постоянных зубов только начали формироваться, поэтому если и планируется лечение на съемном аппарате, то я бы подождала. Основные рекомендации сейчас - грубая пища, следить за правильным дыханием, глотанием... Обратного перекрытия как такового здесь нет, а значит и разобщения не надо. Достаточно будет обычной пластинки с винтом. А Твин-блоки Вы для чего хотите использовать, с какой целью?? Ссылка на комментарий
Викторовна575 Опубликовано 25 июня, 2014 Поделиться Опубликовано 25 июня, 2014 Слившихся зубов здесь нет,есть гипоплазия эмали из-за этого режущий край неровный создается впечатление на снимке 2-х слившихся зубов,есть дистальный наклон коронки 11 зуба-из-за этого дефицит места для 12,когда начнет прорезаться 12 ,он займет место53(корень там уже рассасываетя),я бы сделала Шварца с рукообразными к 11,21 +винт,на н.ч тоже Шварца с винтом)это для начала,в дальнейшем по ситуации Ссылка на комментарий
egoism Опубликовано 25 июня, 2014 Автор Поделиться Опубликовано 25 июня, 2014 Спасибо, за советы Ссылка на комментарий
Рекомендуемые сообщения
Для публикации сообщений создайте учётную запись или авторизуйтесь
Вы должны быть пользователем, чтобы оставить комментарий
Создать аккаунт
Зарегистрируйте новый аккаунт в нашем сообществе. Это очень просто!
Регистрация нового пользователяВойти
Уже есть аккаунт? Войти в систему.
Войти