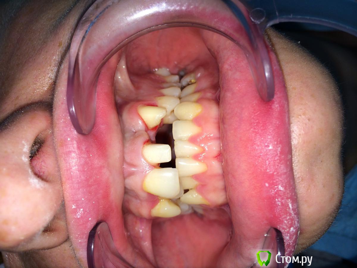
DimaKoleso Опубликовано 21 июня, 2014 Поделиться Опубликовано 21 июня, 2014 Пациент 20 лет, 30 числа идет в армию. 12 удален просто из-за того, что начал болеть, лечить не пробовал. Хочет просто закрыть дырку между зубами. Зубы витальные. Требуется советы и критика. Ссылка на комментарий
Stomart Опубликовано 21 июня, 2014 Поделиться Опубликовано 21 июня, 2014 . Требуется советы и критика.Переворачивайте фото 2 Ссылка на комментарий
DimaKoleso Опубликовано 21 июня, 2014 Автор Поделиться Опубликовано 21 июня, 2014 Не получилось) 1 Ссылка на комментарий
DokDent Опубликовано 21 июня, 2014 Поделиться Опубликовано 21 июня, 2014 Не получилось)Я Вам помогу 1 Ссылка на комментарий
DmitrySH Опубликовано 21 июня, 2014 Поделиться Опубликовано 21 июня, 2014 немного оффтопну, а 36, что там с ним? Ссылка на комментарий
DimaKoleso Опубликовано 21 июня, 2014 Автор Поделиться Опубликовано 21 июня, 2014 немного оффтопну, а 36, что там с ним?полость, немалых размеров. Лечить отказался, ссылаясь на то, что не беспокоит. Что-то доказать практически бесполезно Ссылка на комментарий
Art 7 Опубликовано 21 июня, 2014 Поделиться Опубликовано 21 июня, 2014 С таким то прикусом надо было Мэриленд делать и ждать пока созреет на имплантацию а не точить два интактных зуба. Ссылка на комментарий
4ebstom Опубликовано 22 июня, 2014 Поделиться Опубликовано 22 июня, 2014 (изменено) Если уж для себя решили что мост и обточили-даже не знаю что Вам посоветовать.Фиксация и удачной службы. Изменено 22 июня, 2014 пользователем 4ebstom Ссылка на комментарий
DimaKoleso Опубликовано 22 июня, 2014 Автор Поделиться Опубликовано 22 июня, 2014 Доктора, я ему вообще говорил, зачем ставить перед армией, посоветовал придти после армии и вплотную заняться зубами. Он сказал, что не хочет ничего делать, только закрыть дырку. О какой имплантации в таком случае может идти речь? Ссылка на комментарий
Ibulat_1986 Опубликовано 23 июня, 2014 Поделиться Опубликовано 23 июня, 2014 запил без ниток что ли? причем субгингивальный. Ссылка на комментарий
Рекомендуемые сообщения
Для публикации сообщений создайте учётную запись или авторизуйтесь
Вы должны быть пользователем, чтобы оставить комментарий
Создать аккаунт
Зарегистрируйте новый аккаунт в нашем сообществе. Это очень просто!
Регистрация нового пользователяВойти
Уже есть аккаунт? Войти в систему.
Войти