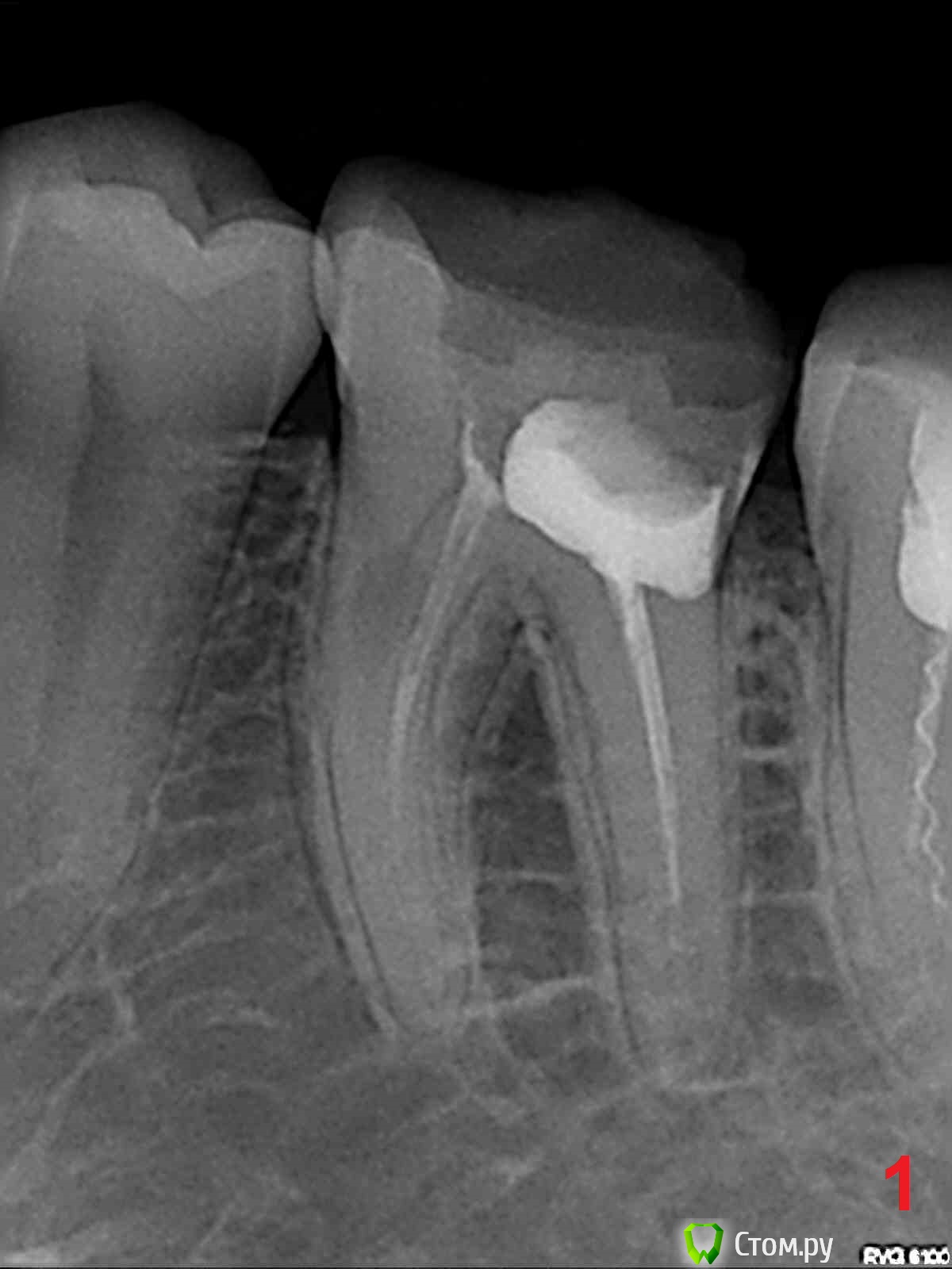
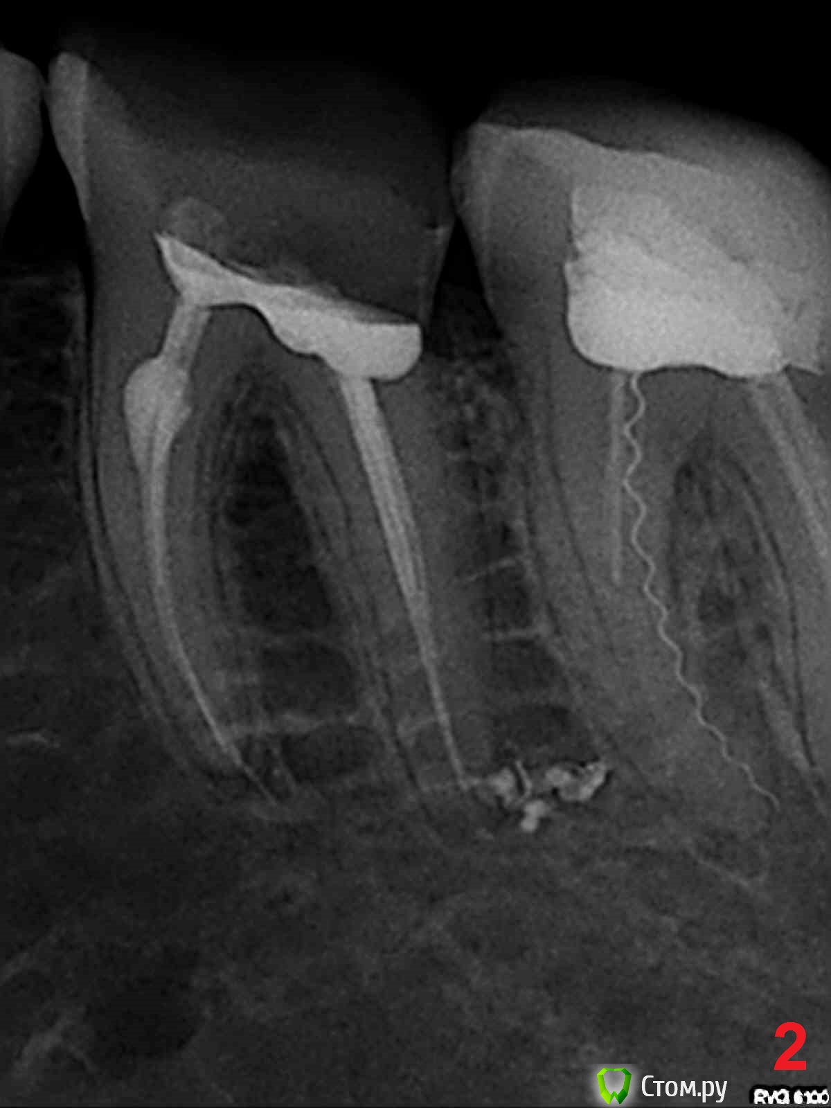
edw Опубликовано 16 июня, 2014 Поделиться Опубликовано 16 июня, 2014 Здравствуйте.Год назад в стоматологии прочистили каналы 36 (вроде) зуб, снимок 1. Месяцев через 7 после лечения появилась нарастающая все сильней боль, в итоге нажимать на зуб даже языком было очень больно. Пошел в эту же стоматологию, этот же врач переделал зуб по гарантии, снимок 2. Было больновато, как будто снова нервы не удалили до конца в прошлый раз. После перелечивания прошло уже месяца 2-3, зуб побаливает перидически, ноет, на горячее реагирует, например. Прошу знающих людей посмотреть снимки, сильно ли все плохо, и чем грозит? Хочу начать эпопею по возврату денег. 1 Ссылка на комментарий
red_butler Опубликовано 16 июня, 2014 Поделиться Опубликовано 16 июня, 2014 Если судить только по снимку - зуб нужно удалять, ввиду сильного разрушения, ниже уровня десны 1 Ссылка на комментарий
IvanK Опубликовано 16 июня, 2014 Поделиться Опубликовано 16 июня, 2014 Если судить только по снимку - зуб нужно удалять, ввиду сильного разрушения, ниже уровня десны+1 фото бы посмотреть Ссылка на комментарий
edw Опубликовано 16 июня, 2014 Автор Поделиться Опубликовано 16 июня, 2014 пока сфоткал так, как смог Ссылка на комментарий
faity Опубликовано 16 июня, 2014 Поделиться Опубликовано 16 июня, 2014 я бы снес Ссылка на комментарий
Scrabble Опубликовано 16 июня, 2014 Поделиться Опубликовано 16 июня, 2014 И 37 перелечите-там сломан инструмент, и всё такое прочее. Ссылка на комментарий
Рекомендуемые сообщения
Для публикации сообщений создайте учётную запись или авторизуйтесь
Вы должны быть пользователем, чтобы оставить комментарий
Создать аккаунт
Зарегистрируйте новый аккаунт в нашем сообществе. Это очень просто!
Регистрация нового пользователяВойти
Уже есть аккаунт? Войти в систему.
Войти