Nyurok Опубликовано 15 июня, 2014 Поделиться Опубликовано 15 июня, 2014 Здравствуйте, уважаемые врачи. С профессиональным вас праздником!Ситуация. 2 месяца назад операция "костная пластика" аутотрансплантатом. Всё хорошо, никаких субъективных ощущений. Через 1.5 месяца после операции возник сильный отек, и онемение левой половины нижней губы и левой части подбородка и практически одновременно с этим на другой стороне сделали операцию - 2 импланта и костная пластика, тоже своей костью. Принимала лекарства - кетонал, цефтриаксон, диазолин. Отек слева почти прошел, оставалась небольшая припухлость снаружи, но во рту отёк сохранялся и к тому, что было через 1 - 1.5 после операции не пришло. Справа, где импланты небольшая постоянная тупая боль. Через 2 недели от возникновения отёка (через 2 месяца после операции) в углу слева, где брали кость - открылся свищ, без заметного отделяемого, отек и онемение сохраняются. Пару дней назад справа и слева, мест забора кости, удалили некротизированные костные ткани (во время операций туда клали гемостатические губки), слева ещё удалили 1 винт из костного блока и отшлифовали верхний слой блока, зашили , место где блок. Лекарства - абактал, кетонал, диазолин.Сейчас. Справа ощущения значительно улучшились. Слева - улучшений нет. Отек, онемение, тяжесть всей левой челюсти до уха и где подчелюстные узлы.Прошу вас сказать, что есть сейчас на снимках и что делать.Состояние, как мне кажется, критическое. Надеюсь на помощь. Ссылка на комментарий
Bier Опубликовано 15 июня, 2014 Поделиться Опубликовано 15 июня, 2014 ничего не понял, вы что снимки перевернули? Ссылка на комментарий
Nyurok Опубликовано 15 июня, 2014 Автор Поделиться Опубликовано 15 июня, 2014 ничего не понял, вы что снимки перевернули?Я ориентировалась где у меня право, там и снимок правой стороны. Как точно нужно - не знаю. Импланты это правая сторона, винтик левая Ссылка на комментарий
Bier Опубликовано 15 июня, 2014 Поделиться Опубликовано 15 июня, 2014 надо вас пальпировать и смотреть где инфильтрат. В лучшем случае - нагноилась донорская зона, раскрыть и все заживет. В худшем нагноение зоны с пересаженным блоком. Тогда блок вы потеряли. Ссылка на комментарий
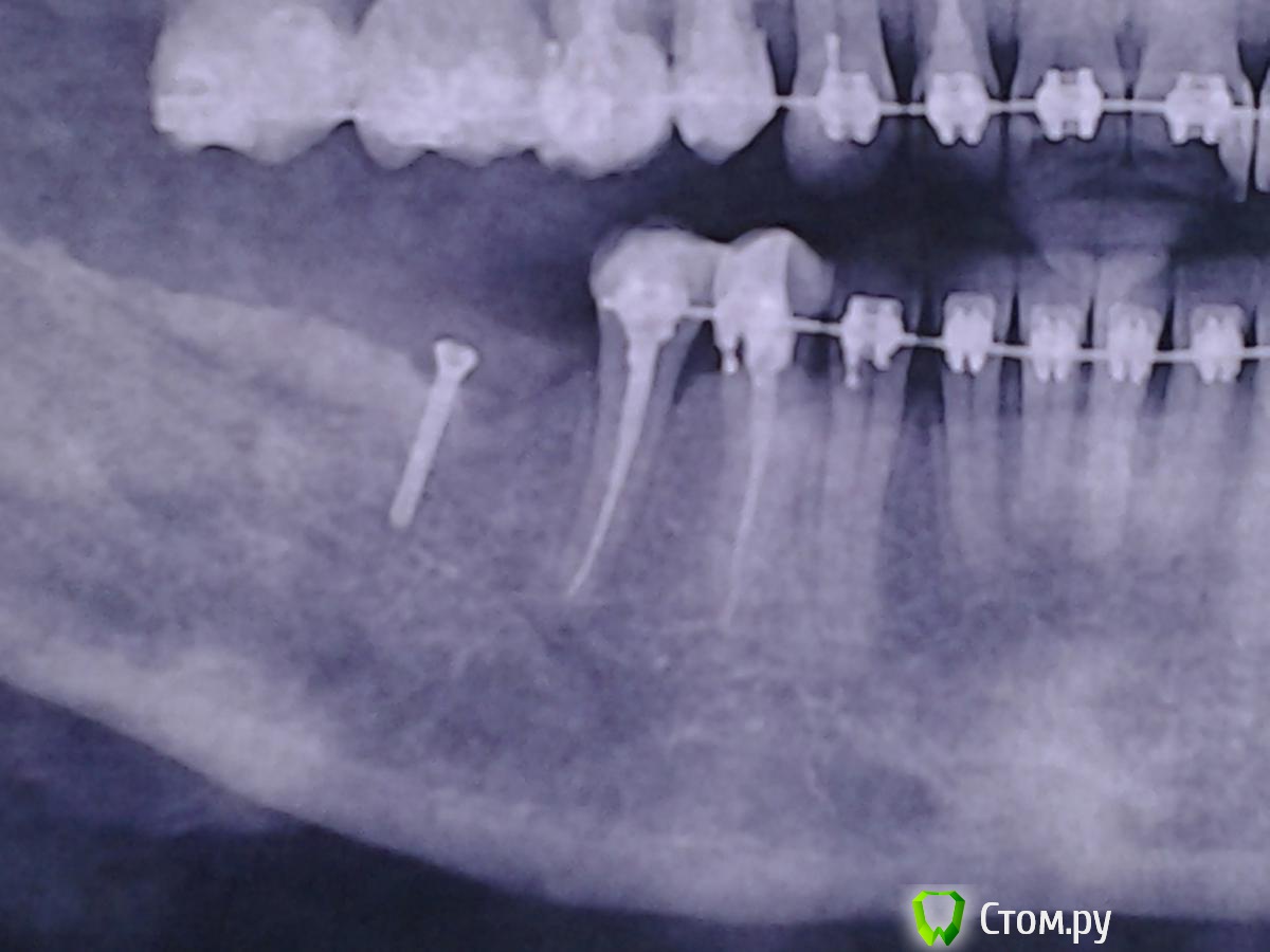
Nyurok Опубликовано 15 июня, 2014 Автор Поделиться Опубликовано 15 июня, 2014 (изменено) надо вас пальпировать и смотреть где инфильтрат. В лучшем случае - нагноилась донорская зона, раскрыть и все заживет. В худшем нагноение зоны с пересаженным блоком. Тогда блок вы потеряли.Спасибо вам! Снимки я сейчас загружу новые, правильно сфотографированные.Скажите, а разрежение на снимке слева о чем говорит? Донорскую зону 2 дня назад раскрыли и удалили ткани некротизированные ткани, но у меня нет улучшения в ощущениях. Онемение губы и, отек сохраняется. Мои опасения о остеомиелите и (или) остеопорозе верны? Изменено 15 июня, 2014 пользователем Nyurok 1 Ссылка на комментарий
Bier Опубликовано 15 июня, 2014 Поделиться Опубликовано 15 июня, 2014 какая зона вас смущает? обведите кружочком Ссылка на комментарий
Nyurok Опубликовано 15 июня, 2014 Автор Поделиться Опубликовано 15 июня, 2014 Спасибо вам! Снимки я сейчас загружу новые, правильно сфотографированные.Скажите, а разрежение на снимке слева о чем говорит? Донорскую зону 2 дня назад раскрыли и удалили ткани некротизированные ткани, но у меня нет улучшения в ощущениях. Онемение губы и, отек сохраняется. Мои опасения о остеомиелите и (или) остеопорозе верны? извините, сложности тем, чтобы вставить новые фото Ссылка на комментарий
Nyurok Опубликовано 15 июня, 2014 Автор Поделиться Опубликовано 15 июня, 2014 какая зона вас смущает? обведите кружочкомизвините, не знаю как это сделать. Вся практически левая сторона нижней челюсти отличается от правой, она темнее, т.е. получается это разрежение кости? Вниз от винтика, 4-ки 5-ки до края нижней челюсти. Ведь у меня после вчерашней манипуляции нет улучшения? Значит источник инфицирования не устранен? Ссылка на комментарий
Bier Опубликовано 15 июня, 2014 Поделиться Опубликовано 15 июня, 2014 http://forum.stom.ru/topic/1640-snimok-zubov/особых проблем я не вижу на снимке. Ссылка на комментарий
Nyurok Опубликовано 15 июня, 2014 Автор Поделиться Опубликовано 15 июня, 2014 извините, не знаю как это сделать. Вся практически левая сторона нижней челюсти отличается от правой, она темнее, т.е. получается это разрежение кости? Вниз от винтика, 4-ки 5-ки до края нижней челюсти. Ведь у меня после вчерашней манипуляции нет улучшения? Значит источник инфицирования не устранен? http://fotki.yandex.ru/users/printzewa-a/view/1098385 http://fotki.yandex.ru/users/printzewa-a/view/1098384Спасибо вам! Ссылка на комментарий
Bier Опубликовано 15 июня, 2014 Поделиться Опубликовано 15 июня, 2014 на яндексфотках выбирайте ссылки для размещения на форуме (с квадратными скобками), тогда они будут в сообщениивы выложили ровно те же снимки, что и в теме.Повторюсь, буква L на снимке должна быть справа, а R слева. Ссылка на комментарий
Nyurok Опубликовано 15 июня, 2014 Автор Поделиться Опубликовано 15 июня, 2014 http://fotki.yandex.ru/users/printzewa-a/view/1098388http://fotki.yandex.ru/users/printzewa-a/view/1098387 Ссылка на комментарий
Рекомендуемые сообщения
Для публикации сообщений создайте учётную запись или авторизуйтесь
Вы должны быть пользователем, чтобы оставить комментарий
Создать аккаунт
Зарегистрируйте новый аккаунт в нашем сообществе. Это очень просто!
Регистрация нового пользователяВойти
Уже есть аккаунт? Войти в систему.
Войти