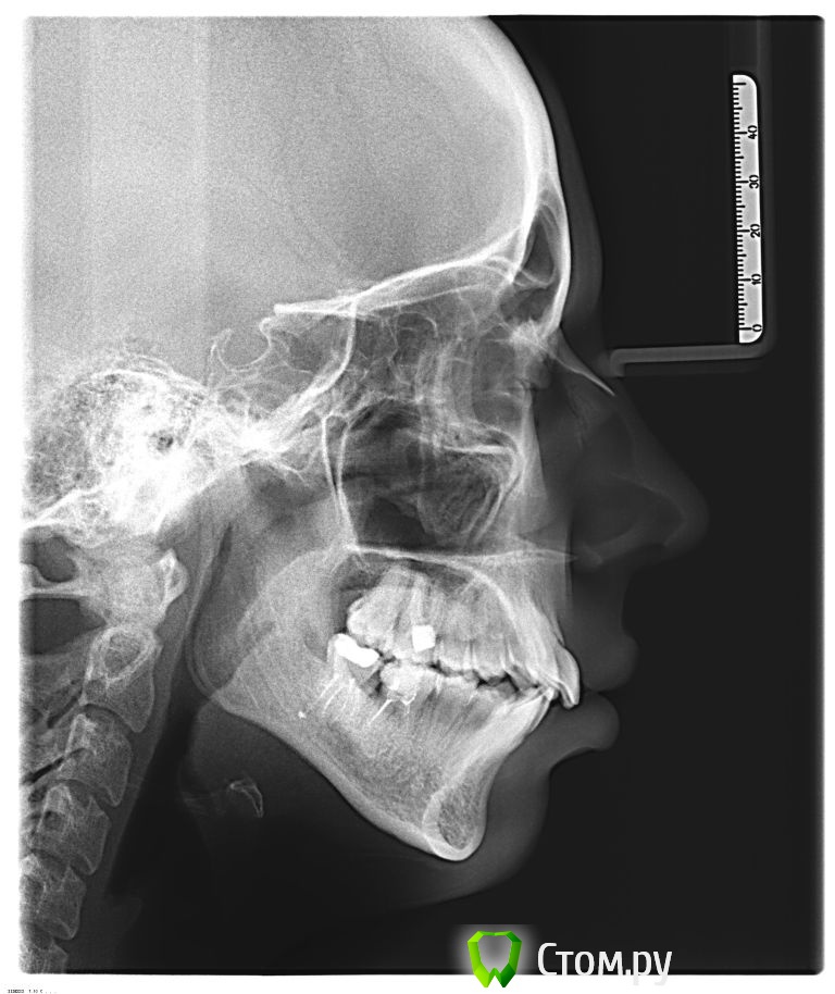
89kristy Опубликовано 15 июня, 2014 Поделиться Опубликовано 15 июня, 2014 Здравствуйте, помогите советом. Ортодонт советует удалять 4 премоляра но из-за верхней микрогнатии боюсь что верхняя губа будет западать. Возможно ли решение моей проблемы с помощью остеопластики или она даст только косметический эффект и удаления премоляров не избежать? ÐSNA -88° - антепозиция ВЧ (82±3,5)ÐSNB -81 - N (80±3,5)ÐANB -7° - дист.оклюзияÐF -88° - лицевой профиль выпуклыйÐI -84° - N (85±5)ÐH -87° - задняя ротация НЧÐGo -125° - NÐBs -30° - (N-28) – вертикальный тип ростаÐT -20° - (N-10) – челюстный профиль выпуклыйSnaSnp = 45 (N=46,9) –верхняя микрогнатияNse=67GoPg=70 – нормогнатияВерх Ð59° (57,5±7)- NНиз Ð103° (95±7) Ссылка на комментарий
Skip Опубликовано 16 июня, 2014 Поделиться Опубликовано 16 июня, 2014 Нет там никакой "верхней микрогнатии". А вот нижняя челюсть, действительно, немного укорочена. Удалив верхние премоляры, Вам сделают верхнюю челюсть короткой, учитывая что сейчас она нормального размера. Исходя из этого, считаю преступлением, укорачивать верхнюю челюсть, подстраивая её под короткую нижнюю. 3 Ссылка на комментарий
89kristy Опубликовано 17 июня, 2014 Автор Поделиться Опубликовано 17 июня, 2014 А какой тогда план лечения? Ссылка на комментарий
89kristy Опубликовано 17 июня, 2014 Автор Поделиться Опубликовано 17 июня, 2014 Нет там никакой "верхней микрогнатии". А вот нижняя челюсть, действительно, немного укорочена. Удалив верхние премоляры, Вам сделают верхнюю челюсть короткой, учитывая что сейчас она нормального размера. Исходя из этого, считаю преступлением, укорачивать верхнюю челюсть, подстраивая её под короткую нижнюю. А какой тогда должен быть план лечения? Нет там никакой "верхней микрогнатии". А вот нижняя челюсть, действительно, немного укорочена. Удалив верхние премоляры, Вам сделают верхнюю челюсть короткой, учитывая что сейчас она нормального размера. Исходя из этого, считаю преступлением, укорачивать верхнюю челюсть, подстраивая её под короткую нижнюю. Ссылка на комментарий
Force Опубликовано 18 июня, 2014 Поделиться Опубликовано 18 июня, 2014 Прямо противоположный. Оставить в покое верхнюю и думать о нижней. Разные ортодонты по разному это делают. Ссылка на комментарий
89kristy Опубликовано 18 июня, 2014 Автор Поделиться Опубликовано 18 июня, 2014 Прямо противоположный. Оставить в покое верхнюю и думать о нижней. Разные ортодонты по разному это делают. А как бы вы пососветовали? И как исправлять протрузию на верхней челюсти - места вообще нет? И разве носогубные складки не указывают на врхнюю микрогнатию? Ссылка на комментарий
Рекомендуемые сообщения
Для публикации сообщений создайте учётную запись или авторизуйтесь
Вы должны быть пользователем, чтобы оставить комментарий
Создать аккаунт
Зарегистрируйте новый аккаунт в нашем сообществе. Это очень просто!
Регистрация нового пользователяВойти
Уже есть аккаунт? Войти в систему.
Войти