Novichok78 Опубликовано 12 июня, 2014 Поделиться Опубликовано 12 июня, 2014 Здравствуйте,у меня сломан корень верхнего зуба 2-ки справа.2-ку однозначно удалять, я ломаю голову уже 10 лет ,что лучше выбрать коронки или имплант.Какие последствия могут быть если сломанный корень так долго не удалялся ?Проблема в том,что передние два зуба у меня выступают, хотелось бы их заодно выпрямить,сделать ровными. 1.Подскажите,сколько стачивают передние зубы чтобы поставить безметал.коронки если с внутренней стороны большая пломба ?(Мне врач собрался спиливать два зуба под корень.Получается я остаюсь без 3-х зубов!! Везде пишут,что цирконевые коронки обтачивают по минимуму.)Развейти мои сомнения , может это реально так надо спиливать из-за большой пломбы ?я нахожусь в шоке,не знаю,что делать,у меня еще стоит времен.пломба с 10.05.14 нужно побыстрее определисься или поставить постоянную пломбу или......спиливать зуб не хочу!!2. После удаления сломанного зуба ,что посоветуете поставить съемный протез(бабочка) или коронку на 1-й зуб с консолью на 2-й Ссылка на комментарий
Bier Опубликовано 12 июня, 2014 Поделиться Опубликовано 12 июня, 2014 Здравствуйте,у меня сломан корень верхнего зуба 2-ки справа.2-ку однозначно удалять, я ломаю голову уже 10 лет ,что лучше выбрать коронки или имплант.Какие последствия могут быть если сломанный корень так долго не удалялся ?Проблема в том,что передние два зуба у меня выступают, хотелось бы их заодно выпрямить,сделать ровными. 1.Подскажите,сколько стачивают передние зубы чтобы поставить безметал.коронки если с внутренней стороны большая пломба ?(Мне врач собрался спиливать два зуба под корень.Получается я остаюсь без 3-х зубов!! Везде пишут,что цирконевые коронки обтачивают по минимуму.)Развейти мои сомнения , может это реально так надо спиливать из-за большой пломбы ?я нахожусь в шоке,не знаю,что делать,у меня еще стоит времен.пломба с 10.05.14 нужно побыстрее определисься или поставить постоянную пломбу или......спиливать зуб не хочу!!2. После удаления сломанного зуба ,что посоветуете поставить съемный протез(бабочка) или коронку на 1-й зуб с консолью на 2-й 1. Вы не о том думаете, у вас и так там не осталось ничего от зубов. Вы пытаетесь сохранить скорлупу, когда надо надежно сохранить корень вашего зуба, сделав коронку. Чтобы оценить на сколько нужно обработать зуб в Вашем случае - надо снять старую пломбу и оценить, что осталось от своих тканей.2. В вашем скорее всего возможна одномоментная с удалением имплантация. 2 Ссылка на комментарий
Novichok78 Опубликовано 13 июня, 2014 Автор Поделиться Опубликовано 13 июня, 2014 1. Вы не о том думаете, у вас и так там не осталось ничего от зубов. Вы пытаетесь сохранить скорлупу, когда надо надежно сохранить корень вашего зуба, сделав коронку. Чтобы оценить на сколько нужно обработать зуб в Вашем случае - надо снять старую пломбу и оценить, что осталось от своих тканей.2. В вашем скорее всего возможна одномоментная с удалением имплантация.Даже если она будет одномоментная,там все равно установят только имплант и пока он приживается где то полгода,нужно же с чем-то ходить,не без зуба же? Ссылка на комментарий
Bier Опубликовано 13 июня, 2014 Поделиться Опубликовано 13 июня, 2014 Даже если она будет одномоментная,там все равно установят только имплант и пока он приживается где то полгода,нужно же с чем-то ходить,не без зуба же? нагрузка тоже возможна одномоментная. 1 Ссылка на комментарий
Novichok78 Опубликовано 13 июня, 2014 Автор Поделиться Опубликовано 13 июня, 2014 нагрузка тоже возможна одномоментная.Что за нагрузка?Если вы имеете в виду коронку,то в Москве так не делают, мне вообще гарантию не дают,что получится одномоментная имплантация. Ссылка на комментарий
Ст@ся Опубликовано 13 июня, 2014 Поделиться Опубликовано 13 июня, 2014 Что за нагрузка?Если вы имеете в виду коронку,то в Москве так не делают, мне вообще гарантию не дают,что получится одномоментная имплантация.Да ладно)))) 2 Ссылка на комментарий
Novichok78 Опубликовано 13 июня, 2014 Автор Поделиться Опубликовано 13 июня, 2014 Да ладно))))а что вы смеетесь,я у кого только не была, мне одномоментную имплантацию не обещают сразу ,т.к там воспалительный процесс. Ссылка на комментарий
Bier Опубликовано 14 июня, 2014 Поделиться Опубликовано 14 июня, 2014 гарантию никто не даст. 1 Ссылка на комментарий
IvanK Опубликовано 14 июня, 2014 Поделиться Опубликовано 14 июня, 2014 Вам ответил Врач из Москвы. Сходите. . Ссылка на комментарий
Ст@ся Опубликовано 15 июня, 2014 Поделиться Опубликовано 15 июня, 2014 а что вы смеетесь,я у кого только не была, мне одномоментную имплантацию не обещают сразу ,т.к там воспалительный процесс.Сделайте КТ и приходите на очную консультацию. Ссылка на комментарий
Scrabble Опубликовано 15 июня, 2014 Поделиться Опубликовано 15 июня, 2014 И 46 перелечите в ближайшее время-он тоже требует внимания. Ссылка на комментарий
Novichok78 Опубликовано 16 июня, 2014 Автор Поделиться Опубликовано 16 июня, 2014 Сделайте КТ и приходите на очную консультацию. у меня есть КТ, куда приходить надо? Ссылка на комментарий
Novichok78 Опубликовано 16 июня, 2014 Автор Поделиться Опубликовано 16 июня, 2014 И 46 перелечите в ближайшее время-он тоже требует внимания.это который с "винтом"? там мне сказали,что тоже киста, но некоторые врачи говорят перелечивать, а некоторые говорят если не болит не трогай...... ...даже не знаю.... Ссылка на комментарий
faity Опубликовано 16 июня, 2014 Поделиться Опубликовано 16 июня, 2014 это который с "винтом"? там мне сказали,что тоже киста, но некоторые врачи говорят перелечивать, а некоторые говорят если не болит не трогай...... ...даже не знаю....не слушайте никого, всё удалять и импланты, надежнее будет Ссылка на комментарий
Novichok78 Опубликовано 17 июня, 2014 Автор Поделиться Опубликовано 17 июня, 2014 Как удалять? я не хочу удалять, удалить проще простого, а вот восстановить (вылечить) ни каждый сможет....... Ссылка на комментарий
Novichok78 Опубликовано 17 июня, 2014 Автор Поделиться Опубликовано 17 июня, 2014 Подскажите, пожалуйста , реально после имплантации нельзя делать МРТ? Ссылка на комментарий
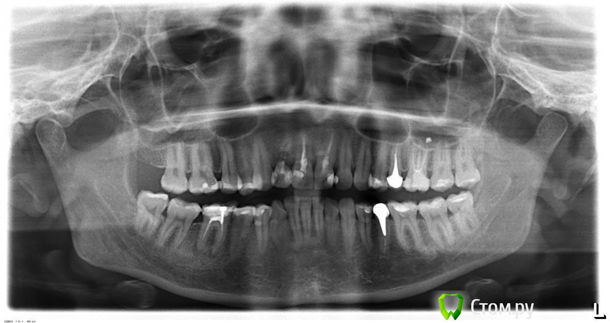
faity Опубликовано 17 июня, 2014 Поделиться Опубликовано 17 июня, 2014 Как удалять? я не хочу удалять, удалить проще простого, а вот восстановить (вылечить) ни каждый сможет.......простите, сорвался. делайте КТ, предварительно 1.2 под снос скорее всего, 2.6, 4.6, 1.1 и 2.1 перелечивать и под коронку, 1.6, 2.4, 3.6, 3.4, 4.4, 4.6 перелечиватьортодонт вам в помощь перед всем этим, уточнить план лечения по КТ Ссылка на комментарий
Novichok78 Опубликовано 17 июня, 2014 Автор Поделиться Опубликовано 17 июня, 2014 спасибо.Зуб 1.1 и 2.1 как я ранее писала мне хотят спилить, чтобы поставить коронку.Подскажите можно как то поставить коронку без спиливания зуба ( обойтись перелечиванием и обтачиванием)? Ссылка на комментарий
Bier Опубликовано 17 июня, 2014 Поделиться Опубликовано 17 июня, 2014 У вас ничего не осталось там от зуба, чтобы ограничиться минимальной обработкой. С таким подходом вас просто никто не возьмет на лечение, уже тут мозг выносите, а что в кабинете будет. 2 1 Ссылка на комментарий
faity Опубликовано 17 июня, 2014 Поделиться Опубликовано 17 июня, 2014 (изменено) У вас ничего не осталось там от зуба, чтобы ограничиться минимальной обработкой. С таким подходом вас просто никто не возьмет на лечение, уже тут мозг выносите, а что в кабинете будет.поддерживаю спасибо.Зуб 1.1 и 2.1 как я ранее писала мне хотят спилить, чтобы поставить коронку.Подскажите можно как то поставить коронку без спиливания зуба ( обойтись перелечиванием и обтачиванием)?а вам остается только смирится с предложенным планом лечения, вы зубы запустили чуть ли не в космос, а теперь, не имея медицинского образования вы для себя определили что сносить зубы не надо и пытаетесь убедить врачей, то есть нас, как для вас будет лучше. если такое же будет в кресле- доктор может согласится на это с целью от вас быстрее отвязаться, сделает фигню и возьмет с вас расписку что гарантию не даёт, а через какое-то время они у вас сломаются и вы будете думать что у доктора кривые руки. Изменено 17 июня, 2014 пользователем faity 1 1 Ссылка на комментарий
Novichok78 Опубликовано 17 июня, 2014 Автор Поделиться Опубликовано 17 июня, 2014 поддерживаю а вам остается только смирится с предложенным планом лечения, вы зубы запустили чуть ли не в космос, а теперь, не имея медицинского образования вы для себя определили что сносить зубы не надо и пытаетесь убедить врачей, то есть нас, как для вас будет лучше. если такое же будет в кресле- доктор может согласится на это с целью от вас быстрее отвязаться, сделает фигню и возьмет с вас расписку что гарантию не даёт, а через какое-то время они у вас сломаются и вы будете думать что у доктора кривые руки.Я ничего для себя не определила, я просто уточняю у вас правильно ли мне хотят сделать и всё.Спасибо за комментарии.. Ссылка на комментарий
Novichok78 Опубликовано 17 июня, 2014 Автор Поделиться Опубликовано 17 июня, 2014 У вас ничего не осталось там от зуба, чтобы ограничиться минимальной обработкой. С таким подходом вас просто никто не возьмет на лечение, уже тут мозг выносите, а что в кабинете будет.спасибо за комментарии, но никто не собирался ничего выносить...., я посмотрела бы на вас если бы вам решили спились зубы под корень, как бы вы на это сразу решились..Еще раз спасибо за поддержку . Ссылка на комментарий
faity Опубликовано 17 июня, 2014 Поделиться Опубликовано 17 июня, 2014 Я ничего для себя не определила, я просто уточняю у вас правильно ли мне хотят сделать и всё.Спасибо за комментарии..значит дальше без эмоций.вам спилят коронковую часть зуба, до уровня десны, корень никто трогать не будет, в него поставят культевую вкладку и сверху поставят коронку.это не так страшно как удаление, ваш зуб останется при вас, только он будет короче на треть, но это даст ему ещё лет 15-20, а то и 30 жизни. восстановленный пломбой и покрытый сверху коронкой простоит лет 5-7 1 Ссылка на комментарий
Novichok78 Опубликовано 19 июня, 2014 Автор Поделиться Опубликовано 19 июня, 2014 значит дальше без эмоций.вам спилят коронковую часть зуба, до уровня десны, корень никто трогать не будет, в него поставят культевую вкладку и сверху поставят коронку.это не так страшно как удаление, ваш зуб останется при вас, только он будет короче на треть, но это даст ему ещё лет 15-20, а то и 30 жизни. восстановленный пломбой и покрытый сверху коронкой простоит лет 5-7спасибо большое ,буду морально готовиться ..подскажите еще, если ставить коронку из диоксид циркония, то культевая вкладка из чего должна быть? Ссылка на комментарий
Bier Опубликовано 19 июня, 2014 Поделиться Опубликовано 19 июня, 2014 спасибо большое ,буду морально готовиться ..подскажите еще, если ставить коронку из диоксид циркония, то культевая вкладка из чего должна быть?не металлическая, возможно билдап на стекловолоконном штифте. Ссылка на комментарий
Рекомендуемые сообщения
Для публикации сообщений создайте учётную запись или авторизуйтесь
Вы должны быть пользователем, чтобы оставить комментарий
Создать аккаунт
Зарегистрируйте новый аккаунт в нашем сообществе. Это очень просто!
Регистрация нового пользователяВойти
Уже есть аккаунт? Войти в систему.
Войти