L'azur Опубликовано 23 апреля, 2015 Поделиться Опубликовано 23 апреля, 2015 Блукам Ссылка на комментарий
Dr.Sham Опубликовано 25 апреля, 2015 Поделиться Опубликовано 25 апреля, 2015 еще один из случаев Извините, но то, что Вы показали - полный трэш. 1)Края уступа 2)Полировка накладки 3) Контактные пункты 4) Фотки 5) Зафиксированная во рту - весь край рваный. Я считаю, это объективно. Ссылка на комментарий
L'azur Опубликовано 26 апреля, 2015 Поделиться Опубликовано 26 апреля, 2015 У меня тоже однажды скололся край во время примерки одиночки из cerec block Ссылка на комментарий
EvgenS Опубликовано 3 мая, 2015 Поделиться Опубликовано 3 мая, 2015 Задумался о покупке cerec в связи с открытием клиники. Подскажите или переубедите.Я хочу уйти от работ мк и делать их на цирконе, но если делать по классике(слепки, модели, техник) тогда Идет удорожание конструкции, поэтому выбор пал на cad/cam. суть идеи собственно в следующем:1) пациент получает циркон по цене мк2)я экономлю на слепочном материале, литье металла и работе техника. Доводить и красить будет один из сотрудников. Работоспособна ли эта идея? немного пугает что на цереке нельзя делать работы протяженностью более 40мм, так ли это? спасибо. Ссылка на комментарий
EvgenS Опубликовано 3 мая, 2015 Поделиться Опубликовано 3 мая, 2015 То есть если делать на потоке циркон вместо мк, то с каждой единицы прибыль даже больше получится, а работа качественнее Ссылка на комментарий
EvgenS Опубликовано 3 мая, 2015 Поделиться Опубликовано 3 мая, 2015 И еще уточнение, хочу купить полный цикл, т.е внутриротовой сканер, шлифовальщик, печку и т.д чтобы весь процесс был в клинике Ссылка на комментарий
bugroff87 Опубликовано 3 мая, 2015 Поделиться Опубликовано 3 мая, 2015 Качество внутриротовых "оттисков" не всегда будет лучше, хотя бы по причине того, что это рот, со слюной, языком. Сложно представить, что у всех ваших пациентов будет преп на уровне или чуть ниже десны. А какой циркон вы хотите делать, в полную анатомию или на колпак выпиливать облицовку из керамики? Ссылка на комментарий
EvgenS Опубликовано 3 мая, 2015 Поделиться Опубликовано 3 мая, 2015 В полную анатомию те работы, которые раньше были бы мк. И колпак с нанесением для фронта и особо требовательных пациентов. Но ставка на поток в полную анатомию Ссылка на комментарий
bugroff87 Опубликовано 3 мая, 2015 Поделиться Опубликовано 3 мая, 2015 (изменено) По затратам м/к все равно дешевле получается(даже если взять оборудование), руку прийдется конкретно набивать(скорей не руку а алгоритм работы), все же работа с модели требует меньше возни во рту, у церека бывают сложности с контактами, и при недостатке данных (в неидеальных и сложных ситуациях) с формой зуба, но это дело опять же опыта. У меня в клинике царек в основном для вкладок и времянок. Да и циркон, лично для меня, не лучший материал для коронки, лишь только замена металлу в мостах, а вот абатмент на цереке из циркония очень даже. Насколько я знаю цирконий для полной анатомии прозрачный, как решать проблемы восстановленных вкладками и темных зубов? А в целом идея хорошая, но можно ведь цирконий заменить на имакс, энамик, полевошпат и делать все на цереке, если начнете и получится будет класс, возможностей у системы много, можно расширятся постоянно. Изменено 3 мая, 2015 пользователем bugroff87 Ссылка на комментарий
L'azur Опубликовано 6 мая, 2015 Поделиться Опубликовано 6 мая, 2015 По затратам м/к все равно дешевле получается(даже если взять оборудование), руку прийдется конкретно набивать(скорей не руку а алгоритм работы), все же работа с модели требует меньше возни во рту, у церека бывают сложности с контактами, и при недостатке данных (в неидеальных и сложных ситуациях) с формой зуба, но это дело опять же опыта. У меня в клинике царек в основном для вкладок и времянок. Да и циркон, лично для меня, не лучший материал для коронки, лишь только замена металлу в мостах, а вот абатмент на цереке из циркония очень даже. Насколько я знаю цирконий для полной анатомии прозрачный, как решать проблемы восстановленных вкладками и темных зубов? А в целом идея хорошая, но можно ведь цирконий заменить на имакс, энамик, полевошпат и делать все на цереке, если начнете и получится будет класс, возможностей у системы много, можно расширятся постоянно. +1 Возможностей много, но, во-первых, техника тоже нужно учить. Во-вторых, на врачебном блоке протяженную работу не сделаешь. Мне кажется, кадкам по цене мк - это работа в ноль. Хотя, мы, конечно, не знаем, какова цена мк в вашей клинике Ссылка на комментарий
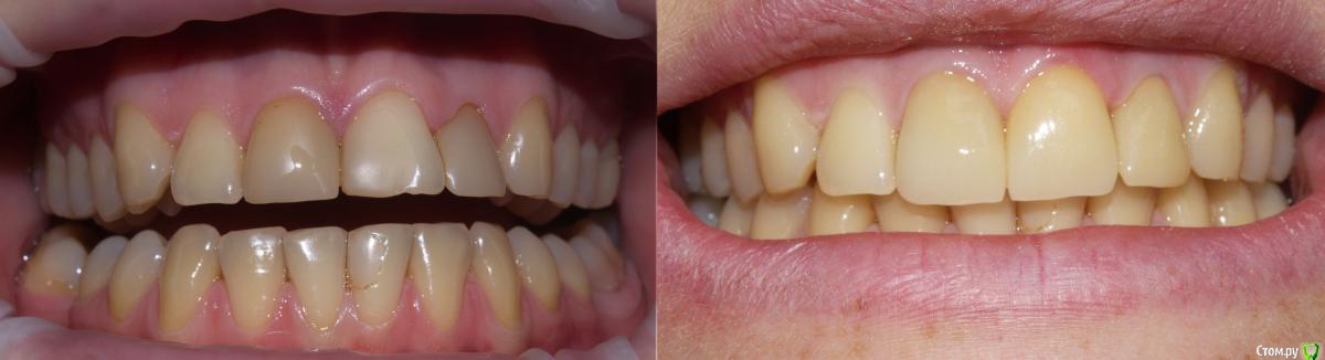
NazranDantist Опубликовано 21 мая, 2015 Поделиться Опубликовано 21 мая, 2015 Работаю как с Cerec так и с пресованной керамикой. Церек четырех-фрезный + лабораторный сканер блюкам. Однозначно церек проигрывает по прилеганию, но все же хочется отметить очень не высокую цену полевошпатных реставрации и как следствие достойная альтернатива металокерамическим реставрациям. Проблему прилегания решаем банально - плечо + адгезивная фиксация. У нас техническая стоимость полевошпатной реставрации - 2500р, против 2000 - МК.Вот пример работыЕдинственный минус такой ресаврации - прозрачность, замаскировать цвет культи полностью не получается, но в любом случае эстетичнее МК. Ссылка на комментарий
Bobby Опубликовано 21 мая, 2015 Поделиться Опубликовано 21 мая, 2015 (изменено) Я бы наоборот отказался от ДЦ в сторону МК. Изменено 21 мая, 2015 пользователем Bobby 1 Ссылка на комментарий
Bobby Опубликовано 21 мая, 2015 Поделиться Опубликовано 21 мая, 2015 На этой неделе был в Каво в Германии, отпрепарировал фантомные зубы под полную коронку и винирв, отфрезеровали блок Энамик и сделали винир и коронку. Винир получился 0.35. Не плохо вышло и печка не нужна, можно просто подкрасить краской и отсветить. Отличный бюджетный вариант ортопедического лечения, особенно если антагонисты - естественные зубы. Не рекомендуется делать ДЦ в полную анатомию, если антагонист естественный зуб, а вот Энамик не плохо для этого подходит. Ссылка на комментарий
NazranDantist Опубликовано 21 мая, 2015 Поделиться Опубликовано 21 мая, 2015 На этой неделе был в Каво в Германии, отпрепарировал фантомные зубы под полную коронку и винирв, отфрезеровали блок Энамик и сделали винир и коронку. Винир получился 0.35. Не плохо вышло и печка не нужна, можно просто подкрасить краской и отсветить. Отличный бюджетный вариант ортопедического лечения, особенно если антагонисты - естественные зубы. Не рекомендуется делать ДЦ в полную анатомию, если антагонист естественный зуб, а вот Энамик не плохо для этого подходит.Давно изучал тему керамо-композитов и хотим попробовать их в деле. Скажите, как полировали эти конструкции? Глазурировать ведь нельзя? Эстетика в сравнении с не редуцированной керамикой сильно проигрывает? Ссылка на комментарий
Rash163 Опубликовано 26 мая, 2015 Поделиться Опубликовано 26 мая, 2015 Я бы наоборот отказался от ДЦ в сторону МК. с круговой гирляндой? Ссылка на комментарий
anvladd Опубликовано 26 мая, 2015 Поделиться Опубликовано 26 мая, 2015 Я бы наоборот отказался от ДЦ в сторону МК. почему,в чем причина? Ссылка на комментарий
bugel Опубликовано 27 мая, 2015 Поделиться Опубликовано 27 мая, 2015 Видимо из-за разницы в стираемости антагоностов Ссылка на комментарий
Рекомендуемые сообщения
Для публикации сообщений создайте учётную запись или авторизуйтесь
Вы должны быть пользователем, чтобы оставить комментарий
Создать аккаунт
Зарегистрируйте новый аккаунт в нашем сообществе. Это очень просто!
Регистрация нового пользователяВойти
Уже есть аккаунт? Войти в систему.
Войти