Pavel-Pskov Опубликовано 10 июня, 2014 Поделиться Опубликовано 10 июня, 2014 Привет коллеги! Видел иногда вопросы про Сerec. Если кто работает, может в этой теме будем обмениваться опытом? Если интересно могу начать. Ссылка на комментарий
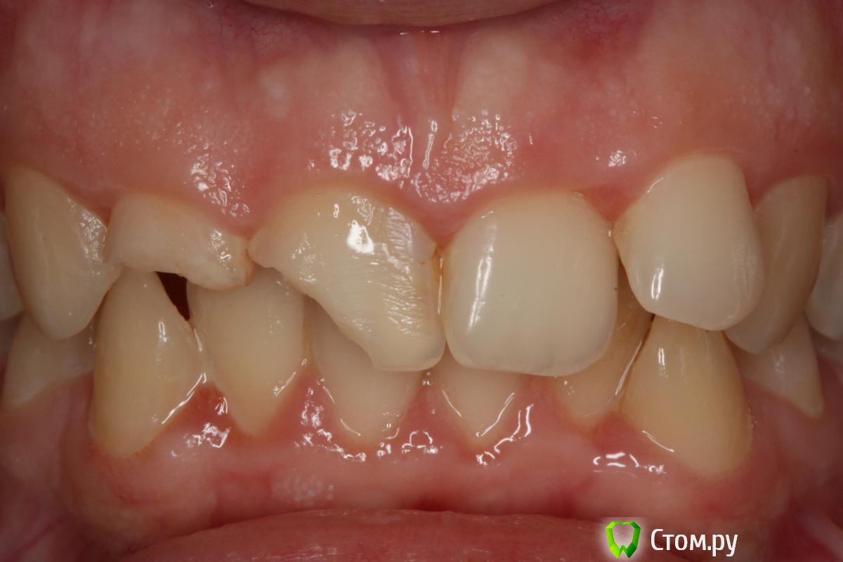
Pavel-Pskov Опубликовано 10 июня, 2014 Автор Поделиться Опубликовано 10 июня, 2014 Привет коллеги! Видел иногда вопросы про Сerec. Если кто работает, может в этой теме будем обмениваться опытом? Если интересно могу начать.11,12 травма зубы живые, преп. минимальный. Ссылка на комментарий
M@estro Опубликовано 10 июня, 2014 Поделиться Опубликовано 10 июня, 2014 Ну жесть же ! 9 Ссылка на комментарий
4ebstom Опубликовано 10 июня, 2014 Поделиться Опубликовано 10 июня, 2014 Сорри ,но 11 не нравится Ссылка на комментарий
iБолит Опубликовано 10 июня, 2014 Поделиться Опубликовано 10 июня, 2014 Мое мнение такое что Cerec хорош для вкладок и на дистальную группу зубов.... 4 Ссылка на комментарий
scarifikator Опубликовано 10 июня, 2014 Поделиться Опубликовано 10 июня, 2014 А чёбы на цереке не вырезать каркас из имакс блока, да не характеризавать его пад пациента Ссылка на комментарий
Чертков Александр Опубликовано 11 июня, 2014 Поделиться Опубликовано 11 июня, 2014 Доктор, Вам самому то нравится результат? А пациенту? Не сочтите за грубость, но абсолютно солидарен с Пашей Маэстро.... Ссылка на комментарий
vvshleiko Опубликовано 11 июня, 2014 Поделиться Опубликовано 11 июня, 2014 IMG_6386.JPGIMG_6387.JPG11,12 травма зубы живые, преп. минимальный.Павел. Как считаете. Площадь ретенции у зуба 1.2 достаточна для фиксации конструкции? Ссылка на комментарий
Pavel-Pskov Опубликовано 11 июня, 2014 Автор Поделиться Опубликовано 11 июня, 2014 Доктор, Вам самому то нравится результат? А пациенту? Не сочтите за грубость, но абсолютно солидарен с Пашей Маэстро....Главное старался сохранить зубы живыми. Одна из первых работ. Сейчас сделал бы по другому.p.s. Что бы Вы сделали в данной ситуации при условии сохрfнения витальности? Ссылка на комментарий
Pavel-Pskov Опубликовано 11 июня, 2014 Автор Поделиться Опубликовано 11 июня, 2014 Павел. Как считаете. Площадь ретенции у зуба 1.2 достаточна для фиксации конструкции?Время покажет. Пока полгода всё о.к. Пациентка молодая депульпировать и переделать всегда успею. Ссылка на комментарий
Чертков Александр Опубликовано 11 июня, 2014 Поделиться Опубликовано 11 июня, 2014 Главное старался сохранить зубы живыми. Одна из первых работ. Сейчас сделал бы по другому.p.s. Что бы Вы сделали в данной ситуации при условии сохрfнения витальности?Прямую реставрацию ( с целью билдапа) - консультация и лечение у ортодонта - пресс керамика по факту завершения ортолечения. Ссылка на комментарий
Мартовский Опубликовано 11 июня, 2014 Поделиться Опубликовано 11 июня, 2014 Главное старался сохранить зубы живыми. Одна из первых работ. Сейчас сделал бы по другому.p.s. Что бы Вы сделали в данной ситуации при условии сохрfнения витальности? Здесь все вопиет об ортодонтии. Метод реставрации обсуждать в таком кейсе смысла нет. Но если что, то закрыть дентин композитом на время орто, возможно вытянуть эти зубы с рассечением круговой связки, на финише непрямая реставрация. 1 Ссылка на комментарий
Pavel-Pskov Опубликовано 11 июня, 2014 Автор Поделиться Опубликовано 11 июня, 2014 Здесь все вопиет об ортодонтии. Метод реставрации обсуждать в таком кейсе смысла нет. Но если что, то закрыть дентин композитом на время орто, возможно вытянуть эти зубы с рассечением круговой связки, на финише непрямая реставрация.От ортодонтии был категорический отказ. Ссылка на комментарий
M@estro Опубликовано 11 июня, 2014 Поделиться Опубликовано 11 июня, 2014 Павел. Как считаете. Площадь ретенции у зуба 1.2 достаточна для фиксации конструкции? Да. Сохранение витальности даже комментировать не хочу. Подпишусь про ортодонтию. " категорический отказ" - это, конечно, бывает, но , думаю, недомотивирован пациент. 1 1 Ссылка на комментарий
iБолит Опубликовано 11 июня, 2014 Поделиться Опубликовано 11 июня, 2014 Да. Сохранение витальности даже комментировать не хочу. Подпишусь про ортодонтию. " категорический отказ" - это, конечно, бывает, но , думаю, недомотивирован пациент. Бывает очень трудно мотивировать. Даже если интересные предложения. Не только на орто, но и чтоб зацепить другой пострадавший зуб, чтоб свести эстетику в плюс. Но упирается и хочет получить идеал. 2 Ссылка на комментарий
Мартовский Опубликовано 11 июня, 2014 Поделиться Опубликовано 11 июня, 2014 Таким говорю, что все поликлиники города вас ждут, а мой квалификации на удовлетворение такого запроса не хватает. Но мы отвлеклись, может наш коллега из Пскова постериальные реставрации покажет. 1 Ссылка на комментарий
M@estro Опубликовано 11 июня, 2014 Поделиться Опубликовано 11 июня, 2014 Бывает очень трудно мотивировать. Даже если интересные предложения. Денис, мне хочется тебе сказать - "да щито ты говоришь! " Ну ты понял ; ) Полностью согласен с Мартовским. P.s. Тёзку-топикстартера не хотел обидеть нисколько , ждём фотки , интересно же . У всех бывают случаи "не айс",не расстраивайтесь Ссылка на комментарий
Pavel-Pskov Опубликовано 12 июня, 2014 Автор Поделиться Опубликовано 12 июня, 2014 Таким говорю, что все поликлиники города вас ждут, а мой квалификации на удовлетворение такого запроса не хватает. Но мы отвлеклись, может наш коллега из Пскова постериальные реставрации покажет.Согласен, просто пациентке 19 лет в 90 процентах наших клиник депульпирование анкер мк, а так вариант орто не исключен + зубы витальны.Боковые зубы есть конечно, только фотки не очень получаются, посмотрю что поприличней. Ссылка на комментарий
Pavel-Pskov Опубликовано 12 июня, 2014 Автор Поделиться Опубликовано 12 июня, 2014 Денис, мне хочется тебе сказать - "да щито ты говоришь! " Ну ты понял ; ) Полностью согласен с Мартовским. P.s. Тёзку-топикстартера не хотел обидеть нисколько , ждём фотки , интересно же . У всех бывают случаи "не айс",не расстраивайтесь Спасибо, есть конечно ,буду потихоньку выкладывать? Ссылка на комментарий
Pavel-Pskov Опубликовано 12 июня, 2014 Автор Поделиться Опубликовано 12 июня, 2014 Мое мнение такое что Cerec хорош для вкладок и на дистальную группу зубов....Нанесение однозначно эстетичней , просто хочу посмотреть все возможности CEREC. Ссылка на комментарий
scarifikator Опубликовано 12 июня, 2014 Поделиться Опубликовано 12 июня, 2014 Нанесение однозначно эстетичней , просто хочу посмотреть все возможности CEREC.Не на живых же людях Ссылка на комментарий
M@estro Опубликовано 12 июня, 2014 Поделиться Опубликовано 12 июня, 2014 Не на живых же людях Согласись, если у пациента альтернатива - витальный зуб и серес или мк на анкере,то уж пусть лучше свои "штуки" ставит Ссылка на комментарий
elanser Опубликовано 12 июня, 2014 Поделиться Опубликовано 12 июня, 2014 Здесь все вопиет об ортодонтии. Метод реставрации обсуждать в таком кейсе смысла нет. Но если что, то закрыть дентин композитом на время орто, возможно вытянуть эти зубы с рассечением круговой связки, на финише непрямая реставрация.А не могли бы вы показать прямую реставрацию в похожем случае? Ссылка на комментарий
Pavel-Pskov Опубликовано 12 июня, 2014 Автор Поделиться Опубликовано 12 июня, 2014 Не на живых же людях Извините я не знал, что CEREC только мёртвым ставят.P.S. По одному кейсу крутые выводы. 1 Ссылка на комментарий
M@estro Опубликовано 12 июня, 2014 Поделиться Опубликовано 12 июня, 2014 Извините я не знал, что CEREC только мёртвым ставят.P.S. По одному кейсу крутые выводы. Вы зря обижаетесь. Немного юмора Ссылка на комментарий
Рекомендуемые сообщения
Для публикации сообщений создайте учётную запись или авторизуйтесь
Вы должны быть пользователем, чтобы оставить комментарий
Создать аккаунт
Зарегистрируйте новый аккаунт в нашем сообществе. Это очень просто!
Регистрация нового пользователяВойти
Уже есть аккаунт? Войти в систему.
Войти