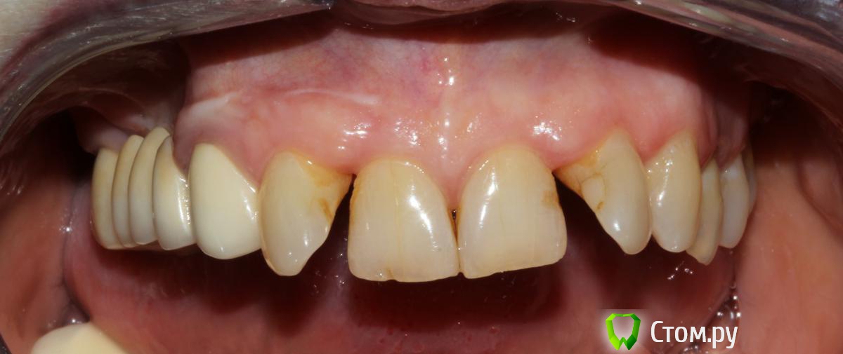
Роман Баранов Опубликовано 8 июня, 2014 Поделиться Опубликовано 8 июня, 2014 Уважаемые коллеги! Выскажите, пожалуйста, свое мнение - можно ли исправить положение зубов в данном случае с помощью непрямых реставраций (в т.ч. бескаркасные конструкции)? Пациентке примерно 50-55 лет, зубы витальные, подвижности нет.На ортодонтию вряд ли согласится!! Заранее спасибо! Ссылка на комментарий
togrul Опубликовано 8 июня, 2014 Поделиться Опубликовано 8 июня, 2014 Зубы будут очень крупные. нужна ортодонтия. Ссылка на комментарий
MenshikovDV Опубликовано 9 июня, 2014 Поделиться Опубликовано 9 июня, 2014 Сделайте Wax up и все станет понятно. Ссылка на комментарий
iБолит Опубликовано 9 июня, 2014 Поделиться Опубликовано 9 июня, 2014 Роман , попробуйте сделать так :12-11 мост21-22 мостНо мостики по 3 ед. Покажите еще фото. Так трудно оценить , но мне кажется возможно сделать из 2 ед 3 ед. Превратив 2ку в клык. Могу ошибаться. Так как по этому фото трудно представить картину полной 1 Ссылка на комментарий
M@estro Опубликовано 9 июня, 2014 Поделиться Опубликовано 9 июня, 2014 Могу ошибаться. Так как по этому фото трудно представить картину полной Денис,мне кажется ,что ошибаешься. Ссылка на комментарий
Art 7 Опубликовано 9 июня, 2014 Поделиться Опубликовано 9 июня, 2014 Если быстро и без ортодонтии, то снятие керамического моста, и протезирование всего верха, двойки скорее всего надо будет депульпировать и выправить направление шкв, на центральных резцах подрезать десну. Тогда думаю будет ок. С ортодонтией думаю будет сложно и есть риск что двойки тогда пойдут на выход. Ссылка на комментарий
Art 7 Опубликовано 9 июня, 2014 Поделиться Опубликовано 9 июня, 2014 Хотя может и с двойками на выход я переборщил. Ссылка на комментарий
Рекомендуемые сообщения
Для публикации сообщений создайте учётную запись или авторизуйтесь
Вы должны быть пользователем, чтобы оставить комментарий
Создать аккаунт
Зарегистрируйте новый аккаунт в нашем сообществе. Это очень просто!
Регистрация нового пользователяВойти
Уже есть аккаунт? Войти в систему.
Войти