KateDav Опубликовано 7 июня, 2014 Поделиться Опубликовано 7 июня, 2014 Здравствуйте!У моего доктора была полная запись и я пошла к другому врачу.Залечили кариозный зуб на радостях записалась на второй прием и побежала домой.Дома в зеркало увидела темное пятно :фотоЭто ведь кариес, да?Как такое может быть? Ссылка на комментарий
KateDav Опубликовано 7 июня, 2014 Автор Поделиться Опубликовано 7 июня, 2014 На первое фото падает свет, остальные немного в тени. Ссылка на комментарий
anvladd Опубликовано 7 июня, 2014 Поделиться Опубликовано 7 июня, 2014 (изменено) Похоже недочистили. Изменено 7 июня, 2014 пользователем anvladd Ссылка на комментарий
Ирина Игоревна Опубликовано 8 июня, 2014 Поделиться Опубликовано 8 июня, 2014 Или материал не плотно утрамбован,и через эмаль просвечивает пустота. В любом случае работа нуждается в исправлении Ссылка на комментарий
KateDav Опубликовано 8 июня, 2014 Автор Поделиться Опубликовано 8 июня, 2014 Спасибо! Ссылка на комментарий
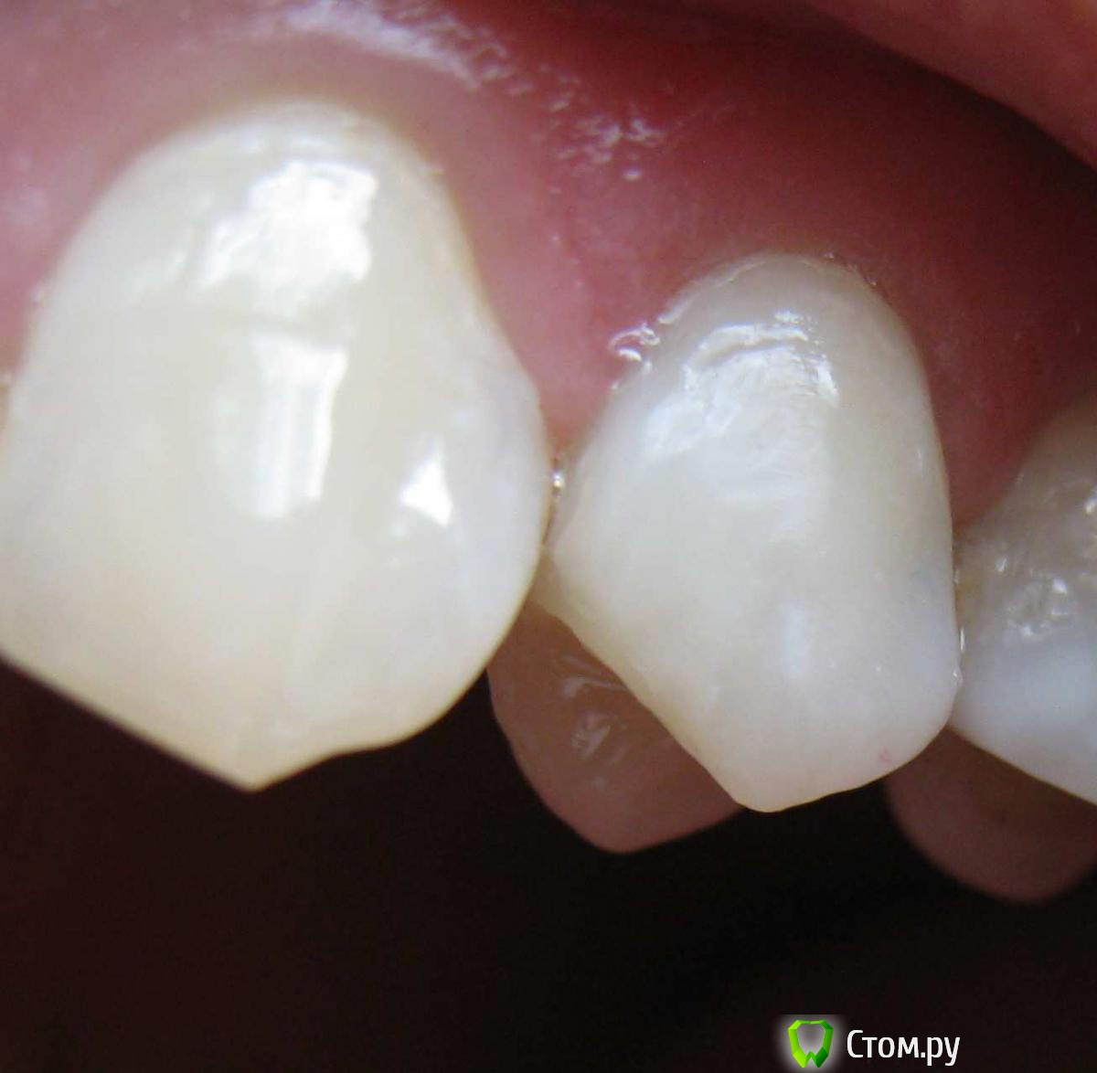
KateDav Опубликовано 9 июня, 2014 Автор Поделиться Опубликовано 9 июня, 2014 Сегодня ездила переделывать этот зуб. Все поправила без вопросов.Два раза повторила, что там нет пустой полости и что просто не хотела ставить большую пломбу потому что зуб жалко.Как считаете, стоит идти повторно к такому доктору?Еще я заметила бледный ободок на соседнем зубе это нормально? Ссылка на комментарий
anvladd Опубликовано 9 июня, 2014 Поделиться Опубликовано 9 июня, 2014 Что значит жалко зуб, сверлить нужно столько сколько требуется. Ссылка на комментарий
Ирина Игоревна Опубликовано 9 июня, 2014 Поделиться Опубликовано 9 июня, 2014 кариес сверлить не должно быть жалко, жалко его оставлять прогрессировать. Идти повторно на прием или нет решать только вам. С соседним зубом ничего страшного нет, возможно при протравливании эмали леченого зуба протравочный гель попал и на соседний. Ничем катастрофичным это не грозит, восстановится через несколько дней. Ссылка на комментарий
Рекомендуемые сообщения
Для публикации сообщений создайте учётную запись или авторизуйтесь
Вы должны быть пользователем, чтобы оставить комментарий
Создать аккаунт
Зарегистрируйте новый аккаунт в нашем сообществе. Это очень просто!
Регистрация нового пользователяВойти
Уже есть аккаунт? Войти в систему.
Войти