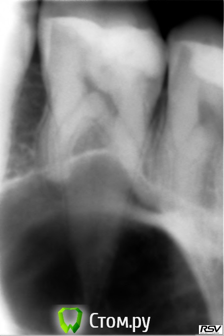
drkr8 Опубликовано 4 июня, 2014 Поделиться Опубликовано 4 июня, 2014 Здравствуйте, хотелось бы услышать оценку данным снимкам, потому что 4 разные клиники говорят разное. Ссылка на комментарий
IvanK Опубликовано 4 июня, 2014 Поделиться Опубликовано 4 июня, 2014 Кистой пугают? Ссылка на комментарий
drkr8 Опубликовано 4 июня, 2014 Автор Поделиться Опубликовано 4 июня, 2014 Кистой пугают? Все верно. Ссылка на комментарий
Гарриевич Опубликовано 5 июня, 2014 Поделиться Опубликовано 5 июня, 2014 Это гайморова пазуха ) 3 Ссылка на комментарий
drkr8 Опубликовано 5 июня, 2014 Автор Поделиться Опубликовано 5 июня, 2014 Хотелось бы услышать комментарий по поводу зуба. Стоматолог клиники сказал, что корни очень далеко идут, пломба очень массивная и давит на него, поэтому зуб нужно удалить. Ссылка на комментарий
faity Опубликовано 5 июня, 2014 Поделиться Опубликовано 5 июня, 2014 удалить всегда успеете, сделайте КТ. сколько полных лет, ещё вопрос? Ссылка на комментарий
drkr8 Опубликовано 5 июня, 2014 Автор Поделиться Опубликовано 5 июня, 2014 удалить всегда успеете, сделайте КТ. сколько полных лет, ещё вопрос?23 Ссылка на комментарий
faity Опубликовано 5 июня, 2014 Поделиться Опубликовано 5 июня, 2014 23тогда врядли недоформировавшиеся верхушки Ссылка на комментарий
drkr8 Опубликовано 5 июня, 2014 Автор Поделиться Опубликовано 5 июня, 2014 (изменено) тогда врядли недоформировавшиеся верхушкиВрядли удалять или не получится лечить? Не могли бы вы конкретизировать, что значит недоформировавшиеся верхушки? Изменено 5 июня, 2014 пользователем drkr8 Ссылка на комментарий
faity Опубликовано 6 июня, 2014 Поделиться Опубликовано 6 июня, 2014 делайте КТ и лечите, потом коронку с вкладкой и никаких пломб Ссылка на комментарий
red_butler Опубликовано 6 июня, 2014 Поделиться Опубликовано 6 июня, 2014 делайте КТ +1 Ссылка на комментарий
dr-krasnov Опубликовано 10 июня, 2014 Поделиться Опубликовано 10 июня, 2014 Можно прицельную в области этого и смежных зубов. Стоит дешевле. Ссылка на комментарий
faity Опубликовано 10 июня, 2014 Поделиться Опубликовано 10 июня, 2014 А можно Можно прицельную в области этого и смежных зубов. Стоит дешевле.А можно диагностический синус сделать, надежнее Ссылка на комментарий
Рекомендуемые сообщения
Для публикации сообщений создайте учётную запись или авторизуйтесь
Вы должны быть пользователем, чтобы оставить комментарий
Создать аккаунт
Зарегистрируйте новый аккаунт в нашем сообществе. Это очень просто!
Регистрация нового пользователяВойти
Уже есть аккаунт? Войти в систему.
Войти