anvladd Опубликовано 22 мая, 2014 Поделиться Опубликовано 22 мая, 2014 Господа, как часто у вас такое случается, что может быть причиной и как вы с этим боретесь?Сегодня прокрутил нобель при 30 нм позиция 2.5,имплант ставили в январе, синуса не было. Уже третий случай за мою небольшую 5 летнюю ортопедическую практику. Загнался.( Ссылка на комментарий
Чертков Александр Опубликовано 22 мая, 2014 Поделиться Опубликовано 22 мая, 2014 Было пару раз. В обоих случаях импланты оставили...более года прошло - полет нормальный. Кстати тоже на Нобеле. Вопросы к ТайЮнайт... Ссылка на комментарий
Sahan Опубликовано 22 мая, 2014 Поделиться Опубликовано 22 мая, 2014 А какойдиаметр имплантатов? У меня раз было с 3i на диаметре 3,25 мм - кости море, десна идеал, временную коронку проносил 8 месяцев на 20 ньютонах. На контрольном Rh убыли кости нет. А когда привинчивал инд абатмент, на 25 ньютонах показалось что начал прокручиваться импл. Сейчас прошло около полугода полет нормальный во рту и на Rh все тихо. Ссылка на комментарий
Bobby Опубликовано 22 мая, 2014 Поделиться Опубликовано 22 мая, 2014 Было пару раз.На конусных системах лучше формирователи и времяшки затягивать не более 10 ньютонов, а то при откручивании может прокрутиться, особенно на в/ч (при условии слабой первичной стабильности в день имплантации). Ссылка на комментарий
Mane Опубликовано 22 мая, 2014 Поделиться Опубликовано 22 мая, 2014 Было пару раз.На конусных системах лучше формирователи и времяшки затягивать не более 10 ньютонов, а то при откручивании может прокрутиться, особенно на в/ч (при условии слабой первичной стабильности в день имплантации).Саш вопрос, как твой хирург "проверяет" интеграцию импланта во время его открытия? Делает ли это вообще? Ссылка на комментарий
anvladd Опубликовано 22 мая, 2014 Автор Поделиться Опубликовано 22 мая, 2014 (изменено) Так что делать то? Завтра снимок выложу.Забыл написать, спозиционировал его в нужном положении и поставил коронку на врем цемент, отправил к хирургу. Изменено 22 мая, 2014 пользователем anvladd 1 1 Ссылка на комментарий
Bobby Опубликовано 22 мая, 2014 Поделиться Опубликовано 22 мая, 2014 Саш вопрос, как твой хирург "проверяет" интеграцию импланта во время его открытия? Делает ли это вообще? А типа моего хирурга у тебя в друзьях нет на FB? ))) Ссылка на комментарий
Evikrol Опубликовано 25 мая, 2014 Поделиться Опубликовано 25 мая, 2014 У меня тоже было один раз. Оставили в лунке но повторной интеграции небыло, переустановили после заживления и отпротезировали. Ссылка на комментарий
Mane Опубликовано 25 мая, 2014 Поделиться Опубликовано 25 мая, 2014 А типа моего хирурга у тебя в друзьях нет на FB? )))ну а что человека дергать? он же сам на форумы не ходит чтоб не терять время на эту писанину. так какой у вас протокол с ним? Ссылка на комментарий
MayTaraki Опубликовано 27 мая, 2014 Поделиться Опубликовано 27 мая, 2014 Уже как пол года пользуюсь остелом, до ортопедов неинтегрированные импланты не доходят Ссылка на комментарий
anvladd Опубликовано 27 мая, 2014 Автор Поделиться Опубликовано 27 мая, 2014 Очень часто пациенты приходит от хирурга на ортопедический этап с оголившимися витками имплантов или же почти оголившимися, через пол года, год при осмотре имплант уже виден. В последний раз отправил обратно к хирургу пусть решает. Что не так подскажите? Ссылка на комментарий
sydnik Опубликовано 27 мая, 2014 Поделиться Опубликовано 27 мая, 2014 anvladdОчень часто пациенты приходит от хирурга на ортопедический этап с оголившимися витками имплантов или же почти оголившимися, через пол года, год при осмотре имплант уже виден. В последний раз отправил обратно к хирургу пусть решает. Что не так подскажите? такое чувство, что работаем в одной организации Ссылка на комментарий
IvanK Опубликовано 27 мая, 2014 Поделиться Опубликовано 27 мая, 2014 сменить хирурга? попросите фотографировать операции, все сразу будет видно Ссылка на комментарий
anvladd Опубликовано 27 мая, 2014 Автор Поделиться Опубликовано 27 мая, 2014 такое чувство, что работаем в одной организации вы хирург? сменить хирурга? попросите фотографировать операции, все сразу будет видносменить не получится да и не хочется,будем собираться обсуждать. 2 Ссылка на комментарий
Rash163 Опубликовано 27 мая, 2014 Поделиться Опубликовано 27 мая, 2014 Так что делать то? Завтра снимок выложу.Забыл написать, спозиционировал его в нужном положении и поставил коронку на врем цемент, отправил к хирургу.Только сейчас заметил, дизлайк( ссори . Айфонама скорее всего) Ссылка на комментарий
bullbull Опубликовано 29 мая, 2014 Поделиться Опубликовано 29 мая, 2014 Уже как пол года пользуюсь остелом, до ортопедов неинтегрированные импланты не доходятЕсли показывает нехорошие цифры (кстати, какие?) то что делаете? Ссылка на комментарий
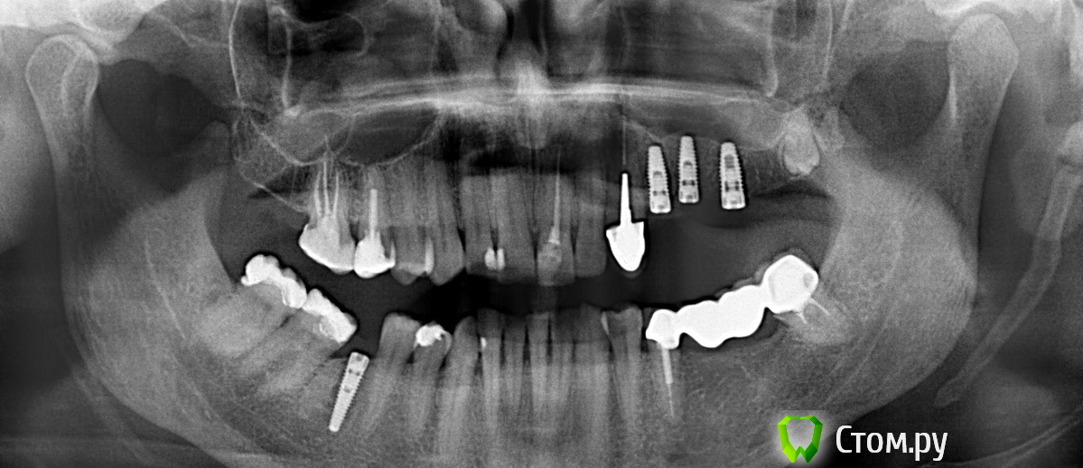
anvladd Опубликовано 2 июня, 2014 Автор Поделиться Опубликовано 2 июня, 2014 доктора что не так с 46? Ссылка на комментарий
zzkz Опубликовано 2 июня, 2014 Поделиться Опубликовано 2 июня, 2014 доктора что не так с 46?там не корень дистальный случаем? Ссылка на комментарий
sydnik Опубликовано 2 июня, 2014 Поделиться Опубликовано 2 июня, 2014 похоже на корень Ссылка на комментарий
anvladd Опубликовано 4 июня, 2014 Автор Поделиться Опубликовано 4 июня, 2014 (изменено) Так что делать то? Завтра снимок выложу.Забыл написать, спозиционировал его в нужном положении и поставил коронку на врем цемент, отправил к хирургу.снимок в день прокручивания импланта 2.5 Изменено 4 июня, 2014 пользователем anvladd Ссылка на комментарий
MayTaraki Опубликовано 4 июня, 2014 Поделиться Опубликовано 4 июня, 2014 Если показывает нехорошие цифры (кстати, какие?) то что делаете?Интеграция от 60-65 и выше ... Максимум видел 87...Самый низкий показатель был 37 и вокруг импланта был фиброз .., легко выкрутил... А внешне так и не скажешь Ссылка на комментарий
samsonov Опубликовано 4 июня, 2014 Поделиться Опубликовано 4 июня, 2014 Интеграция от 60-65 и выше ... Максимум видел 87...Самый низкий показатель был 37 и вокруг импланта был фиброз .., легко выкрутил... А внешне так и не скажешьПростите,в каких единицах Ваши показатели? Ссылка на комментарий
MayTaraki Опубликовано 4 июня, 2014 Поделиться Опубликовано 4 июня, 2014 Простите,в каких единицах Ваши показатели?Isq или по русски КСИ ( коэфицент стабильности импланта) Ссылка на комментарий
Heatshock Опубликовано 4 июня, 2014 Поделиться Опубликовано 4 июня, 2014 прокручивался нобель раз 6астра пару раза мис вообще не прокручивался никогда. Даже не знаю, что и думать) хирурги разные. У 1 на процентов прокрутов больше раза в 3, чем у второго) Ссылка на комментарий
IvanK Опубликовано 4 июня, 2014 Поделиться Опубликовано 4 июня, 2014 прокручивался нобель раз 6астра пару раза мис вообще не прокручивался никогда. Даже не знаю, что и думать) хирурги разные. У 1 на процентов прокрутов больше раза в 3, чем у второго)все винты прокручиваются)) а бывает и так: проверил - не прокрутил, а у ортопеда прокрутился))Вот и проверяй 1 Ссылка на комментарий
Рекомендуемые сообщения
Для публикации сообщений создайте учётную запись или авторизуйтесь
Вы должны быть пользователем, чтобы оставить комментарий
Создать аккаунт
Зарегистрируйте новый аккаунт в нашем сообществе. Это очень просто!
Регистрация нового пользователяВойти
Уже есть аккаунт? Войти в систему.
Войти