gsp Опубликовано 21 мая, 2014 Поделиться Опубликовано 21 мая, 2014 Добрый день. Мне какое-то время назад поставили коронку на 16.Мне доставляет неудобство то что создается ощущение пустоты в это месте (ощущение что коронка не касается антагониста).Коронка имеет какб-то необычную форму (по моим понятиям) форму (картинка, прошу прощения не понял как ссылку в текст вставить - не работает у меня) Вопрос: это какой-то метод такой или надо идти переделывать?Врач не сказал мне что будет делать что-то необычное по каким-то показаниям. Ссылка на комментарий
Korel Опубликовано 25 мая, 2014 Поделиться Опубликовано 25 мая, 2014 Нужен R-снимок. Ссылка на комментарий
IvanK Опубликовано 26 мая, 2014 Поделиться Опубликовано 26 мая, 2014 http://forum.stom.ru/topic/20613-sovety-patcientam-obiazatelno-k-prochteniiu/ Ссылка на комментарий
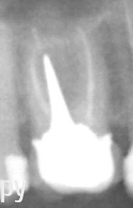
gsp Опубликовано 26 мая, 2014 Автор Поделиться Опубликовано 26 мая, 2014 Так? Скажите пожалуйста - я везде читаю что кладки делаю многоногие, а тут одна нога - есть ли минусы? А возможно ли коронку доделать (композитом например). Мне эстетики скорее всего хватит, а вот риск для корня пугает. Ссылка на комментарий
Evikrol Опубликовано 26 мая, 2014 Поделиться Опубликовано 26 мая, 2014 Вкладка отличная, необходимости многоногой вкладки нет. По рентгеновскому снимку нарушения прилегания коронки нет, претензий нет. Ссылка на комментарий
Korel Опубликовано 26 мая, 2014 Поделиться Опубликовано 26 мая, 2014 Вкладка отличная, необходимости многоногой вкладки нет. По рентгеновскому снимку нарушения прилегания коронки нет, претензий нет. +1 Ссылка на комментарий
gsp Опубликовано 26 мая, 2014 Автор Поделиться Опубликовано 26 мая, 2014 Спасибо.Вот тем и обиднее снимать коронку, которая еще и денег прилично стоит.Здорово было бы ее восстановить композитом до нужной формы.Коронка не касается антагониста и в ней приличное углубление - из-за этого эта сторона опирается на резцы премоляры (правильно назвал?)Неудобно и кажется что сторона "висит". Ссылка на комментарий
gsp Опубликовано 26 мая, 2014 Автор Поделиться Опубликовано 26 мая, 2014 А какие еще бывают нарушения в прилегании коронки кроме "наползания" краев? Ссылка на комментарий
red_butler Опубликовано 27 мая, 2014 Поделиться Опубликовано 27 мая, 2014 (изменено) Здорово было бы ее восстановить композитом до нужной формы.это невозможно Коронка не касается антагониста и в ней приличное углубление - из-за этого эта сторона опирается на резцы премоляры (правильно назвал?) Неудобно и кажется что сторона "висит".это мы знаем только с Ваших слов, нужен очный осмотр. Попробуйте обратиться к своему врачу, или сходите на консультацию к другому. А какие еще бывают нарушения в прилегании коронки кроме "наползания" краев?"щели" между культей зуба и коронкой Изменено 27 мая, 2014 пользователем red_butler Ссылка на комментарий
gsp Опубликовано 27 мая, 2014 Автор Поделиться Опубликовано 27 мая, 2014 Понятно что по снимку не разглядишь.Клиника согласна переделать.Мне хотелось бы просто сформировать понимание насколько рискованно снимать ДЦ коронку и каков риск повредить корень.И поэтому я готов к компромиссу в эстетике если это позволит снизить эту вероятность. Ссылка на комментарий
Рекомендуемые сообщения
Для публикации сообщений создайте учётную запись или авторизуйтесь
Вы должны быть пользователем, чтобы оставить комментарий
Создать аккаунт
Зарегистрируйте новый аккаунт в нашем сообществе. Это очень просто!
Регистрация нового пользователяВойти
Уже есть аккаунт? Войти в систему.
Войти