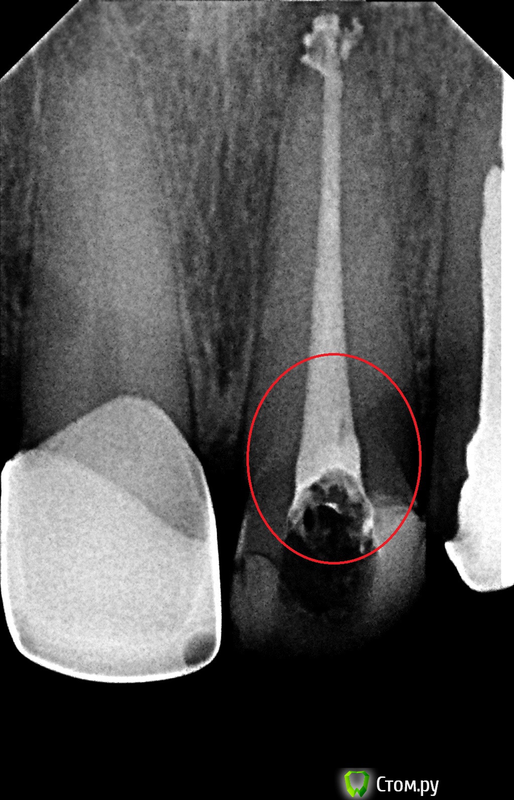
Татьяна Николаевна Опубликовано 20 мая, 2014 Поделиться Опубликовано 20 мая, 2014 Здравствуйте. Недавно пролечила верхний резец в частном кабинете. Сейчас пришла протезироваться в поликлинику, врач- ортопед сказала, что зуб пролечен плохо, материал вышел из канала, надо перелечить. Меня он никак не беспокоит.В кабинете где я его лечила пломбировали его по моему каким то горячим способом. Снимок прилагаю, зуб отметила. Ссылка на комментарий
sydnik Опубликовано 20 мая, 2014 Поделиться Опубликовано 20 мая, 2014 Здравствуйте. материал немного вышел,но ничего страшного в этом нет.может сходите на консультацию к другому ортопеду 1 Ссылка на комментарий
Гарриевич Опубликовано 20 мая, 2014 Поделиться Опубликовано 20 мая, 2014 Пролечен зуб в пределах нормы. Если ортопед сказал именно "перелечить", то смените ортопеда и перелечивать не надо будет) 1 Ссылка на комментарий
red_butler Опубликовано 20 мая, 2014 Поделиться Опубликовано 20 мая, 2014 Плюсуюсь, хорошо пролечен Ссылка на комментарий
Рекомендуемые сообщения
Для публикации сообщений создайте учётную запись или авторизуйтесь
Вы должны быть пользователем, чтобы оставить комментарий
Создать аккаунт
Зарегистрируйте новый аккаунт в нашем сообществе. Это очень просто!
Регистрация нового пользователяВойти
Уже есть аккаунт? Войти в систему.
Войти