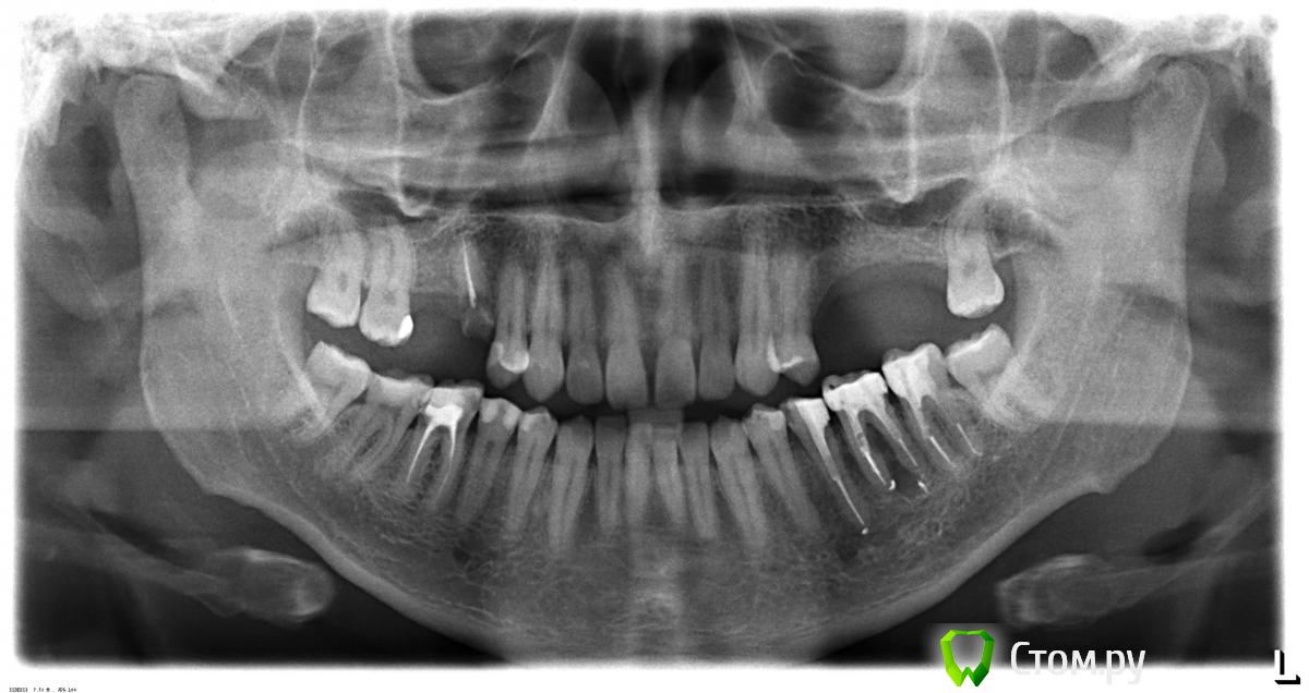
olegff Опубликовано 19 мая, 2014 Поделиться Опубликовано 19 мая, 2014 Добрый день, назрела необходимость заняться протезированием. Оптимальным видится вариант с имплантацией. Прошу проконсультировать по объему работ, снимок прилагаю. Готов "отдаться" в умелые руки знающего специалиста в Москве или области Большое спасибо! Ссылка на комментарий
sydnik Опубликовано 19 мая, 2014 Поделиться Опубликовано 19 мая, 2014 добрый день,правая сторона ---удаление 5-ки(корень) и 2 импланталевая----операция синуслифт и 3 импланта( возможно 2 ,во рту надо смотреть)сам не хирург, но думаю все эти манипуляции можно провести одномоментно и обязательно КТ Ссылка на комментарий
olegff Опубликовано 19 мая, 2014 Автор Поделиться Опубликовано 19 мая, 2014 сам не хирург, но думаю все эти манипуляции можно провести одномоментно и обязательно КТ Спасибо, про КТ само собой. А по нижней челюсти как? Ссылка на комментарий
Bier Опубликовано 19 мая, 2014 Поделиться Опубликовано 19 мая, 2014 Внизу 46 - перелечить, 35 и 37 под коронки, 36 удалить. Можно мост, можно имплантат. В данном случае и тот и другой методы подойдут. Ссылка на комментарий
Mane Опубликовано 22 мая, 2014 Поделиться Опубликовано 22 мая, 2014 1. Удаление 15 и 362. Импланты 16,15, 25,26,27,363. Открытый синус лифтинг слева4. Возможно закрытый синус лифтинг справа. 5. Ревизия каналов 37,35,466. Восттановление культей 37,35,46 7. Протезирование и зубов 35,37,46 и имплантов коронками. Ссылка на комментарий
Рекомендуемые сообщения
Для публикации сообщений создайте учётную запись или авторизуйтесь
Вы должны быть пользователем, чтобы оставить комментарий
Создать аккаунт
Зарегистрируйте новый аккаунт в нашем сообществе. Это очень просто!
Регистрация нового пользователяВойти
Уже есть аккаунт? Войти в систему.
Войти