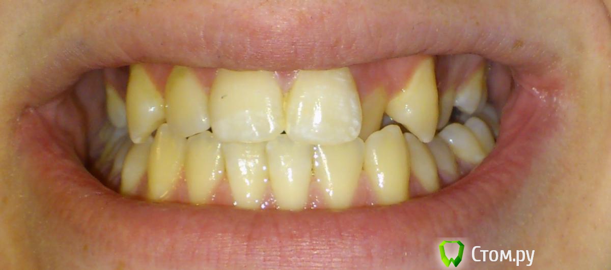
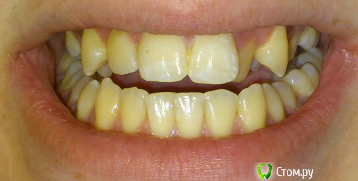
Verafe123 Опубликовано 3 мая, 2014 Поделиться Опубликовано 3 мая, 2014 Здравствуйте, такая ситуация, хотел бы исправить зубы. Посоветуйте, что можно сделать в данной ситуации? Желательно, чтобы подешевле было. Возраст (20 лет) Ссылка на комментарий
Ayrat_zub Опубликовано 3 мая, 2014 Поделиться Опубликовано 3 мая, 2014 http://forum.stom.ru/topic/4655-patcientam/ ситуация поправимая) Ссылка на комментарий
IvanK Опубликовано 7 мая, 2014 Поделиться Опубликовано 7 мая, 2014 Чайзер??? Праворульный? Да, да) И как? Много кушает? Какой движок?пользуйтесь личкой Ссылка на комментарий
Рекомендуемые сообщения
Для публикации сообщений создайте учётную запись или авторизуйтесь
Вы должны быть пользователем, чтобы оставить комментарий
Создать аккаунт
Зарегистрируйте новый аккаунт в нашем сообществе. Это очень просто!
Регистрация нового пользователяВойти
Уже есть аккаунт? Войти в систему.
Войти