zzkz Опубликовано 29 апреля, 2014 Поделиться Опубликовано 29 апреля, 2014 У пациентки десневая улыбка, зениты в разнобой и рецессии с обоих сторон верхней челюсти. Жду воск, каппу и по ней коррекцию зенитов двух центр резцовДалее закрыть рецессии. Если получится сразу обе стороны.Удастся ли тут тоннельной методикой? Или все таки лоскуты откинуть?Сомневаюсь будет ли ССТ такой длины, чтобы закрыть сразу в области 3-х зубов? Ссылка на комментарий
Ст@ся Опубликовано 29 апреля, 2014 Поделиться Опубликовано 29 апреля, 2014 ССТ на 3 зуба? Да можно и на большее количество...http://images.vfl.ru/ii/1398787675/16d4b0d4/4987224.jpg 3 Ссылка на комментарий
zzkz Опубликовано 29 апреля, 2014 Автор Поделиться Опубликовано 29 апреля, 2014 попробую столько отхряпатьВы бы в таком случае тоннелем сделали? Ссылка на комментарий
Ст@ся Опубликовано 29 апреля, 2014 Поделиться Опубликовано 29 апреля, 2014 попробую столько отхряпатьВы бы в таком случае тоннелем сделали?Только туннелем. 1 Ссылка на комментарий
Рубцова Опубликовано 29 апреля, 2014 Поделиться Опубликовано 29 апреля, 2014 Уважаемая Анастасия. Я только начинаю заниматься мягкотканными операциями и Ваше мнение очень важно для меня. Как получилось выкроить сст такой длины и допускается ли не полное перекрытие его лоскутом ? Ссылка на комментарий
CSS Опубликовано 29 апреля, 2014 Поделиться Опубликовано 29 апреля, 2014 ССТ на 3 зуба? Да можно и на большее количество...http://images.vfl.ru/ii/1398787675/16d4b0d4/4987224.jpgНасть, покажи зону забора??? :-))) Ссылка на комментарий
CSS Опубликовано 29 апреля, 2014 Поделиться Опубликовано 29 апреля, 2014 ССТ на 3 зуба? Да можно и на большее количество...Ты точно с неба брала??? ;-)))) а то по длине, похоже, что немного с другого местечка!!! :-))))))))) Ссылка на комментарий
Ст@ся Опубликовано 29 апреля, 2014 Поделиться Опубликовано 29 апреля, 2014 Насть, покажи зону забора??? :-)))Макс, могу показать ушитую рану http://images.vfl.ru/ii/1398795225/7397f7e2/4988592.jpg 4 Ссылка на комментарий
Mane Опубликовано 29 апреля, 2014 Поделиться Опубликовано 29 апреля, 2014 сст такой длины сложно взять а вот взять сдт и деэпиелизировать его - это не так сложноу вас хороший кейс для показательной операцииделайте по методике антона скулеана - только тоннелем и все получитсяудачи! 1 Ссылка на комментарий
Doctorstomlis Опубликовано 30 апреля, 2014 Поделиться Опубликовано 30 апреля, 2014 ССТ на 3 зуба? Да можно и на большее количество... Это взято с какого по какой зуб,если не секрет? Ссылка на комментарий
Ст@ся Опубликовано 30 апреля, 2014 Поделиться Опубликовано 30 апреля, 2014 Это взято с какого по какой зуб,если не секрет?От второго моляра до клыка. Ссылка на комментарий
Ст@ся Опубликовано 30 апреля, 2014 Поделиться Опубликовано 30 апреля, 2014 Уважаемая Анастасия. Я только начинаю заниматься мягкотканными операциями и Ваше мнение очень важно для меня. Как получилось выкроить сст такой длины и допускается ли не полное перекрытие его лоскутом ?Скулеан говорит о допустимости 1/3 экспозиции трансплантата.Я стараюсь так поступать в исключительных случаях. Ссылка на комментарий
zzkz Опубликовано 30 апреля, 2014 Автор Поделиться Опубликовано 30 апреля, 2014 сст такой длины сложно взять а вот взять сдт и деэпиелизировать его - это не так сложноу вас хороший кейс для показательной операцииделайте по методике антона скулеана - только тоннелем и все получитсяудачи!спасибо.А про методику по Скулеану где почитать? или только курсы? Ссылка на комментарий
zzkz Опубликовано 30 апреля, 2014 Автор Поделиться Опубликовано 30 апреля, 2014 Скулеан говорит о допустимости 1/3 экспозиции трансплантата.Я стараюсь так поступать в исключительных случаях.Вы немного мобилизуете слизистую и тянете к дефекту? А ССТ стараетесь полностью прикрыть. Я правильно понимаю? Ссылка на комментарий
Doctorstomlis Опубликовано 30 апреля, 2014 Поделиться Опубликовано 30 апреля, 2014 ССТ на 3 зуба? Да можно и на большее количество...http://images.vfl.ru/ii/1398787675/16d4b0d4/4987224.jpgЧто за салфеточка? Ссылка на комментарий
Ст@ся Опубликовано 30 апреля, 2014 Поделиться Опубликовано 30 апреля, 2014 спасибо.А про методику по Скулеану где почитать? или только курсы?Методика Скулеана это и есть туннельная методика, множество кейсов с которой уже выложено на форуме. Ссылка на комментарий
zzkz Опубликовано 30 апреля, 2014 Автор Поделиться Опубликовано 30 апреля, 2014 Методика Скулеана это и есть туннельная методика, множество кейсов с которой уже выложено на форуме.Да я так большинство работ делал благодаря этому форуму, но там был подкреплен еще теорией.Хочется основываясь на этом сделать. Так то тут представлено уйма супер кейсов, и ваших тоже. Я их если не все, то большинство перечитал и не по разу, Если бы мог по ним на 100% учиться и делать, наверно стал бы уже профессором Ссылка на комментарий
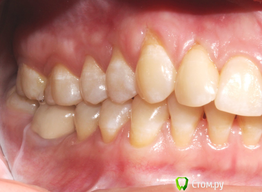
zzkz Опубликовано 30 апреля, 2014 Автор Поделиться Опубликовано 30 апреля, 2014 IMG_2193.JPG Можно ли тут решить вопрос о клиническом удлинении на 2мм., не трогая кость только иссечением? Или нарастет опять? Ссылка на комментарий
DoktorDre Опубликовано 30 апреля, 2014 Поделиться Опубликовано 30 апреля, 2014 Господа опытные хирурги, почему вы говорите "только тоннельно"? Методику Зуччели, коронарно смещенный лоскут+ диэп сдт вы не приветсвуете? Если да, почему? Ссылка на комментарий
zzkz Опубликовано 1 мая, 2014 Автор Поделиться Опубликовано 1 мая, 2014 Господа опытные хирурги, почему вы говорите "только тоннельно"? Методику Зуччели, коронарно смещенный лоскут+ диэп сдт вы не приветсвуете? Если да, почему?Полулунным разрезом? слишком ограниченные показания, небольшой дефект закроете а как тут не пойдет мне кажется Ссылка на комментарий
Рекомендуемые сообщения
Для публикации сообщений создайте учётную запись или авторизуйтесь
Вы должны быть пользователем, чтобы оставить комментарий
Создать аккаунт
Зарегистрируйте новый аккаунт в нашем сообществе. Это очень просто!
Регистрация нового пользователяВойти
Уже есть аккаунт? Войти в систему.
Войти