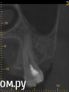
Анатолий М Опубликовано 21 апреля, 2014 Поделиться Опубликовано 21 апреля, 2014 Добрый день. Помогите пожалуйста.17 зуб (верхняя семерка с права). Пол года назад был депульпирован. Все это время присутствуют боли под этим зубом по симптомам очень похожие на кисту (распирание, боль ноющая не сильная, то появляется то сама собой изчезает. при перкуссии 17 зуб слегка болезненный). 2 месяца наза решили зуб перелечить. На ОПТГ ситуация до перелечивания. По снимку видно что первоначальное лечение было проведено плохо. Корни были плохо пройдены и плохо заполены цементом.Месяц хождения с гидроокисью кальция на воде никакого эфекта не дали. Врачи считают что под зубом есть киста. И предлагают удалить зуб. Так как перелечивание не помогло.Прилагаю снимок КЛКТ после лечения. Зуб все еще под временной пломбой. Из трех врачей лишь один разгледел на КЛКТ кисту под 17 зубом. Два других ни на КЛКТ ни на прицельных никакой кисты не видят. Направили к неврологу. Думают что киста если она и есть (в чем они не уверены) не дает имеющихся симптомов.Пожалуйста посмотрите на КЛКТ. Есть ли там киста или нет? И могут ли боли быть от нее?Заранее спасибо. Ссылка на комментарий
red_butler Опубликовано 21 апреля, 2014 Поделиться Опубликовано 21 апреля, 2014 Кт после постоянного пломбирования корневых каналов? Есть снимки во время лечения и контрольный после? Ссылка на комментарий
Анатолий М Опубликовано 21 апреля, 2014 Автор Поделиться Опубликовано 21 апреля, 2014 КТ до лечения. Эту пломбу вскрыли. Каналы полностью проработали и поставили лекарство. 3 раза меняли по принципу 3дня+3нед+4недели. Ниже приложен КТ контрольный через месяц лечения. Сейчас в каналах лекарство. Кт после постоянного пломбирования корневых каналов? Есть снимки во время лечения и контрольный после? Ссылка на комментарий
red_butler Опубликовано 21 апреля, 2014 Поделиться Опубликовано 21 апреля, 2014 Снимок во время лечения делали? Коффердам и оптика использовались? На кт в тех срезах что Вы выложили кисты не вижу Ссылка на комментарий
Гарриевич Опубликовано 21 апреля, 2014 Поделиться Опубликовано 21 апреля, 2014 Кисты по снимкам нет. Удалять зуб ,по снимкам, причин нет Ссылка на комментарий
Анатолий М Опубликовано 21 апреля, 2014 Автор Поделиться Опубликовано 21 апреля, 2014 Снимок во время лечения делали? Коффердам и оптика использовались? На кт в тех срезах что Вы выложили кисты не вижу Снимки во время лечения делали три раза прицельные с иголками в каналах. Но они остались у врача. У меня их нет. Но она по ним кисты не видела. Коффердам использовали только при первом посещении когда вскрывали старую пломбу и прорабатывали каналы. При последующих посещениях при смене лекарст его не использовали так как кольцо на зубе плохо держалось и постоянно слетало. Плюс травмировало десну.Микроскоп использовали все три раза. По словам врача (врач высшей категории эндодонтист зав отделением):При вскрытии старой пломбы каналы практически не заполены цементирующим составом. Иструмент при вскрытии пломбы в каналы проваливался. Хотя стояла постоянна пломба. Из трех каналов лишь один был проработан до верхушки корня. Два других либо до половины либо на треть. Врачь полностью прошла все каналы и даже залезла за апекс. туда при первом пломбировании врач даже не пыталась лезть. При третьем посещении врач констатировала что каналы чистые. Никаких признаков инфекции нет. И белезненная перкуссия от чего то другого. Специально проводила ревизию каналов при втором и третьем посещении без анастезии что бы понять где болит. Но так и не поняла. Повела на консультацию к профессору в их стоматологи. Посмотрев контрольную КТ он сказал что там киста и надо удалять зуб! Похоже что мой врач с ним не очень согласна, хотя и спорить не стала поэтому отправила меня на консультацию к неврологу. Ниже срезы конрольного КТ после месяца лечения гидрооксидом кальция на воде. Срезы по дуге. Сделал как смог. Шаг срезов как я понимаю 1мм. Линия по перек дуги снимок номер 1 (см нумерацию в конце названия файла) Ссылка на комментарий
DmitrySH Опубликовано 21 апреля, 2014 Поделиться Опубликовано 21 апреля, 2014 Аналогично, никаких признаков воспаления в костной ткани вокруг зуба не увидел. Ссылка на комментарий
ромашечка Опубликовано 21 апреля, 2014 Поделиться Опубликовано 21 апреля, 2014 (изменено) Месяц хождения с гидроокисью кальция на воде никакого эфекта не дали. Зуб все еще под временной пломбой В каналах всё ещё гидроокись?? даже залезла за апекс?? Зачем? При третьем посещении врач констатировала что каналы чистые. Никаких признаков инфекции нет. И белезненная перкуссия от чего то другого. Специально проводила ревизию каналов при втором и третьем посещении без анастезии что бы понять где болит. Может у меня пробелы какие- но я не понимаю такой тактики. Болезненная перкуссия вполне может быть от того что каналы пустые или временно запломбированнны. Но мой взгляд , дотаточно качественно запломбировать ПОСТОЯННО каналы и проблема должна исчезнуть. Кисты не вижу. Изменено 21 апреля, 2014 пользователем ромашечка 1 Ссылка на комментарий
red_butler Опубликовано 22 апреля, 2014 Поделиться Опубликовано 22 апреля, 2014 достаточно качественно запломбировать ПОСТОЯННО каналы +1 Ссылка на комментарий
Анатолий М Опубликовано 22 апреля, 2014 Автор Поделиться Опубликовано 22 апреля, 2014 В каналах все еще гидроокись. Я просил врача поставить постоянную пломбу еще 3 недели назад и оставить зуб в покое. Но она говорит что боится закрывать зуб так как думает что там и вправду может быть киста. Хотя сама ее на снимках не видит. То что там есть киста мнение одного из 3 врачей которые смотрели меня в кресле и КТ во всех возможных срезах. Два остальных включая моего врача ничего подозрительного не видят. Врачь сказала ходи пока с временной пломбой. Проконсультируйся с неврологом. И если невролог потвердит что проблема стоматологиечская то 17 зуб кандидат на удаление. Вариант с депофорезом она впринципе не рассматривает.В любом случае всем спасибо за консультацию. Думаю что никакой кисты там и вправду нет. Попробую попасть к неврологу. А дальше будет видно. Ссылка на комментарий
igorstom Опубликовано 26 апреля, 2014 Поделиться Опубликовано 26 апреля, 2014 (изменено) Понятие кисты двоякое. Кистой можно назвать полостное образование размером на рентгеновском снимке более 8 мм в диаметре. Ну а есть понятие гистологическое. Тут размер не имеет значения. А результаты гистологического исследования - эпителиальная выстилка и клеточные элементы. В практике, по крайней мере у нас на Урале доктора часто "кистами" называют даже незначительные округлые элементы на верхушках корней. Так что причин на мой взгляд для беспокойства нет. А вот пустота каналов лично меня насторожила бы. Гидроокись кальция всё-таки рентгеноконтрастна, хоть и незначительно. Но и этого я не увидел на снимках. Но это только моё вИдение. Изменено 26 апреля, 2014 пользователем igorstom 1 Ссылка на комментарий
Рекомендуемые сообщения
Для публикации сообщений создайте учётную запись или авторизуйтесь
Вы должны быть пользователем, чтобы оставить комментарий
Создать аккаунт
Зарегистрируйте новый аккаунт в нашем сообществе. Это очень просто!
Регистрация нового пользователяВойти
Уже есть аккаунт? Войти в систему.
Войти