Перейти к содержанию
Стоматология для всех

Помогите с ответом, пожалуйста!


Рекомендуемые сообщения

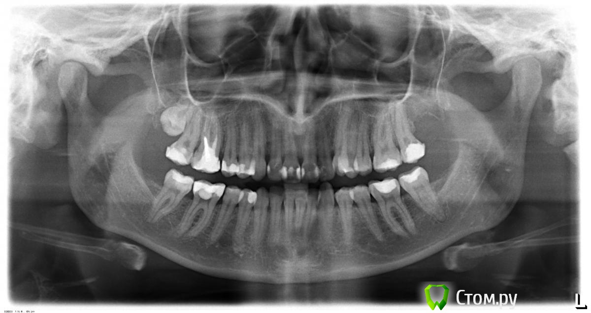
Здравствуйте! :)  Могли бы Вы  определить по снимку ..есть необходимость проводить кюретаж зубов ? 

так ли необходима эта операция .. и  если все таки провести кюретаж какие зубы нужно лечить ( по нумерации )?

 Если Вам не сложно ответьте , пожалуйста, на мой вопрос .. 

post-38527-0-71510700-1397915116_thumb.jpg

Ссылка на комментарий

Для публикации сообщений создайте учётную запись или авторизуйтесь

Вы должны быть пользователем, чтобы оставить комментарий

Создать аккаунт

Зарегистрируйте новый аккаунт в нашем сообществе. Это очень просто!

Регистрация нового пользователя

Войти

Уже есть аккаунт? Войти в систему.

Войти
×
×
  • Создать...
Вверх