Pavel-Pskov Опубликовано 17 апреля, 2014 Поделиться Опубликовано 17 апреля, 2014 Есть несколько работ на узких имплантах 3.0 мм . Тоже маленько кость наросла. 3 Ссылка на комментарий
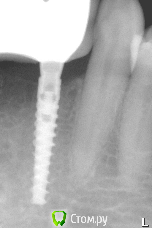
red_butler Опубликовано 17 апреля, 2014 Поделиться Опубликовано 17 апреля, 2014 (изменено) Разделом промахнулись.Я бы сказал - кость не наросла, кость не ушла после субкрестальной установки Изменено 17 апреля, 2014 пользователем red_butler Ссылка на комментарий
Bier Опубликовано 17 апреля, 2014 Поделиться Опубликовано 17 апреля, 2014 А какой срок наблюдения? 1 Ссылка на комментарий
bullbull Опубликовано 17 апреля, 2014 Поделиться Опубликовано 17 апреля, 2014 А какой срок наблюдения?Присоединяюсь к вопросу. Интересна первичная ситуация: какова ширина была? Ссылка на комментарий
Доктор Хаус Опубликовано 18 апреля, 2014 Поделиться Опубликовано 18 апреля, 2014 альфа био ченджибл? Ссылка на комментарий
Pavel-Pskov Опубликовано 18 апреля, 2014 Автор Поделиться Опубликовано 18 апреля, 2014 А какой срок наблюдения?Два года. Ссылка на комментарий
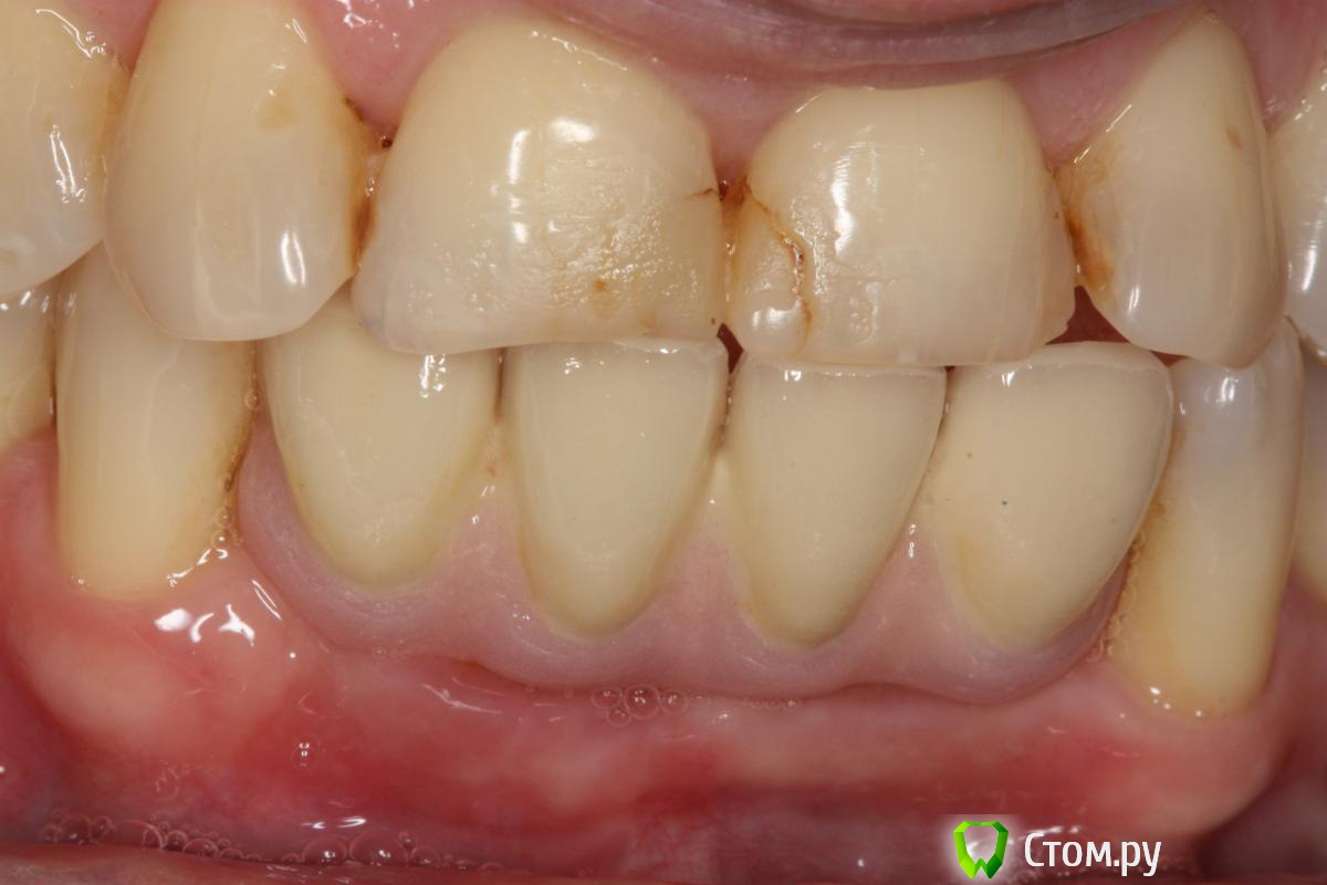
Pavel-Pskov Опубликовано 18 апреля, 2014 Автор Поделиться Опубликовано 18 апреля, 2014 Присоединяюсь к вопросу. Интересна первичная ситуация: какова ширина была?5-6 мм. Одномоментно с удалением. 41 и 31 были вообще не в кости 42 и 32 где то на 2-3 мм. Ссылка на комментарий
Pavel-Pskov Опубликовано 18 апреля, 2014 Автор Поделиться Опубликовано 18 апреля, 2014 альфа био ченджибл?ADIN NP. Сейчас еще интереснее тройки есть, пока наблюдаю. Ссылка на комментарий
Pavel-Pskov Опубликовано 18 апреля, 2014 Автор Поделиться Опубликовано 18 апреля, 2014 Разделом промахнулись.Я бы сказал - кость не наросла, кость не ушла после субкрестальной установкиНа RG где один имплант год назад , где два сейчас. Небольшая разница есть по моему. Ссылка на комментарий
bullbull Опубликовано 21 апреля, 2014 Поделиться Опубликовано 21 апреля, 2014 Есть ли у Вас подобные работы на в/ч? Имеется включенный дефект 24. Толщина кости не более 6. Поставить узкий или пытаться наростить? Ссылка на комментарий
Strelok96 Опубликовано 21 апреля, 2014 Поделиться Опубликовано 21 апреля, 2014 Есть ли у Вас подобные работы на в/ч? Имеется включенный дефект 24. Толщина кости не более 6. Поставить узкий или пытаться наростить? А почему не 3.75 с нкр, если понадобится? Ссылка на комментарий
Pavel-Pskov Опубликовано 29 апреля, 2014 Автор Поделиться Опубликовано 29 апреля, 2014 Есть ли у Вас подобные работы на в/ч? Имеется включенный дефект 24. Толщина кости не более 6. Поставить узкий или пытаться наростить?Есть , но срок наблюдений не очень большой. Ссылка на комментарий
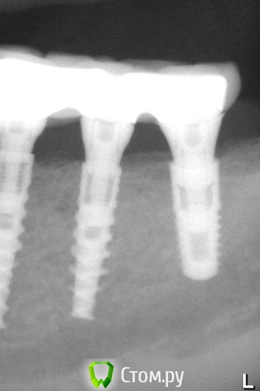
Pavel-Pskov Опубликовано 4 ноября, 2014 Автор Поделиться Опубликовано 4 ноября, 2014 Еще пара снимков.Через год. Ссылка на комментарий
АнтонТЛТ Опубликовано 4 ноября, 2014 Поделиться Опубликовано 4 ноября, 2014 Какие-то странные абатменты, как-будто в имплантаты заходят на 1мм. Ссылка на комментарий
pigmaleon Опубликовано 4 ноября, 2014 Поделиться Опубликовано 4 ноября, 2014 подскажите, почему при такой толщине не поставить 3.75? Ссылка на комментарий
syrovovec Опубликовано 4 ноября, 2014 Поделиться Опубликовано 4 ноября, 2014 В Adin NP вроде как конусное соединение? Ссылка на комментарий
pigmaleon Опубликовано 4 ноября, 2014 Поделиться Опубликовано 4 ноября, 2014 В Adin NP вроде как конусное соединение?нет, шестигранник 1 Ссылка на комментарий
doca Опубликовано 4 ноября, 2014 Поделиться Опубликовано 4 ноября, 2014 нет, шестигранникнет ,конус 1 Ссылка на комментарий
doca Опубликовано 4 ноября, 2014 Поделиться Опубликовано 4 ноября, 2014 Какие-то странные абатменты, как-будто в имплантаты заходят на 1мм.техник ,по ходу, подрезал их зачем-то. может быть там винтовая фиксация с вклейкой Ссылка на комментарий
doca Опубликовано 4 ноября, 2014 Поделиться Опубликовано 4 ноября, 2014 Какие-то странные абатменты, как-будто в имплантаты заходят на 1мм.в стартовом сообщении абатменты нормальные Ссылка на комментарий
АнтонТЛТ Опубликовано 4 ноября, 2014 Поделиться Опубликовано 4 ноября, 2014 в стартовом сообщении абатменты нормальныеНу там другой кейс)На втором, как будто один трансфер не по размеру у среднего имплантата, конуса не видно просто фаска-углубление. Там не видно и переключения платформы у трансфера.А если сравнивать абатмент у дистального и мезиальных имплантатов, то разница видна Ссылка на комментарий
pigmaleon Опубликовано 6 ноября, 2014 Поделиться Опубликовано 6 ноября, 2014 нет ,конусдаже на сайте у них картинки есть))) Ссылка на комментарий
Pavel-Pskov Опубликовано 6 ноября, 2014 Автор Поделиться Опубликовано 6 ноября, 2014 техник ,по ходу, подрезал их зачем-то. может быть там винтовая фиксация с вклейкойДа. Ссылка на комментарий
Pavel-Pskov Опубликовано 6 ноября, 2014 Автор Поделиться Опубликовано 6 ноября, 2014 Ну там другой кейс)На втором, как будто один трансфер не по размеру у среднего имплантата, конуса не видно просто фаска-углубление. Там не видно и переключения платформы у трансфера.А если сравнивать абатмент у дистального и мезиальных имплантатов, то разница виднаДистальный 3,8. Ссылка на комментарий
Pavel-Pskov Опубликовано 6 ноября, 2014 Автор Поделиться Опубликовано 6 ноября, 2014 подскажите, почему при такой толщине не поставить 3.75?НА медиальных 2-3 витка вестибулярно были не в кости , пришлось подсыпаться под ламину. Ссылка на комментарий
Рекомендуемые сообщения
Для публикации сообщений создайте учётную запись или авторизуйтесь
Вы должны быть пользователем, чтобы оставить комментарий
Создать аккаунт
Зарегистрируйте новый аккаунт в нашем сообществе. Это очень просто!
Регистрация нового пользователяВойти
Уже есть аккаунт? Войти в систему.
Войти