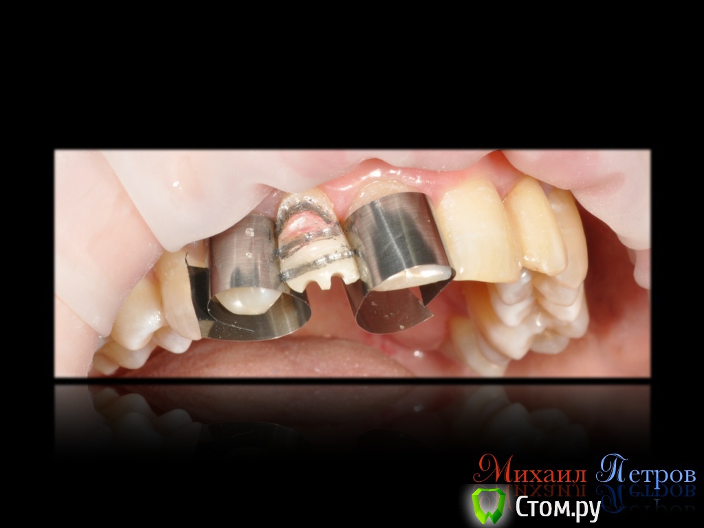
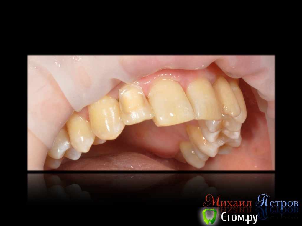
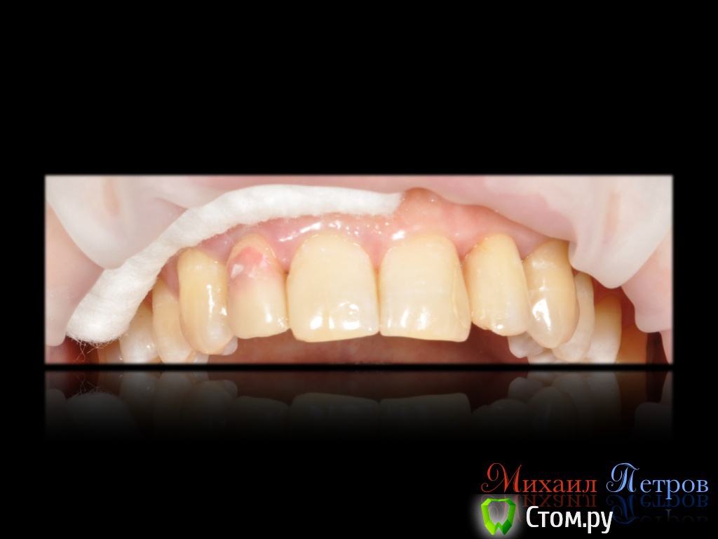
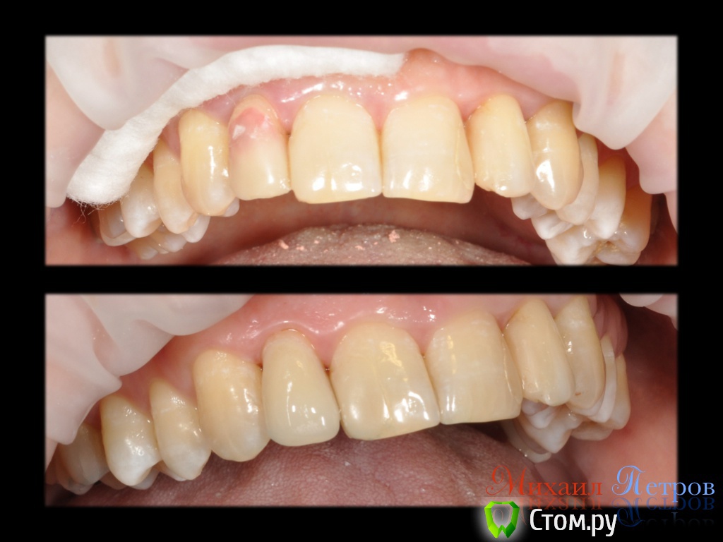
DR.P Опубликовано 8 апреля, 2014 Поделиться Опубликовано 8 апреля, 2014 (изменено) Добрый день! Хочу поделиться случаем. Изготовлен один винир на зуб 1.2. Прошу извинить за качество фотографий, сделанных в первое посещение: стояли другие настройки. Изменено 8 апреля, 2014 пользователем DR.P 2 Ссылка на комментарий
Bobby Опубликовано 8 апреля, 2014 Поделиться Опубликовано 8 апреля, 2014 Достойно. Ссылка на комментарий
Lolopop Опубликовано 8 апреля, 2014 Поделиться Опубликовано 8 апреля, 2014 в какой системе кад делали? Ссылка на комментарий
iБолит Опубликовано 8 апреля, 2014 Поделиться Опубликовано 8 апреля, 2014 Михаил работа хорошая, но Вам надо немного изменить угол съемки . Фотографируйте с небольшим нисходящим углом по центру. Фотографии будут выглядеть интереснее Спасибо за работу ! Ссылка на комментарий
DR.P Опубликовано 8 апреля, 2014 Автор Поделиться Опубликовано 8 апреля, 2014 Достойно.Спасибо! Старался. Ссылка на комментарий
DR.P Опубликовано 8 апреля, 2014 Автор Поделиться Опубликовано 8 апреля, 2014 Михаил работа хорошая, но Вам надо немного изменить угол съемки . Фотографируйте с небольшим нисходящим углом по центру. Фотографии будут выглядеть интереснее Спасибо за работу !Спасибо! Поэкспериментирую с углом съемки. Ссылка на комментарий
DR.P Опубликовано 8 апреля, 2014 Автор Поделиться Опубликовано 8 апреля, 2014 в какой системе кад делали?Уточню у техника - напишу. Ссылка на комментарий
Рекомендуемые сообщения
Для публикации сообщений создайте учётную запись или авторизуйтесь
Вы должны быть пользователем, чтобы оставить комментарий
Создать аккаунт
Зарегистрируйте новый аккаунт в нашем сообществе. Это очень просто!
Регистрация нового пользователяВойти
Уже есть аккаунт? Войти в систему.
Войти