Асем Опубликовано 3 апреля, 2014 Поделиться Опубликовано 3 апреля, 2014 Здравствуйте!хотела проконсультироваться. была у ортодонта, она мне сказала поставить брекеты. так как идет смешение. сделала снимок. сказали надо удалить зубы мудрости. но, они у меня под деснами. теперь вопрос нужно ли мне удалять зуб мудрости? или брекеты и потом можно удалить зубы? как быть? Ссылка на комментарий
IvanK Опубликовано 3 апреля, 2014 Поделиться Опубликовано 3 апреля, 2014 Здравствуйтеhttp://forum.stom.ru/topic/4655-patcientam/ 8ки, скорее всего, на удаление 1 Ссылка на комментарий
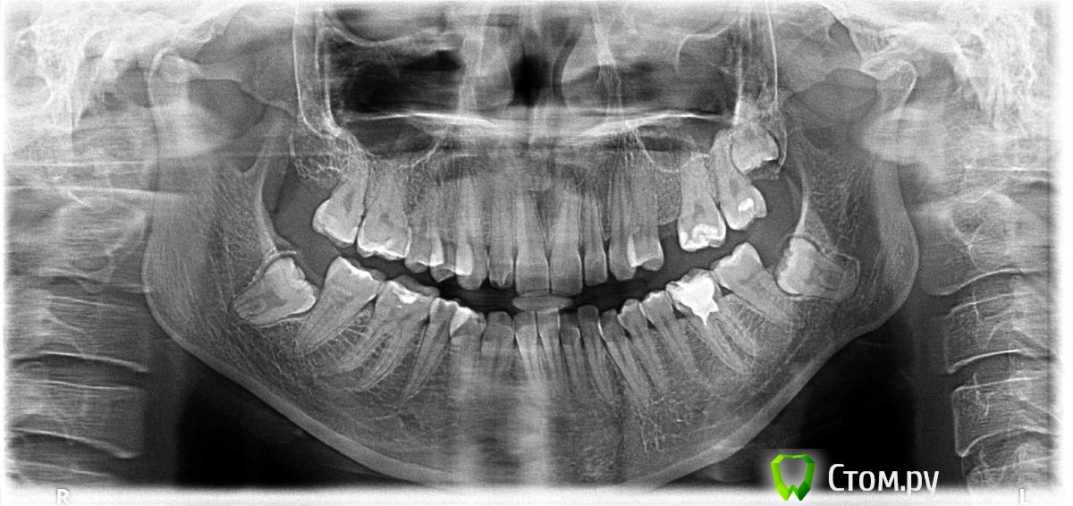
Асем Опубликовано 3 апреля, 2014 Автор Поделиться Опубликовано 3 апреля, 2014 удалить все три 8-ки??? Ссылка на комментарий
red_butler Опубликовано 4 апреля, 2014 Поделиться Опубликовано 4 апреля, 2014 (изменено) удалить все три 8-ки???да, все три, окончательно решит ортодонт. Зуб 4.6 (шестой внизу слева) до ортодонтии перелечить у эндодонтиста Изменено 4 апреля, 2014 пользователем red_butler Ссылка на комментарий
IvanK Опубликовано 5 апреля, 2014 Поделиться Опубликовано 5 апреля, 2014 удалить все три 8-ки???Да. Ссылка на комментарий
Фазлиев Азат Ильдусович Опубликовано 5 апреля, 2014 Поделиться Опубликовано 5 апреля, 2014 да, все три, окончательно решит ортодонт. Зуб 4.6 (шестой внизу слева) до ортодонтии перелечить у эндодонтистаДумаю произошла опечатка- зуб 3.6 Ссылка на комментарий
red_butler Опубликовано 5 апреля, 2014 Поделиться Опубликовано 5 апреля, 2014 Думаю произошла опечатка- зуб 3.6спасибо, конечно 3.6 Ссылка на комментарий
Рекомендуемые сообщения
Для публикации сообщений создайте учётную запись или авторизуйтесь
Вы должны быть пользователем, чтобы оставить комментарий
Создать аккаунт
Зарегистрируйте новый аккаунт в нашем сообществе. Это очень просто!
Регистрация нового пользователяВойти
Уже есть аккаунт? Войти в систему.
Войти