Л-Ф Опубликовано 1 апреля, 2014 Поделиться Опубликовано 1 апреля, 2014 Здравствуйте! 5 марта мне пролечили нижний слева 5 зуб.Просверлили и сразу поставили пломбу.Когда прошла анестезия,зуб начал помаленьку давать сигналы боли.Я решила потерпеть и полечить самостоятельно.По моим ощущениям болело не внутри зуба,а с краю ,между десной и зубом в сторону щеки.Начала мазать Холисалом.При смазывании чувствовала жжение.Вечером пила обезболивающие.Через три дня пошла в аптеку и купила бальзам Асепта и раствор Пародонтоцид.Через две недели решила посетить стоматолога вновь.При осмотре она брызгала чем-то и от этого мне было больно в области десна и зуба.Она чем-то произвела обработку .Но через три дня я вновь обратилась к стоматологу,так как ноющие боли не проходили и надоели головные боли.Она вновь провела обработку и сказала мне попытаться полоскать растворимыми таблетками Paro care,а в случае если боли не пройдут придти к ней и она удалит нервы.Я решила терпеливо недельку полоскать этими таблетками.Одним словом 31 марта я пришла к ней и она сделала мне анастезию ( было такое чувство,что колола дубинкой,а не иглой) Потом удалила пломбу и вытащила нервы,прочистила и чем то там закладывала.Поставила временую пломбу и записала на прием 21 апреля.В данный момент меня беспокоит боль уже не того характера,как было до этого,а при смыкании зуба на зуб чувство боли десны и большая синюшность десны.при надавливании рукой на облость десны у зуба,тоже боль.Как мне быть? Что делать дальше? Стоит подождать или обратится к другому специалисту? Может нужны какие то физио процедуры?PS-15 мая у меня запись к парадонтологу.Хочу зубы почистить. Ссылка на комментарий
Гарриевич Опубликовано 1 апреля, 2014 Поделиться Опубликовано 1 апреля, 2014 Разместитн рентгенснимки пожалуйста Ссылка на комментарий
Л-Ф Опубликовано 2 апреля, 2014 Автор Поделиться Опубликовано 2 апреля, 2014 Разместитн рентгенснимки пожалуйстаБолит при надавливании на зуб десна и синяк на десне Ссылка на комментарий
Гарриевич Опубликовано 2 апреля, 2014 Поделиться Опубликовано 2 апреля, 2014 У Вас должны быть еще снимки, после удаления нерва Ссылка на комментарий
Л-Ф Опубликовано 2 апреля, 2014 Автор Поделиться Опубликовано 2 апреля, 2014 (изменено) У Вас должны быть еще снимки, после удаления нерваК сожалению,ни ДО ни ПОСЛЕ мне не делали снимки.Это я уже в платной сегодня сделала.Сейчас стоит временная,белая пломбаЭти снимки с временной пломбойДобавлю,что зуб немножко подвижный...немногоЕще вопрос.Удален ли у меня нерв полностью?И в сом низу зуба очертания какие то....может там воспаление? или мне кажется Изменено 2 апреля, 2014 пользователем Л-Ф Ссылка на комментарий
Гарриевич Опубликовано 2 апреля, 2014 Поделиться Опубликовано 2 апреля, 2014 Синяк у Вас, это гематома после укола, такое бывает... пройдет. Корневой канал еще не запдомбирован, поэтому сказать, что то о качестве не могу. Един ственный момент который сильно смущает это отсутствие снимков в процессе работы Ссылка на комментарий
Л-Ф Опубликовано 2 апреля, 2014 Автор Поделиться Опубликовано 2 апреля, 2014 (изменено) Синяк у Вас, это гематома после укола, такое бывает... пройдет. Корневой канал еще не запдомбирован, поэтому сказать, что то о качестве не могу. Един ственный момент который сильно смущает это отсутствие снимков в процессе работыВот спасибо за ответ.Ваш вопрос про снимки меня тоже смутил.Хотя до этого сама тоже подумала,почему бы после моих жалоб не сделать элементарный снимок,прежде чем нервы доставать.Ну теперь я грамотная буду .После пломбировки сделаю еще снимок. Изменено 2 апреля, 2014 пользователем Л-Ф Ссылка на комментарий
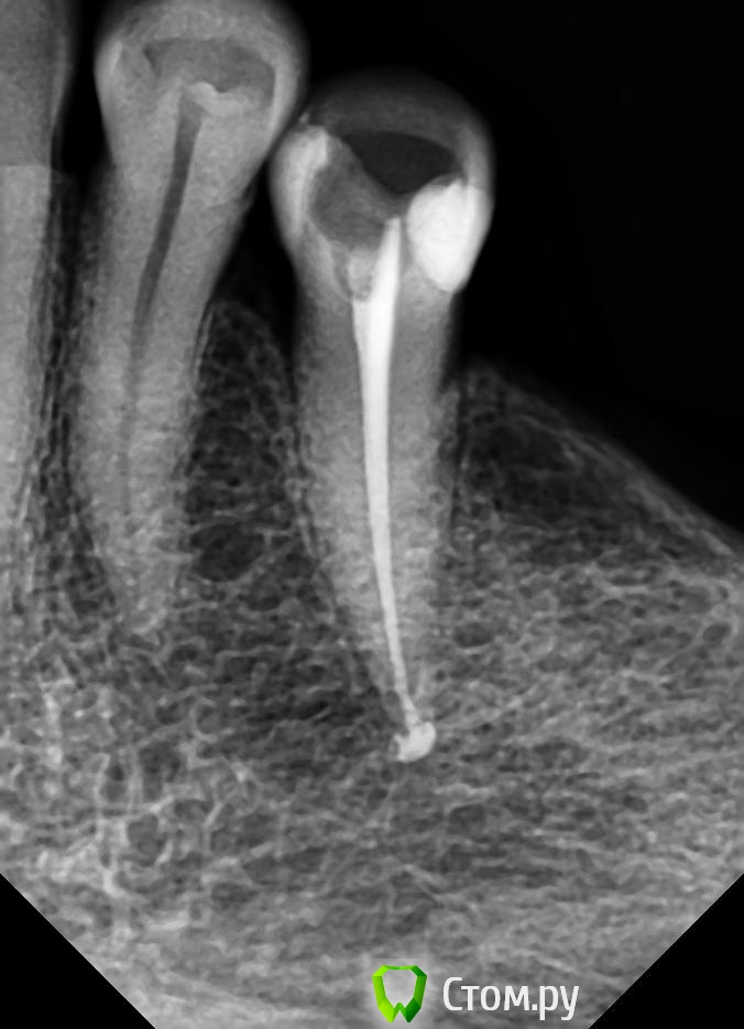
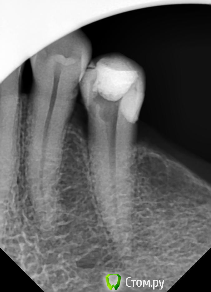
Л-Ф Опубликовано 23 апреля, 2014 Автор Поделиться Опубликовано 23 апреля, 2014 (изменено) Синяк у Вас, это гематома после укола, такое бывает... пройдет. Корневой канал еще не запдомбирован, поэтому сказать, что то о качестве не могу. Един ственный момент который сильно смущает это отсутствие снимков в процессе работыЗдравствуйте! Одним словом я обращалась далее в Стоматологическую больничку,в смотровой кабинет.По поводу ноющей боли.Мне убрали временную пломбу,почистили и закрыли опять временной пломбой.Боль сразу прошла и все было замечательно.Вот теперь 21 числа сходила и поставили постоянную пломбу.Вроде сразу ничего не болело при надкусывании на зуб сутки.А теперь появилась второй день боль при надкусывании острая и так ноющая немного,голова болит.Посмотрите пожалуйста снимок и дайте совет.Как мне быть.Однозначно у врача кривые руки.Что-то у нее не получается по хорошему.Почему,когда она мне запихивала пломбу в каналы у меня была боль,ведь мне убрали нервы.Почему сейчас вновь появилась боль ,по ощущению в корне зуба?Один снимок с временой пломбировкой,другой еще не совсем закрыт,только канал.Потом закрылиНомер зуба 35 Изменено 23 апреля, 2014 пользователем Л-Ф Ссылка на комментарий
sydnik Опубликовано 23 апреля, 2014 Поделиться Опубликовано 23 апреля, 2014 Здравствуйте!не ругайте врача(наверное долго лечила, вас это и насторожило ,ведь раньше пару минут и все готово ) ,по снимку все красиво,боль пройдет через пару дней 1 Ссылка на комментарий
Гарриевич Опубликовано 23 апреля, 2014 Поделиться Опубликовано 23 апреля, 2014 Снимок нормальный Болевые рецепторы у нас есть не только в нерве зуба, они есть еще и вокруг корня и где их только нет поэтому чувствовали боль когда материал выходил за верхушку корня, это ничего страшного, все пройдет Ссылка на комментарий
red_butler Опубликовано 23 апреля, 2014 Поделиться Опубликовано 23 апреля, 2014 Все хорошо, боль пройдет. Обязательно сделайте коронку. Судя по Вашему настрою, смена врача устроит и Вас и вашего стоматолога Ссылка на комментарий
Л-Ф Опубликовано 23 апреля, 2014 Автор Поделиться Опубликовано 23 апреля, 2014 (изменено) Все хорошо, боль пройдет. Обязательно сделайте коронку. Судя по Вашему настрою, смена врача устроит и Вас и вашего стоматологаНу да.Раньше как-то не было таких проблем.Поставят пломбу,часа 3 поболит после наркоза и все....А тут зуб вообще не болел,что она там нашла? Вот и ковыряет,ковыряет.....Почему сразу после установки пломбы не болело сутки,а сейчас острая боль при надавливании....Вот в смотровом до этого у врача,наверное руки с правильного места растут...Прочистила так нежно,хорошо и поставила пломбу временно,говорит обезболивающее какое-то новое.Все как рукой сняло...Теперь опять терпеть.Как ругаться не будешь,когда все так тупо.Еще вот нашла махонький кариес на переднем зуде...так я теперь к ней не пойду.Угробит еще передний,потом что делать......Нет уж...руки у некоторых из попы,это точно!!! Сегодня ходила ,просила снимки мне дать.Оказывается не так просто Свое же получить.Надо заявление написать,пойти к заведующей подписать,а ее не было.Регистраторша сказала,оставляйте у нас,мы подпишем и вы потом придете.Ага...это еще раз специально ехать? Пошла в рентген кабинет и говорю девушке...давайте избежим как то бюрократии,выдайте мне снимки.Ладно девчонка не бюрократка,взяла заявление и выдала снимки..... Обхохочешься с этими премудростями.... Изменено 23 апреля, 2014 пользователем Л-Ф Ссылка на комментарий
Л-Ф Опубликовано 23 апреля, 2014 Автор Поделиться Опубликовано 23 апреля, 2014 (изменено) Снимок нормальный Болевые рецепторы у нас есть не только в нерве зуба, они есть еще и вокруг корня и где их только нет поэтому чувствовали боль когда материал выходил за верхушку корня, это ничего страшного, все пройдет Да уж...пройдет.Опять терпеть,опять голова болеть начнет....Ну потерплю до понедельника.....А почему вдруг заболело не сразу,а потом....А разве правильно,что материал вышел за корень? Изменено 23 апреля, 2014 пользователем Л-Ф Ссылка на комментарий
Л-Ф Опубликовано 23 апреля, 2014 Автор Поделиться Опубликовано 23 апреля, 2014 Здравствуйте!не ругайте врача(наверное долго лечила, вас это и насторожило ,ведь раньше пару минут и все готово ) ,по снимку все красиво,боль пройдет через пару днейСпасибо .Да уж долго лечила.....С чего бы только.Зуб нормальный был,взяла и угробила 3 Ссылка на комментарий
Л-Ф Опубликовано 23 апреля, 2014 Автор Поделиться Опубликовано 23 апреля, 2014 Вот я сделала Контраст снимка в программе и увидала,что плохо запломбировано внизу у корня....... Проверьте,кто-нибудь хорошенько.Боль острая.при смыкании зубов Ссылка на комментарий
Л-Ф Опубликовано 24 апреля, 2014 Автор Поделиться Опубликовано 24 апреля, 2014 Вот пожалуйста,сделала фото корня зуба с Контастом.Тут ясно видно плохое заполнение.Как вы считаете? Жду советы Ссылка на комментарий
red_butler Опубликовано 24 апреля, 2014 Поделиться Опубликовано 24 апреля, 2014 канал нормально запакован Ссылка на комментарий
Гарриевич Опубликовано 24 апреля, 2014 Поделиться Опубликовано 24 апреля, 2014 В пределах канала корня все плотно запломбировано Ссылка на комментарий
Рекомендуемые сообщения
Для публикации сообщений создайте учётную запись или авторизуйтесь
Вы должны быть пользователем, чтобы оставить комментарий
Создать аккаунт
Зарегистрируйте новый аккаунт в нашем сообществе. Это очень просто!
Регистрация нового пользователяВойти
Уже есть аккаунт? Войти в систему.
Войти