Перейти к содержанию
Стоматология для всех

Помогите с мезиальным прикусом


pocoloco

Рекомендуемые сообщения

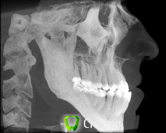
Здравствуйте! Мне 27 лет.  Очень вас прошу дать свою оценку моей ситуации. У меня сложная ситуация, я уже обошел многие ортодонтические кабинеты своего города и все говорят разное. У меня мезальный прикус, но своим профилем я доволен, я всем доволен, кроме того что у меня неправильный прикус (верхние резцы заходили за нижние и были вогнуты вовнутрь) и кривые зубки.Сейчас по рекомендации одного ортодонта ношу капу чтобы верхние резцы перепрыгнули, но теперь и это занятие меня сильно беспокоит, хотя ношу всего месяц и уже попадает зуб на зуб. Главный мой вопрос таков: "Возможно ли в моей ситуации исправить прикус без операции?" Спасибо за ответы!

post-38179-0-24546300-1395673429_thumb.jpg

post-38179-0-83784700-1395673501_thumb.jpg

post-38179-0-97307500-1395673527_thumb.jpg

post-38179-0-60467900-1395673555_thumb.jpg

post-38179-0-38699000-1395673775_thumb.jpg

post-38179-0-76177600-1395673784_thumb.jpg

Ссылка на комментарий

Здравствуйте! Мне 27 лет.  Очень вас прошу дать свою оценку моей ситуации. У меня сложная ситуация, я уже обошел многие ортодонтические кабинеты своего города и все говорят разное. У меня мезальный прикус, но своим профилем я доволен, я всем доволен, кроме того что у меня неправильный прикус (верхние резцы заходили за нижние и были вогнуты вовнутрь) и кривые зубки.Сейчас по рекомендации одного ортодонта ношу капу чтобы верхние резцы перепрыгнули, но теперь и это занятие меня сильно беспокоит, хотя ношу всего месяц и уже попадает зуб на зуб. Главный мой вопрос таков: "Возможно ли в моей ситуации исправить прикус без операции?" Спасибо за ответы!

можно, еще ТРГ надо, 

Ссылка на комментарий

Для публикации сообщений создайте учётную запись или авторизуйтесь

Вы должны быть пользователем, чтобы оставить комментарий

Создать аккаунт

Зарегистрируйте новый аккаунт в нашем сообществе. Это очень просто!

Регистрация нового пользователя

Войти

Уже есть аккаунт? Войти в систему.

Войти
×
×
  • Создать...
Вверх