sorriso Опубликовано 20 марта, 2014 Поделиться Опубликовано 20 марта, 2014 Коллеги,нужна ваша помощь. Пришла вчера девочка 11 лет,по направлению от ортодонта. Брекет-система зафиксирована 7 мес назад. Со слов мамы несколько месяцев назад появились белые пятна на зубах. В общем,ситуация не из легких(. Колоссальная деминерализация эмали,причем пятна даже на зубах,не включенных в брекеты. Гигиена на уровне. С фронтальных зубов в области пришейки уже скололась эмаль до дентина. Из анамнеза в течение года принимает на ночь леденцы для рассасывания от першения в горле. Как помочь? Думаю назначить ROCS Minerals в каппы на дом,а уж дефекты закрывать терапевтически.Или ортопедическими конструкциями? Однозначно снимать брекеты. Голова кругом((( Может дело в слюне? Сфотографирую в понедельник,а сейчас в инете нашла похожую фотографию,только если убрать из виду гингивит 1 Ссылка на комментарий
CRAZYDUCK Опубликовано 20 марта, 2014 Поделиться Опубликовано 20 марта, 2014 (изменено) брекеты снять гигиену проконтролировать и нормализовать ( уверена, что не на уровне ) запломбировать дефекты каппу с роксом про диету расспросить( пепси, колу исключить) причину першения в горле выяснить ( возможно системная патология)скорее всего гипоплазия до брекетов была, гигиена скорее всего страдала , может сейчас постаралась почистить плюс сладкие леденцы на ночь ( зло) Изменено 20 марта, 2014 пользователем CRAZYDUCK 1 Ссылка на комментарий
sorriso Опубликовано 21 марта, 2014 Автор Поделиться Опубликовано 21 марта, 2014 Про пепси уточню. Оксан,а какой курс ремотерапии ты обычно назначаешь?Рокс пробовала? Ссылка на комментарий
sorriso Опубликовано 21 марта, 2014 Автор Поделиться Опубликовано 21 марта, 2014 Про леденцы я им сразу сказала,что зло. Направила к лору Ссылка на комментарий
Mikhail_29_rus Опубликовано 21 марта, 2014 Поделиться Опубликовано 21 марта, 2014 Вместо Rocs геля мне больше нравиться использовать гель Tooth Mousse (GC) в каппы для рем.терапии. Распросить, какой з.пастой пользуется? Если низкофтористой (F=1000 ppm) то повысить до 1500ppm (например ELmex Юниор). Кратность чистки зубов увеличить до 3-4 раз в день. И конечно же, скорректировать диету и ограничить сахар. И наблюдать ее, и каждый прием фотографировать, чтобы увидеть положительную динамику. Успехов. 1 Ссылка на комментарий
sorriso Опубликовано 21 марта, 2014 Автор Поделиться Опубликовано 21 марта, 2014 Вместо Rocs геля мне больше нравиться использовать гель Tooth Mousse (GC) в каппы для рем.терапии. Распросить, какой з.пастой пользуется? Если низкофтористой (F=1000 ppm) то повысить до 1500ppm (например ELmex Юниор). Кратность чистки зубов увеличить до 3-4 раз в день. И конечно же, скорректировать диету и ограничить сахар. И наблюдать ее, и каждый прием фотографировать, чтобы увидеть положительную динамику. Успехов.Спасибо,что с нами!)) Михаил,а какая у Вас схема с Tooth Mousse? Очаги с дефектами пломбировать или позже? Ссылка на комментарий
CRAZYDUCK Опубликовано 21 марта, 2014 Поделиться Опубликовано 21 марта, 2014 (изменено) Я в начале деятельности пробовала туз мусс и рокс одинаково, но остановилась на роксе ( его проще пациентам купить), на курс 2 месяца (1,5) чистить зубы пастой без фтора ( рокс 0-3), новая щетка ( без следов пасты со фтором) и каппы техник делает ( до 7 можно, если они еще не прорезались). Эффект от всего одинаково хороший , если чистят хорошо , приходят на контрольный урок гигиены. Позже выложу фото деминерализации от пепси. Плюс Рокс медикам минералз - ее можно детям с аллергией, а туз мусс нельзя пациентам с аллергией на молоко и бензодиазепины. Перед нанесением рокс медикам минералз обязательно паста без фтора ( компоненты геля реагируют со фтором и образуются соединения , которые не проникает в эмаль ) . Про туз мусс тоже так думала , Mikhail_29_rus , Вы , наоборот с высоким содержанием фтора назначаете пасты?Насчет пломбирования - делаю сразу, раньше назначала курс ремотерапии и после него пломбировала, но не увидела большого эффекта , если уже есть нарушение эмалево - дентин ной границы, то , считаю, лучше сразу пломбировать . Изменено 21 марта, 2014 пользователем CRAZYDUCK 2 Ссылка на комментарий
Mikhail_29_rus Опубликовано 21 марта, 2014 Поделиться Опубликовано 21 марта, 2014 Я сторонник доказательной медицины, в частности, стоматологии. Поэтому Tooth Mousse - это мой выбор, тк есть международные клинические исследования , доказывающие эффективность СРР-АСР (Казеин Фосфопептид - Аморфный Кальций Фосфат) соединения. С Доказательной базой по Роску все не так безоблачно. Rocs назначал и рекомендовал схемы по Федорову (могу ошибаться ), но сейчас почти не применяю в практике (только с аллергией на молоко или тем кто не может купить мусс). Бесфтористые пасты раньше назначал когда пациенты проходили курсы рем.терапии с Са (наследие университета). Но , современные клинические исследования по де- и ре-минерализации эмали указывают на необходимость постоянного использования фторидов у пациентов с высоким риском кариеса зубов. В другой ветке выкладывал наисвежайшую монографию по зубным пастам, где это описано, правда, на английском. У меня в Архангельске, как и в большинстве районов области коммунального Фторирования питьевой воды нет- поэтому бесфтористые зубные пасты это путь к стоматологу причем сначала к бесплатному на ОМС , а лишь потом к нам чуть позже в данной ветке могу выложить подход к очаговой деминерализации эмали после ортодонтического лечения известного в мире норвежского ортодонта Bjorn Zachrisson (он самостоятельно готовит раствор из пемзы, глицерин и еще что -то и этом абразивным раствором полируют деминерализованную поверхность попутно проводя рем.терапию ). 3 Ссылка на комментарий
CRAZYDUCK Опубликовано 21 марта, 2014 Поделиться Опубликовано 21 марта, 2014 применять пасту без фтора рекомендуют(настаивают ) сами распространители ( во время ремотерапии роксом). Но ! я думаю, что смысла часто делать фото нет, так как действительный результат возможен через год ремотерапии ( курс 2 мес- перерыв 2 мес). еще зависит от того , как ответственно пациенты настроены . Мне оба препарата нравятся , но легче Рокс купить , поэтому его чаще применяют. Каппы на всю ночь и днем , если может носить дома. Ссылка на комментарий
Джима Опубликовано 22 марта, 2014 Поделиться Опубликовано 22 марта, 2014 sorriso, а есть что-нибудь для "кабинетного" фторирования, на месте? несколько сеансов бы... имхо, пока подействует тусс мусс, она последнюю эмаль может выплюнуть. а рокс, имхо, и близко подействовать не успеет.к коле +. соки ещё исключить надо.про леденцы от першения на ночь. Что за дурацкая привычка и после чего она появилась? Может, банально увлажнитель воздуха в комнате поставить? Кстати, сухой воздух в спальне тоже способствует деминерализации, потому что во рту пересыхает. дефекты может пока временно не композитом запломбировать? СИЦ? про брекеты. как Вы их снимаете? не получится ли так, что вместе с ними и эмаль уйдёт? 3 Ссылка на комментарий
sorriso Опубликовано 23 марта, 2014 Автор Поделиться Опубликовано 23 марта, 2014 sorriso, а есть что-нибудь для "кабинетного" фторирования, на месте? несколько сеансов бы... имхо, пока подействует тусс мусс, она последнюю эмаль может выплюнуть. а рокс, имхо, и близко подействовать не успеет.к коле +. соки ещё исключить надо.про леденцы от першения на ночь. Что за дурацкая привычка и после чего она появилась? Может, банально увлажнитель воздуха в комнате поставить? Кстати, сухой воздух в спальне тоже способствует деминерализации, потому что во рту пересыхает. дефекты может пока временно не композитом запломбировать? СИЦ? про брекеты. как Вы их снимаете? не получится ли так, что вместе с ними и эмаль уйдёт?Я маме тоже начала говорить про влажность воздуха в комнате,но там такие тараканы в голове,что ... Из кабинетного фторирования Sultan и Bifluorid12.Один раз аппликацию с султаном мы уже сделали в первое посещение. Нашла в клинике Рокс,а вот Тус Мус у нас мед техники не возят,по инету что ли заказать? Подумываю,какую каппу сделать жесткую,как для ретенции,или мягкую... Дефекты тоже решила СИЦем сделать,но вот как препарировать с брекетами? Ссылка на комментарий
CRAZYDUCK Опубликовано 23 марта, 2014 Поделиться Опубликовано 23 марта, 2014 (изменено) Я маме тоже начала говорить про влажность воздуха в комнате,но там такие тараканы в голове,что ... Из кабинетного фторирования Sultan и Bifluorid12.Один раз аппликацию с султаном мы уже сделали в первое посещение. Нашла в клинике Рокс,а вот Тус Мус у нас мед техники не возят,по инету что ли заказать? Подумываю,какую каппу сделать жесткую,как для ретенции,или мягкую... Дефекты тоже решила СИЦем сделать,но вот как препарировать с брекетами? никак, береты снять , лучше мягкую каппу , думаю о ретенции речи не должно быть, тк случай не доведен ортодонтом до конца ( к мягкой ей легче будет привыкнуть). А насчет снятия брекетов с эмалью - думаю не слетит эмаль, под брекетами как раз эмаль самая полноценная ( если можно в таком случае ее так охарактеризовать), деминерализация по контуру брекета идет, хотя не известно какая эмаль была до фиксации. Я во вторник выложу фото , раньше не могу. Если честно , в таких ситуациях ремотерапия не очень эффективна . Я своему брату после пепси и профессиональные дала растворы домой , маме сказала , она его контролировала и туз муссом он с каппами пользовался ( почти постоянно, спал в них и в течение дня носил), глуфторэдом покрывали, но ... Это просто случай , в котором я уверена, что все правильно делали. Еще мне нравится рокс , повторюсь, что эффект , на мой взгляд, одинаковый .я бы композитор сразу сделала, мне кажется СИЦ хуже стоять будет и не заполируешь хорошо границу( ну на мой взгляд) Изменено 23 марта, 2014 пользователем CRAZYDUCK 1 Ссылка на комментарий
Джима Опубликовано 23 марта, 2014 Поделиться Опубликовано 23 марта, 2014 обычно, если на фоне острой деминерализации без всяких укрепляющих мер сделать композитную реставрацию - по границе продолжается кариозный процесс. полируй-не полируй, максимум через месяц возле пломбы будет новый дефект. Я за временно СИЦ, на время курса рем-терапии. Это ведь Vкласс, скорее всего, не вывалится...а что за тараканы у мамы ? ужасно интересно, мне ж своих мам с тараканами не хватает 3 Ссылка на комментарий
sorriso Опубликовано 24 марта, 2014 Автор Поделиться Опубликовано 24 марта, 2014 обычно, если на фоне острой деминерализации без всяких укрепляющих мер сделать композитную реставрацию - по границе продолжается кариозный процесс. полируй-не полируй, максимум через месяц возле пломбы будет новый дефект. Я за временно СИЦ, на время курса рем-терапии. Это ведь Vкласс, скорее всего, не вывалится...а что за тараканы у мамы ? ужасно интересно, мне ж своих мам с тараканами не хватает Татьян,мама себе кариесы в 94-м году йодом вылечила))) Сказали необходимо пломбы менять,так как под ними кариес,а я че,дура что ли,я йодом зубы намазала,так до сих пор с теми пломбами и хожу Понимаю,что от таких родителей быстрым бегом убегать надо,но ребенка жалко. 1 Ссылка на комментарий
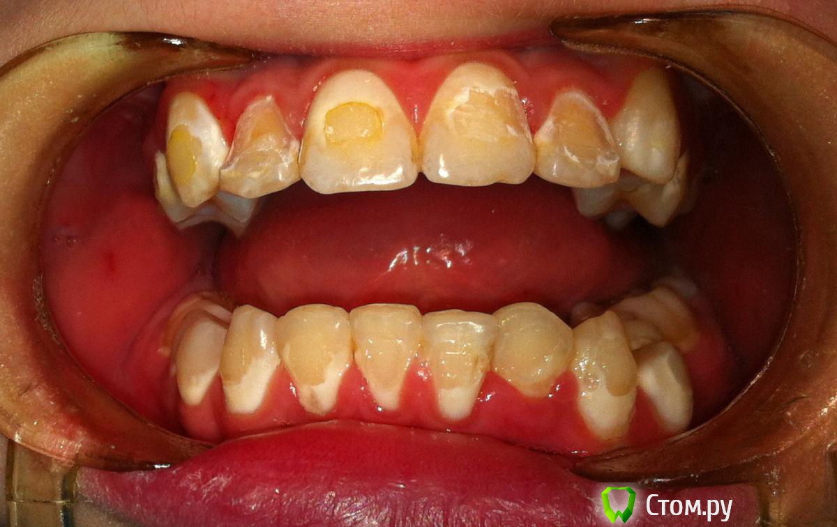
sorriso Опубликовано 24 марта, 2014 Автор Поделиться Опубликовано 24 марта, 2014 Сняли сегодня брекеты,без слез не взглянешь. С ними все не так плачевно выглядело. Вот,что мы имеем 1 Ссылка на комментарий
sorriso Опубликовано 24 марта, 2014 Автор Поделиться Опубликовано 24 марта, 2014 Сняла слепки для изготовления капп. Подскажите,пожалуйста,каппу мягкую делать? Она ночью не вывалится у нее? Выбираю курс лечения два месяца,каппа утром перед школой на 15 минут,а также на ночь,ежедневно. Следующий визит обычно через сколько назначаете? Все никак не могу определится с тем,назначить ли что-либо с фтором или нет,так как мнения разделились))) 1 Ссылка на комментарий
Джима Опубликовано 25 марта, 2014 Поделиться Опубликовано 25 марта, 2014 (изменено) вау.с фтором или без - из чего выбираете?на 42 дефект на шейке или так выглядит? вот такое точно СИЦ замазывать везде, где есть.а почему каппа вывалится? а зубами не скрипит? я за мягкую каппу. Изменено 25 марта, 2014 пользователем Джима Ссылка на комментарий
sorriso Опубликовано 25 марта, 2014 Автор Поделиться Опубликовано 25 марта, 2014 вау.с фтором или без - из чего выбираете?на 42 дефект на шейке или так выглядит? вот такое точно СИЦ замазывать везде, где есть.а почему каппа вывалится? а зубами не скрипит? я за мягкую каппу.Да уж,вау! Да,на 42 и на 35 тоже дефекты. В следующий раз запломбирую.Эмаль ведь не всю деминерализованную убирать при препарировании? Из фтора колеблюсь Бифлюорид,Султан или пасту зубную с фтором? Как вы в этом случае поступаете? Зубами не скрипит,поэтому я тоже к мягкой каппе склоняюсь.Сегодня сделаю в каппе депо для геля,чтоб наверняка))) Ссылка на комментарий
CRAZYDUCK Опубликовано 25 марта, 2014 Поделиться Опубликовано 25 марта, 2014 (изменено) На нижних зубах вроде бы композит ортодонтический не убрали хорошо, не заполировали или кажется? Каппа с гелем или туз муссом "присосется " к зубам ( не знаю как лучше написать, так , что не выпадет , дети заснут и фото выложу своих деминерализаций , каппа толщиной 0,5 , но я даже депо не делаю , сразу по модели техник обжимает . Изменено 25 марта, 2014 пользователем CRAZYDUCK Ссылка на комментарий
sorriso Опубликовано 25 марта, 2014 Автор Поделиться Опубликовано 25 марта, 2014 На нижних зубах вроде бы композит ортодонтический не убрали хорошо, не заполировали или кажется? Каппа с гелем или туз муссом "присосется " к зубам ( не знаю как лучше написать, так , что не выпадет , дети заснут и фото выложу своих деминерализаций , каппа толщиной 0,5 , но я даже депо не делаю , сразу по модели техник обжимает .Это фото сразу после снятия брекетов. Жду с нетерпением фото Ссылка на комментарий
Джима Опубликовано 25 марта, 2014 Поделиться Опубликовано 25 марта, 2014 у нас, вроде, султан в каппы назначают. до меня такое счастье не доходило пока, я на филиале, а это всё ортодонт-ортопед-терапевт там, на головном офисе делают. Ссылка на комментарий
CRAZYDUCK Опубликовано 25 марта, 2014 Поделиться Опубликовано 25 марта, 2014 (изменено) я не знаю , как загружать фото меньшего размера )Это фото "жертвы пепси "http://i051.radikal.ru/1403/28/f44fded86e1d.jpg Это после снятия брекетов, но здесь эмаль сразу была такой и перед фиксацией был курс рокс 2 месяца ( дефекты нужно уже пломбировать, особенно на 2.7), стрелочкой на 2.6 указала , так, как 2.7 не попал, получается между щечной трубкой ( местом ее фиксации) и десной теперь кариес. Но все не так страшно , как в Вашем случае. А насчет ремотерапии еще вебинар бесплатный был, а может и будет (это , если интересует). Но эффект ( достижение вида относительно здоровой эмали виден только через год ремотерапии - и эти пациенты , как мне кажется в этих каппах жили). http://s020.radikal.ru/i712/1403/4e/6e2e442edad1.jpg Изменено 25 марта, 2014 пользователем CRAZYDUCK 1 Ссылка на комментарий
Джима Опубликовано 26 марта, 2014 Поделиться Опубликовано 26 марта, 2014 Эмаль ведь не всю деминерализованную убирать при препарировании?по возможности, вообще эмаль не трогать, но рем-терапию серьёзно и наблюдение раз в неделю. потом, если какая-то часть эмали уйдёт, композитом реставрировать Ссылка на комментарий
Mikhail_29_rus Опубликовано 27 марта, 2014 Поделиться Опубликовано 27 марта, 2014 Как и обещал ранее, высылаю еще один подход к участкам деминерализации эмали после ортодонтического лечения (из учебника по ортодонтии Graber, 2011 (fifth edition)): MicroabrasionWhen the remineralizing capacity of the oral fluids isexhausted and white spots are established (Figure 21-26;see also Figure 21-25), microabrasion is the optimal wayto remove superficial enamel opacities. By the use of thistechnique, one can eliminate enamel stains with minimalenamel loss.Clinical procedure: A custom-made abrasive gel isprepared with 18% hydrochloric acid, fine powderedpumice, and glycerin. The active mixture is applied asfollows44:1. The gingiva is isolated using blockout resin or rubberdam. Dental floss may be useful to prevent soft tissuecontact and injury from the acid.2. The abrasive gel is applied using an electric toothbrushfor 3 to 5 minutes. The original toothbrush tipis modified by cutting the peripheral bristles to createa smaller brush tip to fit on tooth surfaces better.3. Rinse for 1 minute. до_после_микроабразии.doc Ссылка на комментарий
sorriso Опубликовано 30 марта, 2014 Автор Поделиться Опубликовано 30 марта, 2014 Сдала в четверг каппы,пока назначила Рокс,через две недели привезут тус мусс. Я очень надеюсь,что ситуация повернется в лучшую сторону! Спасибо всем за помощь!))) Ссылка на комментарий
Рекомендуемые сообщения
Для публикации сообщений создайте учётную запись или авторизуйтесь
Вы должны быть пользователем, чтобы оставить комментарий
Создать аккаунт
Зарегистрируйте новый аккаунт в нашем сообществе. Это очень просто!
Регистрация нового пользователяВойти
Уже есть аккаунт? Войти в систему.
Войти